Avian reovirus in Italy: three episodes of abnormal losses in offspring of vaccinated broiler breeders

Authors

  • Laura Viel Istituto Zooprofilattico Sperimentale delle Venezie, Vicolo Mazzini 4 int. 5-6, 31020 Fontane di Villorba (Treviso), Italy
  • Benedetta Cordioli Istituto Zooprofilattico Sperimentale delle Venezie, Vicolo Mazzini 4 int. 5-6, 31020 Fontane di Villorba (Treviso), Italy
  • Sofia Leardini Istituto Zooprofilattico Sperimentale delle Venezie, Viale dell’Università 10, 35020, Legnaro (Padova), Italy
  • Ambra Pastori Istituto Zooprofilattico Sperimentale delle Venezie, Viale dell’Università 10, 35020, Legnaro (Padova), Italy
  • Patrizio Luisetto Private veterinarian, Resana (Treviso), Italy
  • Zandonà Luca Istituto Zooprofilattico Sperimentale delle Venezie, Vicolo Mazzini 4 int. 5-6, 31020 Fontane di Villorba (Treviso), Italy
  • Manuel Garbuio Istituto Zooprofilattico Sperimentale delle Venezie, Vicolo Mazzini 4 int. 5-6, 31020 Fontane di Villorba (Treviso), Italy
  • Alice Fusaro Istituto Zooprofilattico Sperimentale delle Venezie, Viale dell’Università 10, 35020, Legnaro (Padova), Italy
  • Calogero Terregino Istituto Zooprofilattico Sperimentale delle Venezie, Viale dell’Università 10, 35020, Legnaro (Padova), Italy
  • Caludia Zanardello Istituto Zooprofilattico Sperimentale delle Venezie, Viale dell’Università 10, 35020, Legnaro (Padova), Italy
  • Alessio Bortolami Istituto Zooprofilattico Sperimentale delle Venezie

DOI:

https://doi.org/10.12834/VetIt.3734.34668.2

Keywords:

Avian Reovirus, Genotyping, Pathological lesions, tenosynovitis/arthritis

Abstract

Avian reovirus (ARV) is an important pathogen of poultry and the causative agent of viral arthritis/tenosynovitis. The disease can cause severe clinical signs in broiler flocks at an early age, resulting in major welfare issues and substantial economic losses for the poultry industry. Vaccination of breeders is widely used to control the disease, aiming to reduce vertical transmission and provide maternal antibodies to offspring. However, in recent years the number of clinical cases has increased in several countries. This study describes the clinical presentation, gross and histological lesions, and laboratory findings in three Italian broiler flocks in which ARV was identified. Sequencing of a partial fragment of the sigma C (σC)-econding gene enabled genetic characterization of the viruses, which showed a low degree of homology with vaccine strains used in breeders in Italy, belonging to genotypic cluster I. The isolates were instead assigned to clusters II and IV. These findings confirm the circulation of genetically distinct ARV genotypes in Italian poultry farms and underline the need for broader investigations of suspected cases to improve understanding of ARV epidemiology and to refine control strategies.

Introduction

Avian Reovirus (ARV) infections are spread worldwide in commercial poultry flocks. Since 2012, an increase of clinically manifested reovirus infections has been reported in various countries, including Israel, Iran, China, Egypt, North and South America, Europe (Chen et al., 2019; French, 2022; Gallardo, 2022; Gamble & Sellers, 2022; Goldenberg, 2022; Jiang et al., 2021; Kovács et al., 2023; Lunge et al., 2023; Mirbagheri et al., 2020; Mosad et al., 2023; Nham et al., 2017; Palomino-Tapia et al., 2022; Sellers, 2017; Souza et al., 2018; Tang & Lu, 2015; Troxler et al., 2013).

ARV belongs to the family Reoviridae, is a non-enveloped virus with icosahedral symmetry measuring 70 to 80 nm. The virus contains double-stranded ribonucleic acid of ten segments (Benavente & Martínez-Costas, 2007; Jones, 2000; van der Heide, 2000).

Liu et al. (2003) constructed phylogenetic trees using variation in the S-class genes, which encoded σ-class core, outer capsid, and non-structural proteins of ARV to test the possibility of reassortment between strains of different serotypes or pathotypes and to evaluate evolutionary relationships of ARV isolates. The sigma C (σC)-encoding gene display the highest level of sequence divergence and rapid evolution; therefore, this gene can be used as a genetic marker for rapid differentiation and classification of ARV isolates. Furthermore, the σC protein of ARV which is involved in the identification and attachment of the virus to the target cell and is located on the surface of the capsid and induces the production of neutralising antibodies, is also responsible for serotype specificity in ARV, therefore sequencing of the σC-encoding gene can be used to obtain information on the genetic and serologic characteristics of ARV strains (Markis, 2022a).

ARV infections are described in many avian poultry species such as chickens, turkeys, geese, ducks, guinea fowls, Japanese quails, pigeons and in many species of wild and exotic birds (van der Heide, 2000).

