First report on the molecular characterization and successful treatment of Anaplasma platys infection in a dog from Tripura, northeast India

Authors

  • Pratik Bhowmik Department of Veterinary Parasitology, College of Veterinary Science, Khanapara, Assam Agricultural University,Guwahati-781022, Assam, India
  • Mritunjay Kumar Department of Veterinary Medicine, Bihar Veterinary College, Patna-800014, Bihar
  • Hniang Lalrinkima Department of Veterinary Parasitology, College of Veterinary Science and Animal Husbandry, Central Agricultural University Selesih, Aizawl- 796015, Mizoram, India
  • Adwitiya Das Department of Veterinary Microbiology, Indian Veterinary Research Institute, Hebbal- 560024, Bangalore, India
  • Farhin Aktar choudhury Department of Veterinary Pathology, College of Veterinary Science and Animal Husbandry, Central Agricultural University Selesih, Aizawl- 796015, Mizoram, India
  • Nibedita Pandit Department of Veterinary Medicine, West Bengal University of Animal and Fishery Sciences, Belgachia, Kolkata, West Bengal, India

DOI:

https://doi.org/10.12834/VetIt.3733.34114.2

Keywords:

Anaplasmosis, Canine, Bangladesh, PCR, Sequencing

Abstract

This study presents the first report of the molecular characterization of Anaplasma platys infection in the Bangladesh-India border region, specifically in the state of Tripura, along with its successful treatment. Anaplasma platys is a rickettsial organism transmitted by hard ticks that infest dogs, with marked thrombocytopenia and anemia being among the most important clinical manifestations, related to the formation of morulae in the platelets. A dog with a history of suspected anaplasmosis was presented for clinical investigation. Hematological analysis revealed a hemoglobin level of 6.8 g/dL, a hematocrit of 19.4%, a total red cell count of 3.5 × 10¹²/dL, a total white cell count of 7.8 × 10⁹/dL, and a platelet count of 48 × 10⁹/dL. Upon microscopic and molecular examination, A. platys was identified as the causative organism responsible for the alterations in blood parameters. Treatment involved the intravenous administration of doxycycline at a dose of 10 mg/kg body weight once daily for five days, followed by oral doxycycline tablets at the same dosage for 15 days. The dog showed gradual improvement and complete recovery within 20 days of treatment. Molecular characterization and phylogenetic inference targeting the 16S rRNA gene revealed low divergence within the species.

Introduction

Anaplasma platys is a tick-transmitted rickettsial organism responsible for causing cyclic thrombocytopenia in dogs worldwide (Chao et al., 2024). Formerly classified as Ehrlichiaplatys, it was reclassified into the Anaplasma genus based on DNA sequence and phylogenetic analyses of the 16S rRNA gene and GroESL operon, which revealed close relatedness to A. phagocytophilum and A. marginale (Dumler et al., 2001; Yu et al., 2001). Transmission is heteroxenous, with Rhipicephalus sanguineussensulato (the brown dog tick) considered the primary vector (De Caprariis et al., 2011; Snellgrove et al., 2020), although evidence supporting this vector-pathogen relationship remains limited (Gaunt et al., 2010).

Clinical manifestations in dogs infected with this rickettsial pathogen include anorexia, depression, generalized lymphadenomegaly, pale mucous membranes, pyrexia, and marked thrombocytopenia. The latter results from both direct platelet injury caused by replicating organisms and immune-mediated mechanisms that play a significant role in the progression of thrombocytopenia (Harvey et al., 1978; Dyachenko et al., 2012).

Diagnosis is commonly performed via thin blood smear examination, although immunochromatographic serological tests are also available (Nakagui et al., 2008). However, subclinical or chronic infections may yield false negatives (Oliveira et al., 2009). More sensitive and specific approaches include molecular and serological assays such as IFA, ELISA, and PCR (Santos et al., 2011). Although primarily recognized in dogs, A. platys has also been detected in ruminants (Said et al., 2017; Wei et al., 2020; Kamani et al., 2022; Al-Saadi et al., 2023), underlining the need to further investigate its epidemiology and pathogenic potential in other hosts. Additionally, Anaplasma platys-like organisms have been reported in China and Tunisia (Ben Said et al., 2017; Wei et al., 2020), but the full scope of infection and disease dynamics in animals remains poorly understood.

This study reports a clinical case of A. platys infection in a dog from Tripura, including its hematological profile, therapeutic management, and molecular characterization.

