Malignant Sclerosing Biphasic Mesothelioma: first repport in a dog

Authors

  • Carolina Santos Ferreira Hospital Veterinário Universitário, Departamento de Patologia Animal, Universidade Santo Amaro (UNISA), São Paulo, SP, Brazil.
  • Atilio Sersun Calefi Departamento de Patologia Animal, Universidade Cruzeiro do Sul (UNICSUL), Av. Paulista, 1415 – Bela Vista, São Paulo, SP, Brazil. Phone 55 11 99337-3349.
  • José Luiz Guerra Hospital Veterinário Universitário, Departamento de Patologia Animal, Universidade Santo Amaro (UNISA), São Paulo, SP, Brazil.
  • Julia Mitie Yamamora Hospital Veterinário Universitário, Departamento de Patologia Animal, Universidade Santo Amaro (UNISA), São Paulo, SP, Brazil.
  • Carolina de Oliveira Ghirelli Hospital Veterinário Universitário, Departamento de Diagnóstico por Imagem, Universidade Santo Amaro (UNISA), São Paulo, SP, Brazil.
  • Kátia de Oliveira Pimenta Guimarães Hospital Veterinário Universitário, Departamento de Patologia Animal, Universidade Santo Amaro (UNISA), São Paulo, SP, Brazil.
  • Vivian Fratti Penna Ríspoli Hospital Veterinário Universitário, Departamento de Patologia Animal, Universidade Santo Amaro (UNISA), São Paulo, SP, Brazil.

DOI:

https://doi.org/10.12834/VetIt.3543.29141.2

Keywords:

malignant sclerosing mixed mesothelioma, dog, mesothelium, histopathology

Abstract

Malignant Mesothelioma is a malignant tumor arising from the peritoneum, pleura or pericardium. It’s rarely reported in dogs. Currently, there are two classifications of neoplasia: one for human medicine and other for veterinary. A 10-year-old female mixed-breed dog with bulging abdomen for 2 weeks and achesia for 1 day, was diagnosed with ascites and dirofilariasis and treated. On the first day, the animal weighed 32.5kg and, after drainage of cavity fluid, it weighed 27kg. Even after treatment, the animal's condition did not improve and euthanasia was performed. The body was sent for necroscopic evaluation. The morphological diagnosis comprises malignant mesothelioma, been with both mixed and sclerosing type. This is the first worldwide case reported with all this characteristic.

Case description

A 10-year-old female mixed-breed dog (Canis Lupus familiaris) presented bulging abdomen with abdominal pain tenderness for 2 weeks and achesia for 1 day, with normochesia, normodipsia, normouria and normophagia. The animal spent most of the time in recumbency, however, it remained alert and responsive. Radiographic examination revealed several amorphous areas of greater radiopacity dispersed throughout the abdominal cavity (mineralizations to clarify, Fig.1A) and the ultrassonografic evaluation showed a presence of hyperechoic areas forming posterior acoustic shadowing dispersed throughout the parenchyma (mineralizations). In this day, 5.5 liters were drained from the abdominal cavity, with a reddish color and cloudy appearance, and 5ml was sended to a cytological analysis, resulting in a modified transudate. This sample had moderate cellularity, composed predominantly of macrophages foamy cells, followed by intact neutrophils, lower quantity of reactive mesothelial cells and small lymphocytes. Presence of microfilariae. A 4DX test was performed, indicating positive for Anaplasma.

Figure. 1. (A) Radiographic examination with several mineralizations dispersed throughout the abdominal cavity. (B) Macroscopy of the irregular, rounded, whitish, firm to hard, solid, multiples structures distributed diffusely throughout the abdominal cavity, liver and intestines.

The dog was treated for recurrent ascites, dilofilariasis and anaplasma for 5 months and an exploratory laparotomy was performed, enabling visualization of multiple nodular areas spread throughout the parietal peritoneum, visceral and ligamentum sickle cell, in addition to intense area of calcification throughout the abdominal parenchyma. During surgery, the animal's condition worsened, and euthanasia was carried out. The body was sent for a necropsy analysis.