ARVs are a diverse group of poultry pathogens, the virulence of which varies greatly among isolates within different hosts. Although most ARV infections are asymptomatic, not-pathogenic strains may coexist with virulent strains or other pathogens associated with different syndromes like malabsorption and other gastrointestinal syndromes, pericarditis and myocarditis, hepatitis, atrophy of the bursa of Fabricius and thymus, acute and chronic respiratory disease and immunosuppression (Czekaj et al., 2018). Furthermore, there is a clinical form in which the reovirus act as a primary pathogen: tenosynovitis/arthritis. The tenosynovitis/arthritis caused by ARV is associated with high morbidity and low mortality. Typical clinical signs are abnormal ambulation, including lameness and swaying, evolving in splay leg and in final stages of the disease severe reduction of mobility, everted legs, and inability to stand. Affected animals can die naturally for starvation or they are suppressed for welfare purposes (Xu et al., 2024).

The economic losses are mainly associated with the reduced growth rates and food conversion (French, 2022) but also with culling during the rearing period or condemnation of carcasses at the slaughterhouse, particularly in countries such as Israel where the affected carcasses are considered unkosher (Farnoushi et al., 2024; Perelman et al., 2019).

An important feature of viral arthritis/tenosynovitis is the age-related host susceptibility (Jones & Georgiou, 1984). Chicks and turkey poults infected at 1-2 weeks of age develop clinical disease with gross lesions while older animals are usually resistant to viral infection. ARVs are transmitted both vertically and horizontally, so clinical outcome is influenced by immune status, virulence of strain and route of exposure. Breeder flocks can be infected and may show or may not show clinical signs of disease, but they vertically transmit the virus to progenies. Field control of the disease and infection is achieved with vaccination of breeder flocks to block the vertical transmission and provide maternal antibodies to progeny. Commercial vaccines are either killed or attenuated live vaccines. Novel vectored and subunit vaccines have been developed based on the σC protein to improve safety and protection against circulating strains but are currently not available in Europe (Goldenberg et al., 2016; Saikia et al., 2019).

Recently, the genetic diversity of ARV strains isolated in different countries have been investigated and revealed a complex epidemiological picture (Kovács et al., 2023). Studies investigating the characteristics of ARVs have reported that strain circulating and causing arthritis/tenosynovitis worldwide diverges antigenically and genetically from commercial vaccines strains with the potential to hinder the effectiveness of current vaccination strategies (Sellers, 2017).

This work presents a series of cases of pathogenic ARV infection in broiler flocks, accompanied by an account of the laboratory investigations that were initiated in response to a series of reports of tenosynovitis between 2023 and 2024 in the Veneto Region, Italy. Increased knowledge in ARV epidemiology, genetic and antigenic characteristics is required to improve disease control measures and evaluate efficacy of current vaccination schemes to reduce the impact on animal health and welfare in broiler production.

Materials and methods

Flock data and clinical observations

Three flocks of Ross 308 meat chickens, hosted in 2 different farms sharing the same hatchery but not the same parents (Table I) were investigated due to presence of symptoms and/or lesions compatible with arthritis.

Table. I. Description of cases and production performances in the affected flocks. NA: not available. Reference performances of mixed sex Ross 308/Male Ross 308 [Aviagen 2022 Ross 308 broiler performance objectives available at: https://aviagen.com]: Final live weight (kg): 4,2/4,714 and feed conversion rate (kg/kg) 1,773/1,71.

In Case 1 two drumsticks of 55-days-old chickens slaughtered were conferred by the farm veterinarian, in order to have confirmation of the presumptive diagnosis of ARV infection and report it to the hatchery. Lesions observed at slaughter are showed in Figure 1.

Figure. 1. Subcutaneous hematoma of the left thigh; B) Enlargement of the joint and subcutaneous hematoma; C) Evident swelling and greenish discoloration of the joint in the foreground.

Also, performances were reduced when compared to the normal production parameters generally obtained in Italy, implying economic losses derived both by the reduced performances and the condemnation rate of carcasses.

In the second farm two different production cycles were affected (Case 2 and 3, respectively). In Case 2 symptoms started in broiler chicken around the 44th day of life with lameness, reluctance to move and visible swelling of the hock joints. Animals were slaughtered at 59 days and 10% of condemnation rate of carcasses was reported. The farm veterinary conferred four carcasses of symptomatic birds and then eight drumsticks collected at slaughter for diagnostic investigations.

The third case appeared in the same farm four month after in 10 days-old subjects with lameness. In this case, the farm veterinary conferred eight carcasses of symptomatic birds.

No vaccination against reovirus was performed in the affected broilers, however the breeders were subjected to the following vaccination plan:

ARV strain 1133 modified live vaccine (MLV) at two days of life,

ARV strains 1733 and 2408 killed vaccine at 11 weeks

ARV strains 1733 and 2408 killed vaccine at 17 weeks.

Postmortem examination

Chickens died in the premises and drumsticks collected at the slaughterhouse underwent necropsy examination in the Microbiology and Veterinary Diagnostic Laboratory of Treviso (IZSVe) according to the standard protocol and samples were collected to perform bacteriological, serological, virological and histopathological examinations.

Bacteriological investigations

In Case 1 samples of muscle and synovial sheath with lesions were aseptically collected and plated on selective (Perfringens agar base (PAB), Eosin methylene blue (EMB)) and non-selective medium (Blood agar plates supplemented with 5% sheep red blood cells (BA)) incubated at 37 °C for 24 hours in aerobic and anaerobic atmosphere.

In Case 2 samples of brain, pericardium, thigh bone, joint, subcutaneous and aerial sacks were aseptically collected and plated on selective (EMB, Blood agar supplemented with gentamicin and polymyxin (ASGP), Baird Parker supplemented with Rabbit plasma and bovine fibrinogen (RPF)) and non-selective medium (BA, Columbia base sheep blood (CSB) agar + Staphylococcus aureus grown as a streak across the agar (CSB+SA)) incubated at 37 °C for 24-48 hours in aerobic or microaerophilic atmosphere (5% CO2).