Case report

A two-year-old male dog was presented to the Teaching Veterinary Clinical Complex at the College of Veterinary Sciences & Animal Husbandry, R.K. Nagar, Tripura, with a history of anorexia, recurrent fever, depression, intermittent convulsions, and diarrhoea. The dog had been previously vaccinated with polyvalent DHPPIL and anti-rabies vaccines and had undergone routine deworming. Upon clinical examination, the dog was found to be dehydrated, with pale mucous membranes and popliteal lymphadenomegaly. Abdominal palpation revealed a firm mass suggestive of hepatomegaly or splenomegaly. A heavy tick infestation was also noted.

Based on the clinical history and physical findings, a blood sample was aseptically collected from the cephalic vein into an EDTA tube for haematological analysis and haemoparasite screening. Microscopic examination of Giemsa-stained blood smears revealed basophilic inclusions (morulae) within thrombocytes, suggestive of Anaplasmaplatys. Haematological analysis indicated anaemia and severe thrombocytopenia, with a haemoglobin level of 6.8 g/dL, PCV of 19.4%, total RBC count of 3.5 × 10¹²/dL, WBC count of 7.8 × 10⁹/dL, and platelet count of 48 × 10⁹/dL.

To confirm the presence of A. platys, DNA was extracted using the DNeasy Blood and Tissue Kit (Qiagen, Germany) and subjected to PCR targeting the 16S rRNA gene. Species-specific primers PLATYS (5’-GAT TTT TGT CGT AGC TTG CTA TG-3’) and EHR (5’-TAG CAC TCA TCG TTT ACA GC-3’) were used, following a thermocycling protocol consisting of an initial denaturation at 95°C for 10 minutes; 35 cycles of denaturation at 95°C for 45 seconds, annealing at 65°C for 45 seconds, and extension at 72°C for 1 minute; followed by a final extension at 72°C for 10 minutes. Amplicons were visualized on a 1% agarose gel pre-stained with ethidium bromide. The PCR product of the expected size was sequenced by 1st Base Sequencing Service (Apical Scientific Sdn. Bhd., Malaysia).

Sequence analysis was performed using ClustalW in MEGA X and BLASTn for confirmation and detection of polymorphisms. The sequence was confirmed as A. platys and submitted to GenBank under accession number OR244472. For phylogenetic analysis, the sequence was trimmed to 569 bp and aligned with 28 reference sequences. The evolutionary history was inferred using the Maximum Likelihood method with the Kimura 2-parameter model. Initial trees were generated using the Neighbor-Join and BioNJ algorithms, and the topology with the highest log-likelihood value was selected. A discrete Gamma distribution (5 categories, +G, parameter = 200.0000) was used to model evolutionary rate differences. Sites with less than 95% coverage were excluded. The final dataset comprised 643 positions. The resulting tree was exported in Newick format and visualized using iTOL, with Rickettsia (Accession no.: NZ_LYMW01000120) used as an outgroup.

Treatment involved intravenous administration of doxycycline at 10 mg/kg body weight once daily for five days, followed by oral doxycycline tablets at the same dosage for 15 days. Supportive therapy included haematinics and a platelet enhancer (Althromb) at 5 mL/10 kg body weight once daily for 20 days. Tick infestation was managed with a spot-on formulation containing fipronil and S-methoprene, applied twice at 21-day intervals. The dog showed progressive clinical improvement, with haematological values returning to normal by day 20 of treatment.