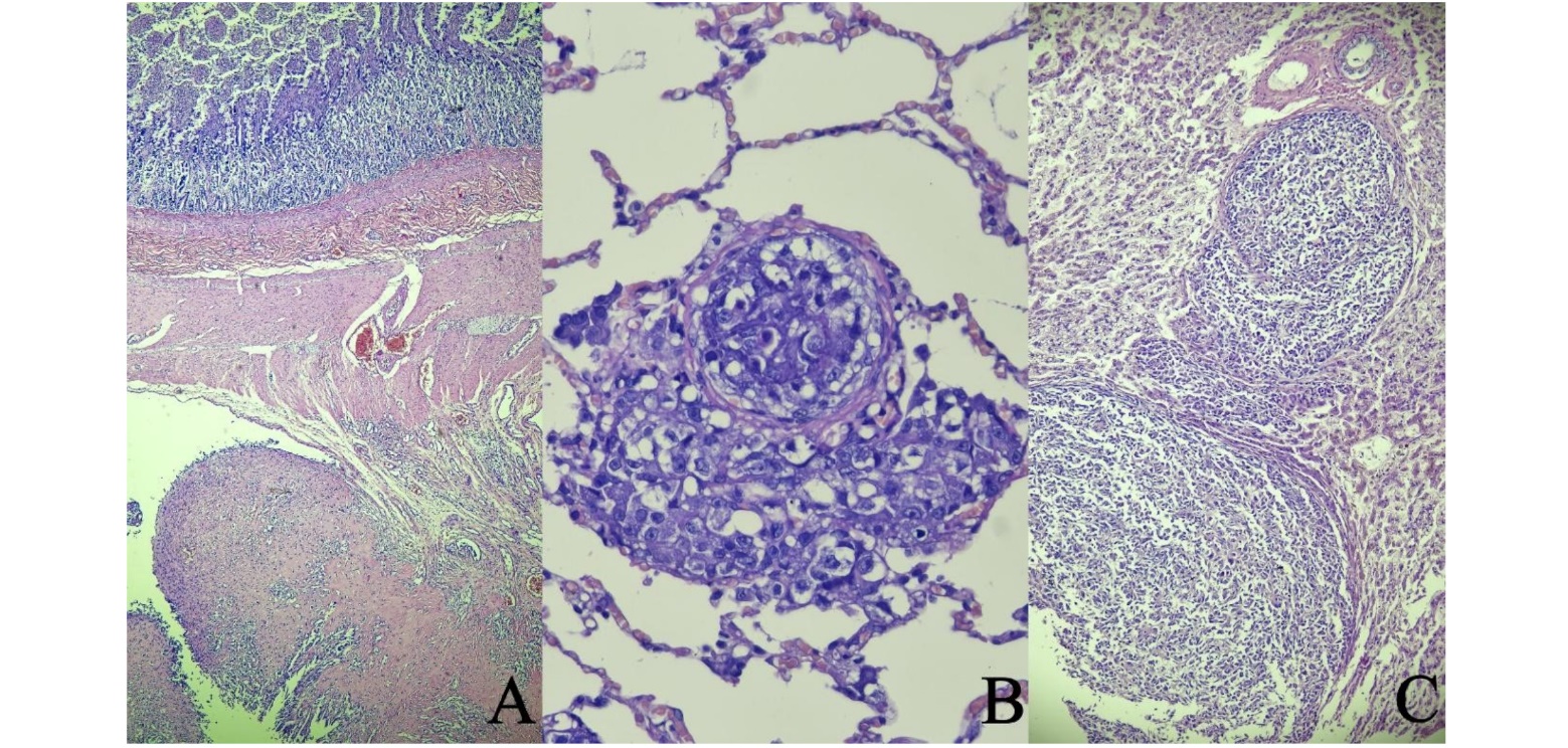
Upon the necroscopic evaluation, the animal presented 200 mL of a reddish and clear liquid inside the abdominal cavity (abdominal effusion). In addition to irregular, rounded, whitish, firm to hard, solid, multiples structures distributed diffusely throughout the abdominal cavity, liver and intestines (Fig.1B). The lungs drained a moderate amount of frothy and reddish liquid content. (pulmonary edema). In the right ventricle and pulmonary artery there were cylindrical, whitish parasites, in moderate quantity (dirofilaria).