Furthermore a sample of pool of joints was collected and carried out on real time PCR for the detection of Mycoplasma synoviae (OIE, 2008; Raviv & Kleven, 2009).

In Case 3 samples of spleen, pericardium and thigh bone were aseptically collected and plated on selective (EMB, ASGP) and non-selective medium (BA, CSB+SA) incubated at 37 °C for 24-48 hours in aerobic, microaerophilic or anaerobic atmosphere.

Serological analysis

Eleven and five samples of serum were conferred in Case 1 and in Case 3, respectively. The sera were analysed with the commercial ELISA test for the detection of antibodies against reovirus (ID Screen® Avian Reovirus Indirect, IDVet) according to manufacturer instructions.

In the Case 2 three sera were conferred and analysed to evaluate the presence of antibodies against Mycoplasma synoviae (MS) and Mycoplasma gallisepticum (MG) by means of rapid agglutination test using “Nobilis MG antigen” and “Nobilis MS antigen” (Intervet, Boxmeer, NL). The antigens were prepared with the S6 strain from Adler (USA) and with the WVU-1853 strain (ATCC), respectively. The antigen was stained blue and agglutinability was tested with a control serum (Kleven, 2008; Yoder, 1982). In case 1 and 3 the farm veterinarian hasn’t request the test for MS and MG from the sera.

Isolation of ARV in cells

Samples were collected from affected tissues, stored frozen and sent to the virology laboratory of IZSVe for viral isolation. Using a sterile pestle and mortar, samples were homogenized in phosphate-buffered saline (PBS) containing 10% (v/v) penicillin and streptomycin. The suspension was clarified by centrifugation and used to infect Chicken embryo liver cells (CEL) obtained from SPF embryonated chicken eggs. The flasks were cultured at 37 °C and 5% CO2 for 5 days and monitored daily for the presence of cytopathic effects. When the cytopathic effects reached 80% or more, the cell culture supernatant was collected, and presence of ARV was confirmed by TEM and/or RT-PCR test.

Transmission electron microscopy (TEM)

For negative staining, samples were fixed using 4% paraformaldehyde (PFA) in PBS. Droplets of sample suspensions (10 μl) were placed on formvar-carbon coated copper grids and allowed to adsorb for 60 sec. Excess liquid was removed gently touching the filter paper. The adsorbed specimens were then processed by first washing each specimen grid on a drop of negative stain (2% uranyl acetate in distilled water), blotting and repeating this step once more, this time leaving the specimen grid for 60 sec on a new drop of negative stain solution. Samples were observed at a JEOL 1200 EX II electron microscope. Micrographs were acquired by the Olympus SIS VELETA CCD camera equipped the iTEM software.

RT-PCR and Sanger sequencing of σC gene

Nucleic acid extraction was performed from the cell culture supernatant using the QIAsymphony SP instrument with QIAsymphony® DSP Virus/Pathogen Midi Kit according to manufacturer instruction.

Oligonucleotide primers (P2 (Fw) 5'-AGTATTTGTGAGTACGATTG-3' and P4 (Rev) 5'-GGCGCCACACCTTAGGT-3') were used to amplify a 912 bp portion (685-1597, with respect to strain S1133) of the sigma C gene of the S1 segment as described previously (Kant et al., 2003; Shapouri et al., 1995). Amplification was carried out by using the one-step RT-PCR kit of QIAGEN. The same PCR primers used for amplification were used in the sequencing reaction, which was performed according to the recommendations of the manufacturer (BigDye cycle sequencing kit v3.1; Applied Biosystems). The dye-labeled products were run on an automated sequence analyzer (ABI 3100).

Genetic clusters were assigned according to Kovács at al., (2023).

Histopathology

At necropsy, samples of chicken tendons from all the cases were collected, fixed in 10% neutral-buffered formalin for 48 h, routinely processed for histology. Four μm sections were stained with hematoxylin and eosin (H-E) and evaluated by trained pathologists.

Results

Post-mortem gross lesions

In the first case focal cutaneous hematoma was observed in two drumsticks, while subcutaneous oedema with fibrino-heterophilic exudation, haemorrhages and adhesion between muscles and skin were present in all the samples. No gross lesions were observed in the hock joints.

Haemorrhages and tissue oedema on synovial sheaths were also present while the tendons were not affected by inflammatory reactions (Figure 2).

Figure. 2. Periarticular portion of the thigh with evident oedema and haemorrhage in the peritendinous tissues, without apparent involvement of the tendon.

In Case 2, all the chicks show poor body condition and paleness of muscles, breakage of the femoral heads upon decapsulation was observed in two out of four subjects, osteonecrosis of the femoral head in one subject with atrophy of the thigh muscles, heterophilic cellulitis and fibrino-heterophilic aerosacculitis in two out of four subjects. Stomachs presented little amounts of food but no mucosal lesions. Mild splenomegaly was consistent within the group.

Fifteen days later the group was slaughtered, and eight discarded drumsticks were taken to the laboratory (Figure 3).

Figure. 3. Different severity and localization of the haemorrhagic lesions in the drumsticks of Case 2.