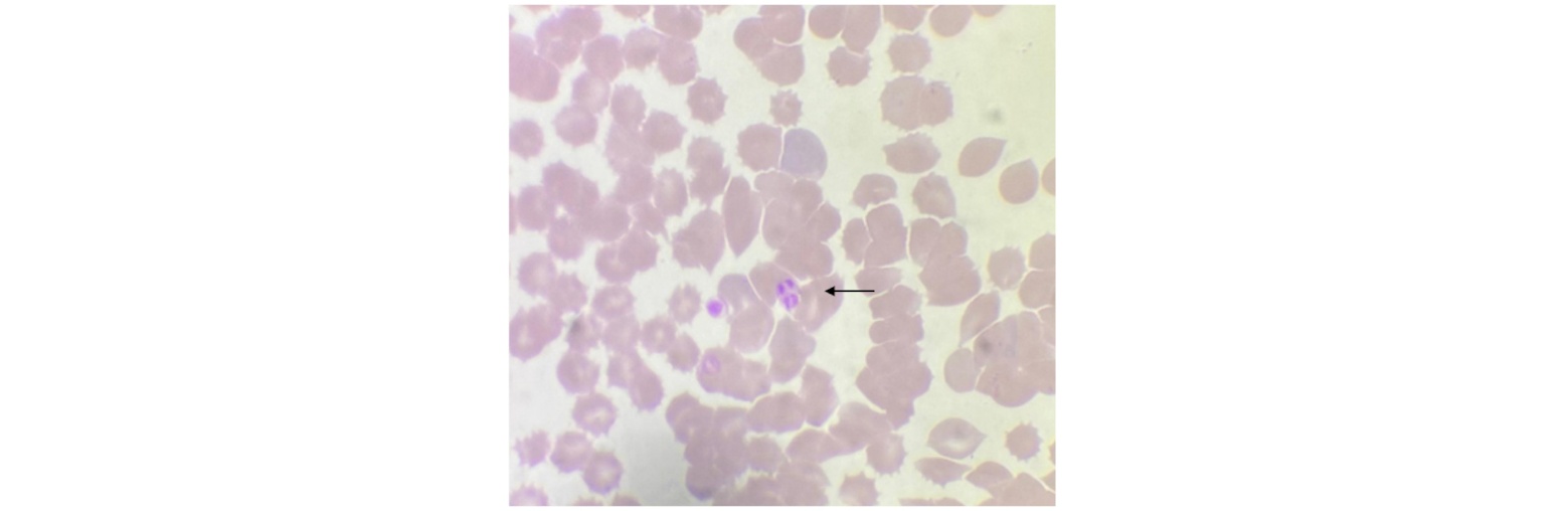
Figure. 1. Giemsa-stained blood smear showing morulae of an <em>Anaplasma</em> species inside platelets (x100).

Figure. 2. Ethidium bromide-stained agarose gel (1.5%) showing the PCR amplicon of <strong><em>Anaplasma</em></strong><strong><em> platys</em></strong> (678 bp). S: Positive sample. NTC: Non-template control. M: 100-1000 bp DNA ladder.

Discussion

Anaplasma platys is most commonly found in dogs, but it can also infect other animals such as cats, foxes, wild boars, red deer, cattle, and goats (Hegarty et al., 2015; Pereira et al., 2016). While infected dogs may remain asymptomatic, co-infection with other vector-borne pathogens can exacerbate the clinical manifestations of A. platys infection (Latta et al., 2021). In the present case, the diagnosis was initially established through microscopic examination of a blood smear, which revealed morulae within thrombocytes (Fig. 1). The haematological alterations observed anaemia and thrombocytopenia were consistent with previously reported cases in other parts of India (Arun et al., 2017; Maurya et al., 2021). The infection is considered a non-specific finding that may arise from a chronic inflammatory process (Bradfield et al., 1996; Karagenc et al., 2005). The associated thrombocytopenia is known to exhibit a cyclical pattern and is thought to result from direct platelet destruction by the replicating organism in the early stages of infection, subsequently triggering immunologic mechanisms (French and Harvey, 1993).

Given the limited sensitivity of conventional microscopy in detecting Anaplasma spp., PCR amplification targeting the 16S rRNA gene was performed. The resulting ~678 bp amplicon was specific for A. platys (Fig. 2). Sequence analysis using BLASTn revealed 98.47–99.54% identity with publicly available A. platys sequences, indicating low genetic variability. Phylogenetic analysis (Fig. 3) showed no evidence of polytomy, and the sequence obtained in this study exhibited a branch length of 0.005, comparable to isolates from Brazil (DQ401046, 0.006), and China (KU586161, 0.005; KP399255, 0.003). Additional isolates from Uruguay (OR814236), China (KU586168; KU856163), and the Philippines (KX447505) displayed a branch length of 0.001. These findings demonstrate minimal sequence variability across the 28 nucleotide sequences analysed. To further explore the genetic diversity of A. platys, the use of multi-gene or concatenated sequence analyses is recommended.

Therapeutic management with doxycycline adhered to standard treatment protocols and proved effective in eliminating the pathogen (Diniz and Moura, 2022). Supportive therapy with haematinics and a platelet enhancer was crucial in resolving the anaemia and thrombocytopenia. Control of ectoparasites through the application of fipronil and S-methoprene addressed the vector responsible for disease transmission. This case represents the first report of molecular characterization and successful treatment of A. platys infection in a dog from the Bangladesh–India border region, specifically Tripura state.

Figure. 3. Phylogenetic tree of <strong><em>A. platys</em></strong> based on the 16S rRNA gene showing low divergence worldwide. Isolate from Tripura (red) showed a branch length of 0.005, while isolates from Brazil and China (blue) displayed comparable branch lengths to the Tripura isolate. The outgroup, <em>Rickettsia</em> (green), showed higher divergence with a branch length of 0.038.

Ethical Approval

The study does not require any ethical approval.

