Occurrence of Argulus sp. Infestation with Dual Bacterial Co-infection Caused by Aeromonas hydrophila and Enterococcus faecalis in Oscar Fish (Astronotus ocellatus): A Case Report

Authors

  • Rifky Rizkiantino National Research and Innovation Agency (BRIN)
  • Kenda Adhitya Nugraha Indo Fish Vet
  • Stevanie Andrea Wijaya Universitas Padjadjaran
  • Chandra Rizkia Putri Universitas Padjadjaran
  • Ita Krissanti Universitas Padjadjaran https://orcid.org/0000-0002-1148-7673
  • Putri Purnama Sari PT. Central Proteina Prima, Tbk.
  • Rachmawati Nur Fitriana PT. Central Proteina Prima, Tbk.
  • Mufti Rahayu PT. Central Proteina Prima, Tbk.
  • Granita Khanaria PT. Central Proteina Prima, Tbk.
  • Laeli Nasiroh PT. Central Proteina Prima, Tbk.
  • Luthfiana Azzahra PT. Central Proteina Prima, Tbk.

DOI:

https://doi.org/10.12834/VetIt.3875.37825.3

Keywords:

Aeromonas hydrophila, Argulus sp. infestation, Astronotus ocellatus, bacterial co-infection, Enterococcus faecalis

Abstract

A case of mild Argulus sp. infestation was reported in 30 Oscar fish (Astronotus ocellatus). Infestation was managed with diflubenzuron (0.01 mg/L of water). Following the second treatment, six fish developed panexophthalmia, with three mortalities—two showing ascites. A single fish exhibiting clinical signs of ascites was successfully sampled, from which ascitic fluid, whole blood, and visceral organs were collected for subsequent laboratory analyses. Microbiological analysis of ascitic fluid identified Aeromonas hydrophila and Enterococcus faecalis, where A. hydrophila was sensitive to tetracycline and enrofloxacin and E. faecalis was sensitive to tetracycline but intermediate to enrofloxacin. Haematology revealed microcytic normochromic anemia, leukocytosis dominated by neutrophils/heterophils and monocytes, and lymphopenia. Histopathology showed severe secondary lamellar fusion in gills, granulomatous inflammation in multiple organs, hepatic degeneration, and mild other parasitic co-infection (Monogenean and Trichodina sp.). Elevated un-ionized ammonia (NH₃) was the only abnormal water quality parameter. Surviving symptomatic fish received intramuscular enrofloxacin (10 mg/kg body weight, 7 days) and topical water bandage application, resulting in full recovery in two cases and clinical improvement in the third. This case underscores that even mild Argulus sp. infestations can facilitate opportunistic bacterial infections under environmental stress, leading to systemic pathology. Integrated management combining parasite control, targeted antibiotic therapy, water quality improvement, and topical care can yield favorable outcomes in ornamental fish health.

Introduction

Ectoparasites of the genus Argulus sp. (Crustacea: Branchiura), commonly referred to as fish lice represent a significant threat to global freshwater fish, including high-value ornamental fish sector. One of them is the Oscar fish (Astronotus ocellatus). These parasites attach firmly to the host’s skin or fins, penetrate the epithelium, and feed on body fluids while releasing proteolytic enzymes that induce tissue damage, irritation, haemorrhage, and provide an entry point for secondary infections (Tokşen, 2006, Mikheev et al., 2015). Parasitic infestations such as Argulus sp., which can induce external tissue damage and irritation, have been demonstrated to facilitate secondary infections caused by opportunistic pathogenic bacteria (Muslimin et al., 2025). The severity of parasitic infestation and pathogen infections are often influenced by environmental factors—particularly poor water quality—which can suppress the fish immune response and increase susceptibility to opportunistic pathogens (Reda et al., 2024). Among environmental stressors, elevated levels of un-ionized ammonia (NH₃) are a key determinant of reduced fish health in aquatic systems (Lin et al., 2022). Exposure to ammonia above optimal thresholds damages gill tissue, disrupts osmotic homeostasis, induces oxidative stress, and suppresses non-specific immunity, thereby facilitating pathogen invasion (Xu et al., 2021). Such conditions can exacerbate disease progression, particularly during concurrent exposure to bacterial opportunistic pathogens.