Focal greenish cutaneous hematomas (Figure 4A) and subcutaneous oedema were found in all the shanks. Subcutaneous fibrino-heterophilic exudate and haemorrhages with adhesions between muscle and skin were observed (Figure 4B-C).

Figure. 4. A) Drumstick with focal hematomas; B) Fibrino-heterophilic exudates, oedema and haemorrhages subcutaneous; C) Extensive partially haemorrhagic oedema with slight fibrino-heterophilic exudation in another drumstick.

Necrotic cellulitis was highlighted in one drumstick (Figure 5A). Focal haemorrhages were present in the superficial muscles of the thigh, which in some cases infiltrated between the muscle bundles (Figure 5A-C). These haemorrhages were not present in the deep muscles of the thigh near the tibial bone (Figure 5D). The femorotibial synovial sheaths showed haemorrhages and edema along the course of the sheath without apparent involvement of the tendons (Figure 5D), while the patellofemoral joint did not show any pathological exudate.

Figure. 5. A) necrosis of the subcutaneous tissue and hock joint; B) subcutaneous haemorrhages and edema that infiltrate the superficial muscles while sparing the tendon, C) subcutaneous and muscular haemorrhagic infiltration and dry heterophilic exudation affecting the subcutaneous tissue; D) peritendinous haemorrhages and edema that apparently do not involve the tendon.

In Case 3, eight 10-days-old broiler chicks were taken to the laboratory and at the necropsy localized skin hyperaemia was highlighted at the level of the tarsometatarsal joint. Four subjects presented breakage of the femoral head upon decapsulation and in three of them heterophilic pericarditis with little yellowish mucous exudate was observed. All subjects had mild splenic reactivity. Litter was found in the gastric and pregastric compartment, catarrhal enteritis was observed with hyperaemia of the duodenal mucosa, associated with catarrhal contents in the jejunum and fluid in the cecum. Examination of the tarsometatarsal joints revealed peritendinous oedema without pathological exudates. Two subjects had whitish streaks associated with haemorrhagic petechiae and mild muscle oedema affecting the medial muscles of the thigh. In another subject, focal rare muscular haemorrhagic petechiae were observed. Some bursae of Fabricius appeared enlarged and slightly oedematous.

Bacteriological investigations

Bacteriological cultures from muscles and synovial sheaths were negative in Case 1. Brains and pericardium tested in Case 2 resulted negative, while E. coli was isolated from a femoral joint, air sacs and subcutaneous abdominal tissue. Clostridium perfringens was also isolated from the latter matrix. Specific testing by PCR for Mycoplasma synoviaefrom the joints was negative. From the drumsticks of the same case both the bacteriological examination of the muscle and PCR for Mycoplasma synoviae were negative.

In Case 3 the bacteriological tests highlighted the presence of Enterococcus cecorum in the spleen and pericardium, while the bacteriological cultures on the femoral joints were negative.

Serological analysis

ARV ELISA antibody test revealed all sera from Case 1 as positive with high titres, while all the samples of Case 3 resulted negative.

No antibodies against MG and MS were detected in Case 2.

Virological examination

ARV was isolated from tendon samples collected from the drumsticks in Case 1 from tendon samples of 44 days-old chickens in Case 2 and in the Case 3, as summarized in Table II. A representative TEM image of the avian reovirus detected in Case 3 is shown in Figure 6, illustrating the typical morphology of the viral particles.

Case Viral isolation TEM RT-PCR Sequence ID Genotype GenBank acc. No.
1 (drumsticks) POSITIVE POSITIVE POSITIVE 23VIR5961 Cluster 4 PQ252381
2 (44 day-old) POSITIVE POSITIVE NEGATIVE - Not typable -
2 (drumsticks) NEGATIVE - - - - -
3 (10 day-old) POSITIVE POSITIVE POSITIVE 24VIR727 Cluster 2 PQ252380
Table. II. Results of virus isolation and identification of ARV in tendon samples.

Figure. 6. Transmission electron microscopy (TEM) image of viral particles observed in the supernatant of CEL cell culture following first passage. Specimen prepared by negative staining. The virions display morphological features consistent with avian reovirus.<strong> </strong>Bar = 200 nm

Sequences of ARV viruses (GenBank acc. No.: PQ252380-1) identified were assigned to cluster 4 and 2 for Case 1 and 3, respectively (Figure 7). The σC protein of Avian_orthoreovirus_Italy_23VIR5961_2023 shows the highest amino acid identity (97.7%) with two viruses collected between 2012 and 2015 in Romania and Bulgaria (OP816625.1and OP816539.1), while Avian_orthoreovirus_Italy_24VIR727_2024 displays the highest similarity (94.9%) with a 2018 Iranian isolate (MZ520138).

Figure. 7. Phylogenetic tree of the partial sequence of the gene encoding for σC protein. In red sequences from Case 1 and 3.

Histopathology

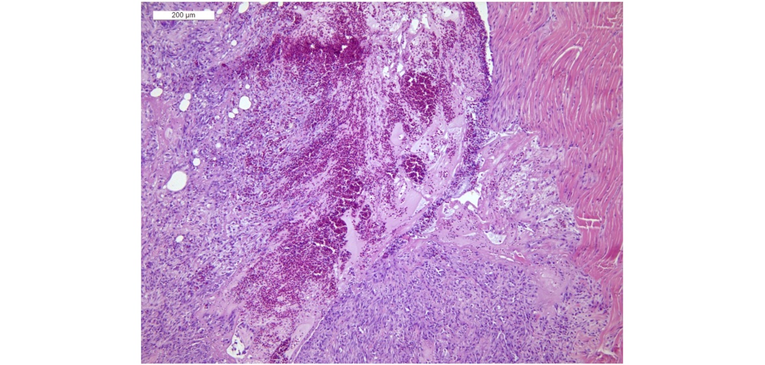
The drumsticks of Case 1 and Case 2 showed severe and diffuse tendon thickening due to fibrosis and lymphoplasmacytic and histiocytic infiltrate. A large fibrino-hemorrhagic area was also detected (Figure 8).