Author contributions

Conceptualization: P.B., A.D., M.K.; Methodology: P.B., M.K., H.L.; Formal analysis: P.B., M.K.; Investigation: P.B., A.D., F.A.C.; Writing original draft preparation: P.B., M.K., H.R.; Writing, review and editing: P.B., A.D., F.A.C.; Visualization: M.K., H.L.

Conflict of interest

The authors declare that they have no conflict of interest.

Data availability

All data analyzed during the current study are available from the corresponding author upon request.

Acknowledgement

The authors sincerely thank every veterinarian of the state who involved in the study.

References

Alhassan, A., Hove P., Sharma, B., Matthew-Belmar, V., Karasek, I., Lanza-Perea, M., Werners, A.H., Wilkerson, M.J., & Ganta R.R. (2021). Molecular detection and characterization of Anaplasma platys and Ehrlichia canis in dogs from the Caribbean. Ticks and tick-borne diseases, 12(4), 101727.

Al-Saadi, M., Al-Sallami, D., & Alsultan, A. (2023). Molecular identification of Anaplasma platys in cattle by nested PCR. Iranian Journal of Microbiology, 15(3), 433.

Arun, A., Reena, K.K., Rafiqui, S.I., Jithin, M.V., Sharma D.K., … & Banerjee, P.S. (2017). Molecular and parasitological evidence of Anaplasma platys infection in a dog: A case report. Annals of Clinical Cytology and Pathology, 3(3), 1059.

Bhoopathy, D., Latha B.R., & Palavesam, A. (2017). Molecular detection of Anaplasma platys infection in dogs in Chennai, Tamil Nadu, India – A pioneer report. Journal of Entomology and Zoology Studies, 5(3), 1608-1610.

Bradfield, J.F., Vore, S.J., & Pryor, W.H. (1996). Ehrlichia platys infection in dogs. Laboratory Animal Science, 46(5), 565-568.

Chao, L.L., Ko, P.Y., & Shih, C.M. (2024). Molecular screening and genetic identification of Anaplasma platys in Brown Dog Tick (Rhipicephalus sanguineus s.l.) infested on stray dogs in Taiwan. Microorganisms, 12(9), 1779.

De Caprariis, D., Dantas-Torres, F., Capelli, G., Mencke, N., Stanneck, D., Breitschwerdt, E.B., & Otranto D. (2011). Evolution of clinical, haematological and biochemical findings in young dogs naturally infected by vector-borne pathogens. Veterinary microbiology, 149(1-2), 206–212.

Diniz, P.P.V.P., & Moura de Aguiar, D. (2022). Ehrlichiosis and Anaplasmosis: An update. Veterinary clinics of North America. Small animal practice, 52(6), 1225-1266.

Dumler, J.S., Barbet, A.F., Bekker, C.P., Dasch, G.A., Palmer, G.H., Ray, S.C., Rikihisa, Y., & Rurangirwa F.R. (2001). Reorganization of genera in the families Rickettsiaceae and Anaplasmataceae in the order Rickettsiales: Unification of some species of Ehrlichia with Anaplasma, Cowdria with Ehrlichia, and Ehrlichia with Neorickettsia. International Journal of Systematic and Evolutionary Microbiology, 51(6), 2145-2165.

Dyachenko, V., Pantchev, N., Balzer, H.J., Meyersen, A., & Straubinger, R.K. (2012). First case of Anaplasma platys infection in a dog from Croatia. Parasites & vectors, 5, 49.

French, T. W., & Harvey, J. W. (1983). Serologic diagnosis of infectious cyclic thrombocytopenia in dogs using an indirect fluorescent antibody test. American journal of veterinary research, 44(12), 2407-2411.

Gaunt, S. D., Beall, M. J., Stillman, B. A., Lorentzen, L., Diniz, P. P. V. P., Chandrashekar, R., & Breitschwerdt, E. B. (2010). Experimental infection and co-infection of dogs with Anaplasma platys and Ehrlichia canis: hematologic, serologic and molecular findings. Parasites & vectors, 3, 1-10.

Hegarty, B. C., Qurollo, B. A., Thomas, B., Park, K., Chandrashekar, R., Beall, M. J., ... & Breitschwerdt, E. B. (2015). Serological and molecular analysis of feline vector-borne anaplasmosis and ehrlichiosis using species-specific peptides and PCR. Parasites & vectors, 8, 320.

Karagenc, T., Hosgor, M., Bilgic, H. B., Pasa, S., Kırlı, G., & Eren, H. (2005). Detection of prevalence of E. canis, A. phagocytophila and A. platys in dogs around the Aegean coast of Turkey by using a nested PCR. In Izmir: XIV National Parasitology Congress, 18-25).