The opportunistic pathogen Aeromonas hydrophila is one of the most frequently reported Gram-negative bacteria associated with elevated mortality in freshwater fish. This bacterium produces a wide range of virulence factors—including haemolysin, aerolysin, and proteases—that can induce septicaemia, multisystem damage, and sudden death. Common clinical manifestations include exophthalmia, ascites, subcutaneous haemorrhage, and lesions affecting the gills, liver, kidneys, and other visceral organs (Řehulka, 2002; Semwal et al., 2023). Similarly, Enterococcus faecalis, although typically a commensal bacterium of the gastrointestinal tract, may act as an opportunistic pathogen under conditions of host stress or tissue injury. Haemorrhage in the fins, mild hyphema, cloudy eyes, caudal fin erosion, abdominal swelling, and black spots in the ventral mouth and gill regions are among the clinical signs observed in Oreochromis niloticus infected with this bacterium. Exophthalmia, cloudy eyes, and abdominal swelling have also been reported as clinical features in silver barb (Barbonymus gonionotus) affected by E. faecalis (Rahman et al., 2017; Ehsan et al., 2021; Rizkiantino et al., 2021; Rizkiantino et al., 2023). Furthermore, co-infection of E. faecalis with Aeromonas spp. has been documented, leading to multiple lesions such as skin erosion, haemorrhage, cloudy eyes, and dark pigmentation in O. niloticus and Clarias gariepinus (Abdelsalam et al., 2021). However, published reports specifically describing dual co-infection of these two bacteria in high-value ornamental fish such as Oscar fish remain limited, constraining reference material for practitioners in designing effective treatment strategies. Nevertheless, treatment success is strongly influenced by the management of predisposing factors such as parasitic infestation and water quality—factors often overlooked in case reports.

Therefore, the current study aims to describe the clinical case, laboratory diagnostic findings, and therapeutic outcome of an integrated treatment approach in Astronotus ocellatus, affected by Argulus sp. infestation complicated by dual co-infection with A. hydrophila and E. faecalis. This case provides new insights into the multifactorial nature of aquatic disease, illustrating how parasitic infestation and environmental stress can predispose ornamental fish to opportunistic bacterial co-infection, and underscores the importance of a comprehensive clinical approach in diagnosis and treatment.

Case Report

A group of Oscar fish (Astronotus ocellatus) over three years old in Jakarta, Indonesia, had been reported to have a mild infestation of Argulus sp. affecting 30 fish maintained in a single holding pond. Infestation control was carried out using the benzoylurea of diflubenzuron (Dimilin®, Chemtura Corporation, Germany) at a concentration of 0.01 mg/L for seven days, starting on August 11th, 2024. The pond water was subsequently drained, and a second treatment with the same dosage was administered on August 18th, 2024. A third course of diflubenzuron was applied on September 10th, 2024. On September 11th, 2024, six of the 30 fish developed panexophthalmia; three of these fish died. One deceased fish exhibited no ascites, whereas two showed abdominal distension consistent with ascites. One moribund fish with both ascites and panexophthalmia was selected for sample collection (Figure 1). Whole blood, ascitic fluid, and visceral organs were obtained for haematological, microbiological, and histopathological examination. The two surviving fish with exophthalmia were quarantined and treated with enrofloxacin at 10 mg/kg body weight via intramuscular (IM) injection once daily for seven days. Ocular lesions were also managed with topical water bandage (Aquaplast®, Indonesia) applied twice daily. By October 17th, 2024, two of these treated fish had fully recovered and were returned to the holding pond.

Water quality analysis revealed that temperature, pH, dissolved oxygen (DO), and nitrite (NO₂⁻) were within normal limits; however, un-ionized ammonia (NH₃) levels were elevated beyond reference values (Table I). Gross pathological examination from the moribund fish showed panexophthalmia, cloacal haemorrhage, pale gills, and ascitic fluid filling the coelomic cavity. The liver appeared normal on both lobes, but the gallbladder exhibited signs of cholecystitis (Figure 1). Blood collected in lithium-heparin anticoagulant tubes showed paler colour and reduced viscosity. Haematological analysis demonstrated microcytic normochromic anemia which confirmed the presence of pale gill findings, as indicated by decreased total erythrocyte count, haemoglobin, haematocrit, and mean corpuscular volume (MCV), but normal mean corpuscular haemoglobin concentration (MCHC). Total leukocytes, monocytes, and neutrophils/heterophils were markedly elevated, consistent with bacterial infection, while relative lymphocyte counts were decreased (Table II).