Figure. 8. Diffuse fibrosis around and within the tendon with lymphoplasmacytic and histiocytic infiltrate and fibrino-haemorrhagic area. Haematoxylin and Eosin (H E) staining. 10X.

The synoviocytes were hyperplastic with lymphoplasmacytic infiltrate and scant fibrinoheterophilic exudate in the synovial space (Figure 9).

Samples examined from Case 3 showed multifocal fibrosis and lymphohistiocytic infiltration of the tendon. For all the subjects a diagnosis of tenosynovitis of probable viral etiology was made. No bacterial elements were highlighted in the histological examined sections.

Discussion

Tenosynovitis is a worldwide problem for the poultry industry with a severe impact mainly in the chicken and turkey meat sector. ARVs with Mycoplasma synoviae and staphylococcal species are the main pathogens associated with tenosynovitis in chickens and turkeys. Throughout the world, economic losses related to ARV infection have been kept under control by vaccination of breeders. However, since 2012, there has been a resurgence of the problem probably related to the circulation/selection of viral strains that are very different from those compared to the strains present in commercial vaccines (Brugere-Picoux et al., 2008; Gamble & Sellers, 2022; Palomino-Tapia et al., 2022). The situation in the USA, where autogenous vaccines have been developed for the timely containment of individual viral strains, has been reviewed by Gamble and Sellers, (2022). In Israel, where the economic losses associated with the diseases reached 20 million dollars, different vaccination strategies were implemented to curb the impact of the disease. Initially, autogenous inactivated vaccines where tested but resulted insufficient to confer adequate protection to chicken broilers (Perelman et al., 2019). This strategy was modified with the adoption of a vaccination protocol which included a priming with a live attenuated vaccine based on the widely circulating strain 7585, followed by boosting with inactivated homologous and heterologous vaccines, resulting in higher protection from clinical disease (Goldenberg, 2022). However, the risks associated with the use of live attenuated vaccines belonging to clusters other than 1 have been documented by several authors with the possible emergence of reassortant strains and novel pathogen variants (Lunge et al., 2023; Markis, 2022b). More recently, research on development of reovirus subunit vaccines and recombinant vaccines has shown potential for reovirus disease control (Markis, 2022c).

The Italian epidemiological situation for ARV is currently largely undefined but the increasing number of clinical outbreaks and the losses associated with arthritis/tenosynovitis cases have increased, leading to the need of more detailed investigations on possible vaccine failures.

Figure. 9. Diffuse hyperplasia of the synoviocytes with lymphoplasmacytic infiltrate. Haematox-ylin and Eosin (H E) staining. 20X.

Swelling of the joints, oedema, haemorrhages and serous exudate between tendon and the hock joint described in outbreaks of ARV infection in literature resulted comparable with the cases investigated in this work (Brugere-Picoux et al., 2008; Souza et al., 2018; Tang & Lu, 2015; Xu et al., 2024) as well as the microscopic description from Palomino-Tapia et al., (2022).

Most of the cited articles describe the symptoms and lesions during the production cycle, whereas Souza et al., (2018) describe the gross and histopathological findings at slaughter. For this reason, it was taken as a reference in the evaluation of lesions in cases 1 and 2. However, differences were observed in the onset of symptoms and vaccination protocols of the breeders when comparing our cases 1 and 2 to the outbreak described by Souza et al., (2018). Notably the age of affected birds in our cases, ranged between 44 and 55 days, whereas in Brazil infectious tenosynovitis was reported in 22-28 day old broilers. Differences in the age of onset of symptoms for ARV may be due to the presence and level of protection offered by maternal immunity, strain virulence or route of infection. Horizontal transmission is extensively documented and faecal contamination is a primary source of contact infection while vertical transmission can cause earlier onset of disease in broiler flocks (Goldenberg, 2022). It is probable that the infection occurred horizontally at a later stage of the cycle in the subjects we analysed, potentially as a consequence of inadequate biosecurity measures, considering that vertical transmission is unlikely to have occurred as the offspring came from different breeding flocks and given the absence of reports in other flocks from the same breeders. In addition, the late onset of the clinical picture may be due to the low virulence of the viral strain, as described by Ayalew et al., (2022). Although it is not possible to exclude completely the role of bacteria in the pathogenesis of the disease, in all the cases viral aetiology was identified as the primary cause of the observed clinical signs and lesions by combining the results of bacteriological cultures, viral isolation and pathological findings.