Kimura, M. (1980). A simple method for estimating evolutionary rates of base substitutions through comparative studies of nucleotide sequences. Journal of molecular evolution, 16, 111-120.

Kumar, S., Stecher, G., Li, M., Knyaz, C., & Tamura, K. (2018). MEGA X: molecular evolutionary genetics analysis across computing platforms. Molecular biology and evolution, 35(6), 1547-1549.

Latta, R., Sazmand, A., Nguyen, V.L., Nemati, F., Ayaz, M.M., Bahiraei, Z., Zafari, S., Giannico, A., Greco, G., Dantas-Torres, F., & Otranto D. (2021). Vector-borne pathogens in dogs of different regions of Iran and Pakistan. Parasitology Research, 1, 1-10.

Lin, Y., Zhou, S., Upadhyay, A., Zhao, J., Liao, C., Guan, Q., ... & Han, Q. (2023). Molecular Detection and Phylogenetic Characterization of Anaplasma spp. in Dogs from Hainan Province/Island, China. Veterinary Sciences, 10(5), 339.

Maurya P.S., Sahu S., Jithin V.M., Chandra G., & Devi A. (2021). Conventional and nucleic acid-based confirmation of Anaplasma platys infection in a dog from Meerut, Western Uttar Pradesh: A case report. Haryana Vet, 60(1), 140-141.

Nakagui, A.C.H., Machado, R.Z., Costa, M.T., André, M.R., & Baldani, C.D. (2008). Canine ehrlichiosis: Clinical, hematological, serological, and molecular aspects. Ciência Rural, 38(3), 766-770.

Oliveira, L.P., Cardozo, G.P., Santos, E.V., Mansur, M.A.B., Donini, I.A.N., & Zissou, V.G. (2009). Molecular analysis of the rRNA genes of Babesia spp. and Ehrlichia canis detected in dogs from Ribeirão Preto, Brazil. Brazilian Journal of Microbiology, 40(2), 238-240.

Pereira A., Parreira R., Nunes M., Casadinho A., Vieira M.L., Campino L. & Maia, C. (2016). Molecular detection of tick-borne bacteria and protozoa in cervids and wild boars from Portugal. Parasites & Vectors, 9, 251.

Said, M. B., Belkahia, H., El Mabrouk, N., Saidani, M., Hassen, M. B., Alberti, A. & Messadi, L. (2017). Molecular typing and diagnosis of Anaplasma spp. closely related to Anaplasma phagocytophilum in ruminants from Tunisia. Ticks and tick-borne diseases, 8(3), 412-422.

Santos, H. A., Pires, M. S., Vilela, J. A., Santos, T. M., Faccini, J. L., Baldani, C. D., ... & Massard, C. L. (2011). Detection of Anaplasma phagocytophilum in Brazilian dogs by real-time polymerase chain reaction. Journal of veterinary diagnostic investigation, 23(4), 770-774.

Sarma, K., Nachum-Biala, Y., Kumar, M., & Baneth, G. (2019). Molecular investigation of vector-borne parasitic infections in dogs in Northeast India. Parasites & Vectors, 12, 1-8.

Snellgrove, A. N., Krapiunaya, I., Ford, S. L., Stanley, H. M., Wickson, A. G., Hartzer, K. L., & Levin, M. L. (2020). Vector competence of Rhipicephalus sanguineus sensu stricto for Anaplasma platys. Ticks and tick-borne diseases, 11(6), 101517.

Wei, W., Li, J., Wang, Y. W., Jiang, B. G., Liu, H. B., Wei, R., ... & Hu, Y. L. (2020). Anaplasma platys-like infection in goats, Beijing, China. Vector-Borne and Zoonotic Diseases, 20(10), 755-762.

Yu X.J., Zhang X.F., McBride J.W., Zhang Y. & Walker D.H. (2001). Phylogenetic relationships of Anaplasma marginale and 'Ehrlichia platys' to other Ehrlichia species determined by GroEL amino acid sequences. Internationl journal of systemic evolutionary microbiology. 51(3), 1143-1146.

Downloads

Published

2025-06-24

How to Cite

Bhowmik, P., Kumar, M. ., Lalrinkima, H. ., Das, A. ., Aktar choudhury, F. ., & Pandit, N. . (2025). First report on the molecular characterization and successful treatment of Anaplasma platys infection in a dog from Tripura, northeast India. Veterinaria Italiana, 61(3). https://doi.org/10.12834/VetIt.3733.34114.2

Issue

Topics*

Case report