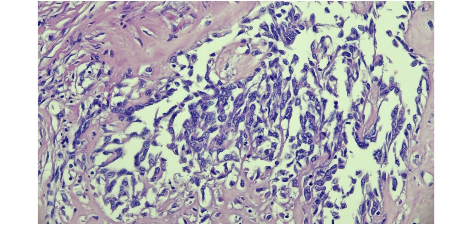
Besides not possible to visualize in macroscopy, the lungs also presented the same microscopic examination of all the regions (Fig.2): a marked cellular infiltrate been irregular, multifocal and non-encapsulated. The cells exhibited an irregular tubule-papillary arrangement, sometimes isolated amidst intense fibrocollagenous stroma. They were polyhedral to elongated, intermediate in size, with moderate to scarce, eosinophilic, vacuolated to homogeneous cytoplasm. They had a rounded, centralized nucleus with coarsely dotted chromatin and 0 to 3 intermediate and conspicuous nucleoli. Marked anisokaryosis, anisocytosis and moderate cellular pleomorphism were observed. The neoplasm exhibited low mitotic activity, with 7 mitotic figures observed in 2.37mm², with moderate binucleated and multinucleated cells (Fig.3). Additionally, presence of an intense multifocal to coalescent necrosis and intense, multifocal bone and cartilaginous metaplasias (Fig. 4).

Figure. 2. Microscopic examination of the intestine (A), lung (B) and liver (C).

Figure. 3. Polyhedral to elongated cells with intermediate size, moderate to scarce, eosinophilic, vacuolated cytoplasm. A rounded, centralized nucleus with coarsely dotted chromatin and 0 to 3 intermediate and conspicuous nucleoli. Marked anisokaryosis, anisocytosis and moderate cellular pleomorphism, with moderate binucleated and multinucleated cells.

Figure. 4. Presence of an intense, multifocal, bone and cartilaginous metaplasias.

Discussion

Mesothelial cells can differentiate into epithelial‐like and mesenchymal‐like cells. The first one lines the serosal membrane while the second form the underlying connective tissue stroma, and the mesothelioma can arise from both of them. This a rare neoplasm with poor prognosis in dogs can occur in both the visceral and parietal parts affects such as pleura, peritoneum, pericardium and tunica vaginalis. German shepherd dogs appear overrepresented and most of them with 10 years of age (Çelikoğlu, 2022; Lajoinie, 2022; Moberg, 2022). Ascitis in the affected cavities as the main clinical manifestation as a consequence of blockage and effusion of lymphatic’s vessels (Çelikoğlu, 2022; Lajoinie, 2022; Merlo, 2012; Meuten, 2020), and ultrasonography often reveals multiple peritoneal masses, raising the suspicion of neoplastic disease (Merlo, 2012). The report of this case is in line with what was found in the literature, since the dog was 10 years old, had the same clinical symptoms and presented the same ultrasound changes.

The division between malignant and benign mesothelioma generates great discussions in pathology, where some believe that the majority of mesotheliomas are potentially malignant, once mesotheliomas invariably spread within the serosal cavity (Merlo, 2012; Meuten, 2020). In cytological evaluation, the neoplastic and reactive hyperplastic mesothelial cells can appear similar, and it is difficult to distinguish one from another in most cases. That’s because the result of this exam on this case indicates only a modified transudate. Histopathological analysis is an essential tool for differentiate mesothelioma from reactive mesothelium: invasion of the underlying tissues and presence of distant metastasis suggests neoplasm (Lajoinie, 2022).

Mesotelioma are subclassified as epithelioid, sarcomatous, or mixed/biphasic types in veterinary (Meuten, 2020). In humans, they are subdivided into 17 different histologic subtypes, of which papillary, tubular, solid, sclerosing, cystic, and deciduoid subtypes have been reported in the peritoneum of domestic animals (Meuten, 2020). The papillary subtype appears as branching outgrowths of large and polygonal cells that are supported by a central stromal core. and may contain glycogen‐containing vacuoles. The tubular type form tubular structures over the serosal surface. When the neoplastic cells are arranged in solid masses, nests, or trabeculae, it is classified as a solid. A sclerosing/desmoplastic mesothelioma contains few neoplastic mesothelial cells accompanied by large quantities of non‐neoplastic fibrous tissue that may include cartilage or bone. Distant metastases are reported such as lymph nodes, adrenal glands, lung and brain (Meuten, 2020).