When comparing our cases to the outbreak described by Souza et al., (2018) differences in the immunity of the breeders also emerged. Particularly, in the Brazilian report no vaccination against ARV infection was performed in the breeders, whereas in our cases the breeders were vaccinated with ARV strains belonging to cluster 1. However, the efficacy of vaccination in preventing infection and the development of lesions remains uncertain. This may be attributed to the potential incursion of the virus after the waning of maternal immunity or the limited protection offered by vaccines against strains belonging to divergent genotypes. In the second case, isolation of ARV was possible only from clinical samples obtained from birds at 44-days-of-age, although sequencing failed and it was not possible to assign a genotype, possibly as result of mutations in the primers region. From drumsticks collected at the slaughterhouse it was not possible to detect the presence of ARV by either classical or molecular virological methods. This is not completely unexpected due to the immune status of birds and later stage of the disease which have been proven to reduce the frequency of detection of ARV in joints of infected animals (Meanger et al., 1997).

Notably, Case 3 involved 10-day-old chickens and ARV belonging to cluster 2 was detected in this case with concomitant systemic infection of Enterococcus cecorum. Although the lameness could be the result of a systemic infection by E. cecorum (isolated from the spleen and pericardium), as well described by Jung et al., (2018), the failure to isolate this pathogen from the femurs and the joints and the characteristics of the macro and microscopic tendon and peritendinous lesions suggest that ARV isolated from the tendons is the main cause of the lesions. Cluster 2 was earlier described as more pathogenic for the tendon than Cluster 4 and this can explain the different time of onset of the pathology (Ayalew et al., 2022). The development of symptoms and lesions at this age brings this case closer to those already described in literature (Mirbagheri et al., 2020; Tang et al., 2015, Palomino-Tapia, et al., 2022; Troxler, et al, 2013; Mosad, et al., 2023; Perelman, et al., 2019; Brugere-Picoux, et al., 2008). Also, chicks did not have any detectable antibodies against ARV, drawing attention to the lack of maternal immunity despite the vaccination of breeders (Gharaibeh & Mahmoud, 2013).

The histological examination, in all the three examined cases, showed lesions attributable to tenosynovitis, supporting the macroscopic finding and clinical symptoms.

Although Stamilla et al., (2021) described an intestinal coinfection reovirus–astrovirus in a farm in 2021, this is the first report of ARV cluster 2 and 4 tenosynovitis in Italy in recent years. The viral clusters involved in the outbreaks differ from cluster 1, used in commercial vaccines, drawing the attention to the need of monitoring the epidemiology of ARV in order to adapt vaccination strategies in the breeders and improve control and prevention of infectious tenosynovitis caused by ARVs. Notably, the σC protein of the two Italian viruses shares only 49.8–57.8 % amino-acid identity with that of the vaccine strain S1133, underscoring substantial divergence in a key antigenic protein that drives the production of neutralising antibodies.

Further studies will be useful in describing virulence and pathogenesis of ARVs strains circulating in Italy.

Conclusions

The principal aim of this study is to elucidate the pathological features and genetic characteristics of avian reovirus (ARV) strains identified within broiler flocks in Italy, where the epidemiological situation of ARV is largely unknown. The presence of ARVs in chicken flocks is frequently unnoticed due to the predominantly subclinical manifestation of infections, particularly in vaccinated birds. Nevertheless, an increasing body of evidence highlights the importance of implementing control measures for ARV infections in order to mitigate the economic losses associated with both clinical and subclinical forms. It is imperative to recognise that the formulation of efficacious control strategies is contingent upon a comprehensive understanding of the characteristics of the circulating strains and the prevailing epidemiological situation in the pertinent region. The implementation of effective control strategies, in conjunction with the availability of new efficacious vaccines, is pivotal in mitigating the economic impact of the disease on the broiler industry.

Author Contributions

Conceptualization, L. V., L. Z., C. T., C. Z. and A. B.; Data curation, L. V., B. C., S. L., L. Z., A. F., C. T. and A. B.; Formal analysis, S. L., A. P., M. G. and C. Z.; Investigation, P. L.; Writing – original draft, L. V., B. C. and L. Z.; Writing – review & editing, L. V., B. C., C. Z. and A. B..

Conflicts of Interest

The authors declare no conflicts of interest.

Ethical approval

Missing

Fundings

Missing

References

Ayalew, L. E., Ahmed, K. A., Popowich, S., Lockerbie, B.-C., Gupta, A., Tikoo, S. K., Ojkic, D., & Gomis, S. (2022). Virulence of Emerging Arthrotropic Avian Reoviruses Correlates With Their Ability to Acti-vate and Traffic Interferon-γ Producing Cytotoxic CD8+ T Cells Into Gastrocnemius Tendon. Frontiers in Microbiology, 13. https://doi.org/10.3389/fmicb.2022.869164.

Benavente, J., & Martínez-Costas, J. (2007). Avian reovirus: Structure and biology. Virus Research, 123(2), 105–119. https://doi.org/10.1016/j.virusres.2006.09.005.

Brugere-Picoux, J., Vaillancourt, J.-P., Shivaprasad, H. L., Venne, D., & Bouzouaia, M. (2008). Manual of Poultry Disease. AFAS.

Chen, H., Yan, M., Tang, Y., & Diao, Y. (2019). Pathogenicity and genomic characterization of a novel avi-an orthoreovius variant isolated from a vaccinated broiler flock in China. Avian Pathology, 48(4), 334–342. https://doi.org/10.1080/03079457.2019.1600656.

Czekaj, H., Kozdruń, W., Styś-Fijoł, N., Niczyporuk, J. S., & Piekarska, K. (2018). Occurrence of reovirus (ARV) infections in poultry flocks in Poland in 2010–2017. Journal of Veterinary Research, 62(4), 421–426. https://doi.org/10.2478/jvetres-2018-0079.

Farnoushi, Y., Heller, D., & Lublin, A. (2024). Genetic characterization of newly emerging avian reovirus variants in chickens with viral arthritis/tenosynovitis in Israel. Virology, 589, 109908. https://doi.org/10.1016/j.virol.2023.109908.

French, D. (2022). Incidence and Economic Impact of Reovirus in the Poultry Industries in the United States. Avian Diseases, 66(4). https://doi.org/10.1637/aviandiseases-D-22-99993.

Gallardo, R. A. (2022). Molecular Characterization of Variant Avian Reoviruses and Their Relationship with Antigenicity and Pathogenicity. Avian Diseases, 66(4), 443–446. https://doi.org/10.1637/aviandiseases-D-22-99995.

Gamble, T. C., & Sellers, H. S. (2022). Field Control of Avian Reoviruses in Commercial Broiler Production. Avian Diseases, 66(4). https://doi.org/10.1637/aviandiseases-D-22-99991.

Gharaibeh, S., & Mahmoud, K. (2013). Decay of maternal antibodies in broiler chickens. Poultry Science. https://doi.org/10.3382/ps.2013-03249.

Goldenberg, D. (2022). Avian Reovirus in Israel, Variants and Vaccines—A Review. Avian Diseases, 66(4). https://doi.org/10.1637/aviandiseases-D-22-99996.

Goldenberg, D., Lublin, A., Rosenbluth, E., Heller, E. D., & Pitcovski, J. (2016). Optimized polypeptide for a subunit vaccine against avian reovirus. Vaccine, 34(27), 3178–3183. https://doi.org/10.1016/j.vaccine.2016.04.036.

Jiang, X., Lin, Y., Yang, J., Wang, H., Li, C., Teng, X., Tang, Y., & Diao, Y. (2021). Genetic characteriza-tion and pathogenicity of a divergent broiler‐origin orthoreovirus causing arthritis in China. Trans-boundary and Emerging Diseases, 68(6), 3552–3562. https://doi.org/10.1111/tbed.13961.

Jones, R. C. (2000). Avian reovirus infections. Revue Scientifique et Technique de l’OIE, 19(2), 614–625. https://doi.org/10.20506/rst.19.2.1237.

Jones, R. C., & Georgiou, K. (1984). Reovirus‐induced tenosynovitis in chickens the influence of age at in-fection. Avian Pathology, 13(3), 441–457. https://doi.org/10.1080/03079458408418546.

Jung, A., Chen, L. R., Suyemoto, M. M., Barnes, H. J., & Borst, L. B. (2018). A Review of Enterococcus cecorum Infection in Poultry. Avian Diseases, 62(3), 261–271. https://doi.org/10.1637/11825-030618-Review.1.

Kant, A., Balk, F., Born, L., Van Roozelaar, D., Heijmans, J., Gielkens, A., & Ter Huurne, A. (2003). Classi-fication of Dutch and German avian reoviruses by sequencing the σC protein. Veterinary Research, 34(2), 203–212. https://doi.org/10.1051/vetres:2002067.

Kleven, S. H. (2008). Control of Avian Mycoplasma Infections in Commercial Poultry. Avian Diseases Di-gest, 3(3), e1–e1. https://doi.org/10.1637/8424.1.

Kovács, E., Varga-Kugler, R., Mató, T., Homonnay, Z., Tatár-Kis, T., Farkas, S., Kiss, I., Bányai, K., & Pal-ya, V. (2023). Identification of the main genetic clusters of avian reoviruses from a global strain collec-tion. Frontiers in Veterinary Science, 9. https://doi.org/10.3389/fvets.2022.1094761.

Liu, H. J., Lee, L. H., Hsu, H. W., Kuo, L. C., & Liao, M. H. (2003). Molecular evolution of avian reovirus: Virology, 314(1), 336–349. https://doi.org/10.1016/S0042-6822(03)00415-X.

Lunge, V. R., De Carli, S., Fonseca, A. S. K., & Ikuta, N. (2023). Avian Reoviruses in Poultry Farms from Brazil. Avian Diseases, 66(4). https://doi.org/10.1637/aviandiseases-D-22-99998.

Markis, M. (2022a). Evaluation of Pathogenicity and Antigenicity of Avian Reoviruses and Disease Control Through Vaccination. Avian Diseases, 66(4). https://doi.org/10.1637/aviandiseases-D-22-99994.

Markis, M. (2022b). Evaluation of Pathogenicity and Antigenicity of Avian Reoviruses and Disease Control Through Vaccination. In Avian Diseases (Vol. 66, Issue 4, pp. 435–442). https://doi.org/10.1637/aviandiseases-D-22-99994.

Markis, M. (2022c). Evaluation of Pathogenicity and Antigenicity of Avian Reoviruses and Disease Control Through Vaccination. In Avian Diseases (Vol. 66, Issue 4, pp. 435–442). https://doi.org/10.1637/aviandiseases-D-22-99994.

Meanger, J., Wickramasinghe, R., Enriquez, C. E., & Wilcox, G. E. (1997). Immune response to avian reovi-rus in chickens and protection against experimental infection. Australian Veterinary Journal, 75(6), 428–432. https://doi.org/10.1111/j.1751-0813.1997.tb14348.x.

Mirbagheri, S. A., Hosseini, H., & Ghalyanchilangeroudi, A. (2020). Molecular characterization of avian reo-virus causing tenosynovitis outbreaks in broiler flocks, Iran. Avian Pathology, 49(1), 15–20. https://doi.org/10.1080/03079457.2019.1654086.