They usually appear as multiple firm, sessile, or arborescent nodules, ranging from a few milimeters to 10cm in diameter (Jubb, 2012; Merlo, 2012). The mixed type is composed by both epithelial and mesenchymal cells. The epithelial part appears as a solid mass made up of layers of dark, plump cuboidal, columnar or rounded, epithelioid cells with a distintic border and abundant pink cytoplasm, over proliferating fibrocellular stroma. Mitotic figures are typically not numerous. The mesothelial cells form loops and festoons in a papillary pattern, or line cystic spaces and tubular structures (Jubb, 2012; Merlo, 2012). Meanwhile the mesenchinal counterpart is generally localized, rarely cause effusions and its sediment usually shows low cellularity, having a variable amounts of cells depending on fibrosis degree and it may be arranged in single or loose clusters, sometimes forming whorls and storiform patterns. The cells are spindle shaped, with a moderate, delicate to well defined, cytoplasm and large, oval and variably pleomorphic nuclei. The chromatin is often coarse and hyperchromatic, containing multiple prominent, small, nucleoli. Mitoses and necrosis are common. Rarely osseous or cartilaginous metaplasia may occur (Merlo, 2012). In this report, the dog had epithelial and mesenchymal appearance.

Although the dirofilariasis also causes ascites, the constant need for drainage and the lack of response to treatment leads us to believe that the constant peritoneal effusion was due to the mesethelioma, not the presence of heartworm disease (Winter, 1959).

Conclusion

Even though the classification of sclerosing mesothelioma is commonly used in human medicine, the amount of osseous or cartilaginous metaplasia added to the malignancy of both cell types of this case leaded the authors to diagnose this dog with malignant sclerosing biphasic mesothelioma, been consistent with the descriptions found in the literature. This represents the first documented case of malignant sclerosing biphasic mesothelioma in peritoneum of Canis Lupus familiaris worldwide with metastasis in lungs, liver and intestines.

References

Çelikoğlu, O., Özyıldız, Z., & Volkan, İ. P. E. K. (2022). A case of peritoneal malignant mesothelioma in a dog. Current Perspectives on Health Sciences, 3(3), 129–131.

Jubb, K. V. F., Kennedy, P. C., & Palmer, N. (2012). Pathology of domestic animals. Academic Press.

Lajoinie, M., Quinqueneau, C., Thoulon, F., Bichet, C., Desquilbet, L., Peeters, D., ... & Chabanne, L. (2022). Outcome of dogs treated with chemotherapy for mesothelioma: A retrospective clinical study on 40 cases and a literature review. Veterinary and Comparative Oncology, 20(4), 825–835.

Merlo, W. A., & Rosciani, A. S. (2012). Mesothelioma in domestic animals: Cytological and anatomopathological aspects. In IntechOpen.

Meuten, D. J. (Ed.). (2020). Tumors in domestic animals. John Wiley & Sons.

Moberg, H. L., Pedersen, A. G., Kjeldgaard, J. H., & Eriksen, T. (2022). Clinical presentation, treatment and outcome of canine malignant mesothelioma: A retrospective study of 34 cases. Veterinary and Comparative Oncology, 20(1), 304–312.

Winter, H., Zettner, A., & Harris, T. H. (1959). The pathology of canine dirofilariasis. American Journal of Veterinary Research, 20(75), 366–371.

Downloads

Published

2025-01-15

How to Cite

Santos Ferreira, C., Sersun Calefi, A. ., Luiz Guerra, J., Mitie Yamamora, J., de Oliveira Ghirelli, C. ., de Oliveira Pimenta Guimarães, K. ., & Fratti Penna Ríspoli, V. (2025). Malignant Sclerosing Biphasic Mesothelioma: first repport in a dog. Veterinaria Italiana, 61(1). https://doi.org/10.12834/VetIt.3543.29141.2

Issue

Topics*

Case report