Mosad, S. M., Elmahallawy, E. K., Alghamdi, A. M., El-Khayat, F., El-Khadragy, M. F., Ali, L. A., & Abdo, W. (2023). Molecular and pathological investigation of avian reovirus (ARV) in Egypt with the assessment of the genetic variability of field strains compared to vaccine strains. Frontiers in Microbiol-ogy, 14. https://doi.org/10.3389/fmicb.2023.1156251.

Nham, E. G., Pearl, D. L., Slavic, D., Ouckama, R., Ojkic, D., & Guerin, M. T. (2017). Flock-level preva-lence, geographical distribution, and seasonal variation of avian reovirus among broiler flocks in Ontar-io. The Canadian Veterinary Journal = La Revue Veterinaire Canadienne, 58(8), 828–834.

OIE. (2008). Avian mycoplasmosis (Mycoplasma gallisepticum, M. synoviae). OIE Terrestrial Manual.

Palomino-Tapia, V., Nickel, L., Schlegel, B., Mitevski, D., Inglis, T., & Abdul-Careem, M. F. (2022). Re-view of Viral Arthritis in Canada. Avian Diseases, 66(4). https://doi.org/10.1637/aviandiseases-D-22-99997.

Perelman, B., Krispin, H., Solomon, A., Elrom, K., & Farnoushi, Y. (2019). Use of controlled exposure as a novel method for reovirus arthritis/tenosynovitis prevention. A preliminary report. Israel Journal of Vet-erinary Medicine, 74(4).

Raviv, Z., & Kleven, S. H. (2009). The Development of Diagnostic Real-Time Taqman PCRs for The Four Pathogenic Avian Mycoplasmas. Avian Diseases, 53(1), 103–107. https://doi.org/10.1637/8469-091508-Reg.1.

Saikia, D. P., Yadav, K., Pathak, D. C., Ramamurthy, N., D’Silva, A. L., Marriappan, A. K., Ramakrishnan, S., Vakharia, V. N., Chellappa, M. M., & Dey, S. (2019). Recombinant Newcastle Disease Virus (NDV) Expressing Sigma C Protein of Avian Reovirus (ARV) Protects against Both ARV and NDV in Chickens. Pathogens, 8(3), 145. https://doi.org/10.3390/pathogens8030145.

Sellers, H. S. (2017). Current limitations in control of viral arthritis and tenosynovitis caused by avian reovi-ruses in commercial poultry. Veterinary Microbiology, 206, 152–156. https://doi.org/10.1016/j.vetmic.2016.12.014.

Shapouri, M. R. S., Kane, M., Letarte, M., Bergeron, J., Arella, M., & Silim, A. (1995). Cloning, sequencing and expression of the S1 gene of avian reovirus. Journal of General Virology. https://doi.org/10.1099/0022-1317-76-6-1515.

Souza, S. O., De Carli, S., Lunge, V. R., Ikuta, N., Canal, C. W., Pavarini, S. P., & Driemeier, D. (2018). Pathological and molecular findings of avian reoviruses from clinical cases of tenosynovitis in poultry flocks from Brazil. Poultry Science, 97(10), 3550–3555. https://doi.org/10.3382/ps/pey239.

Stamilla, A., Messina, A., Puleio, R., Loria, G. R., Antoci, F., Giuseppe, C., & Lanza, M. (2021). New in-sights on Avian orthoreovirus and Chicken astrovirus co-infection in an Italian broiler flock: preliminary biomolecular and pathological results. Veterinaria Italiana, 57(1), 83–87. https://doi.org/10.12834/VetIt.2222.13654.1.

Tang, Y., & Lu, H. (2015). Genomic characterization of a broiler reovirus field strain detected in Pennsylva-nia. Infection, Genetics and Evolution, 31, 177–182. https://doi.org/10.1016/j.meegid.2015.01.029.

Troxler, S., Rigomier, P., Bilic, I., Liebhart, D., Prokofieva, I., Robineau, B., & Hess, M. (2013). Identifica-tion of a new reovirus causing substantial losses in broiler production in France, despite routine vaccina-tion of breeders. Veterinary Record, 172(21), 556–556. https://doi.org/10.1136/vr.101262.

van der Heide, L. (2000). The History of Avian Reovirus. Avian Diseases, 44(3), 638. https://doi.org/10.2307/1593104.

Xu, B., Xu, T., Ding, W., & Huang, S. (2024). Diagnosis of leg diseases in broiler chickens: A retrospective review1. Journal of Integrative Agriculture. https://doi.org/10.1016/j.jia.2023.12.034.

Yoder, H. W. (1982). Microagglutination test for the detection of antibodies to Mycoplasma gallisepticum and M. synoviae in avian sera. Avian Diseases, 26(3), 606–611. https://doi.org/10.2307/1589908.

Downloads

Published

2025-09-10

How to Cite

Viel, L., Cordioli , B. ., Leardini, S., Pastori, A., Luisetto, P., Luca, Z., Garbuio, M. ., Fusaro, A., Terregino, C., Zanardello, C., & Bortolami, A. (2025). Avian reovirus in Italy: three episodes of abnormal losses in offspring of vaccinated broiler breeders. Veterinaria Italiana, 61(3). https://doi.org/10.12834/VetIt.3734.34668.2

Issue

Topics*

Paper

Most read articles by the same author(s)