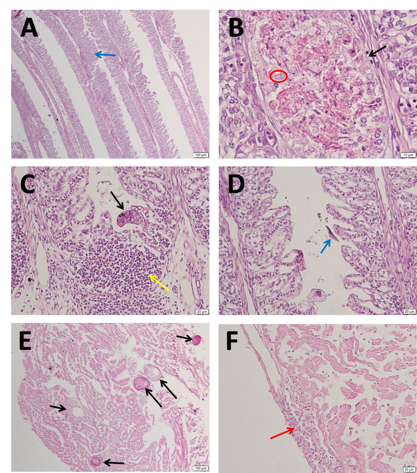
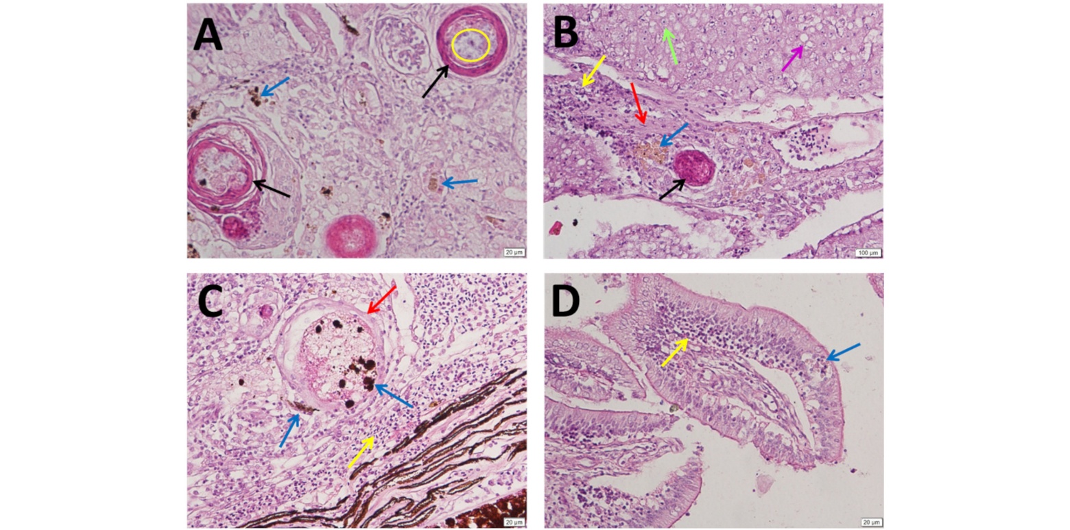
Histopathological examination revealed extensive lesions in multiple organs. The gills exhibited severe secondary lamellar fusion, mild infestation by Monogenean and Trichodina sp., severe inflammatory cell infiltration, and mild granulomatous inflammation. The heart presented with moderate granulomatous inflammation and mild pericardial inflammatory infiltration. The kidneys showed severe granulomatous inflammation containing bacterial colonies and mild melanomacrophage center (MMC) accumulation. The liver displayed lipid degeneration, moderate hydropic degeneration, mild granulomatous inflammation, mild MMC accumulation, mild connective tissue degeneration, and moderate inflammatory infiltration. The eyes exhibited moderate inflammatory cell proliferation, mild granulomatous inflammation, and mild MMC accumulation. The intestines showed mild inflammatory cell proliferation and mild MMC accumulation (Figures 2, 3). Microbiological culture of ascitic fluid samples collected aseptically yielded two bacterial species (Figure 4). Molecular identification by species-specific primers (Pollard et al., 1990; Rahman et al., 2017) and 16S rRNA gene sequencing using the Sanger sequencing at the 3rd party (1st BASE, Singapore) confirmed ≥99% similarity with reference Aeromonas hydrophila and Enterococcus faecalis strains. Antimicrobial susceptibility testing demonstrated that A. hydrophila was sensitive to tetracycline and enrofloxacin. E. faecalis was sensitive to tetracycline, but intermediate to enrofloxacin (Table III).

Parameter Results Unit Reference (Kasper et al., 2022) Note
Temperature 27.1 °C > 21.0 Normal
pH 7.51 - 6.0–8.5 Normal
Dissolved oxygen (DO) 6.0 mg/L > 4–5 Normal
Un-ionized ammonia (NH3) 0.260 mg/L < 0.02 High
Nitrite (NO2-) 0.090 mg/L ≤ 0.1 Normal
Table. I. Water quality parameters of the Oscar fish (Astronotus ocellatus) holding pond.
Parameters Results Reference (Flores et al., 2020) Unit Note
Total erythrocytes 0.55 1.00–1.30 106 cell/μL Low
Haemoglobin 1.80 6.40–14.40 g/dL Low
Haematocrit 4.00 18.80–29.10 % Low
Mean corpuscular volume (MCV) 72.73 150.80–278.70 fL Low
Mean corpuscular haemoglobin concentration (MCHC) 45.00 23.10–57.90 g/dL Normal
Total leukocytes 25.00 5.00-15.00 103 cell/μL High
Lymphocytes 7.00 59.40-79.90 % Low
Monocytes 29.00 1.90-5.70 % High
Neutrophils/Heterophils 64.00 0.00-3.57 % High
Table. II. Hematological findings.

Figure. 1. Photomacrograph of Oscar fish (<em>Astronotus</em><strong> </strong><em>ocellatus</em>) with ascites and panexophthalmia. (A) Affected fish in the current study. (B) Exophthalmia (green arrow). (C) Cloacal haemorrhage (yellow arrow). (D) Ascitic fluid within the coelomic cavity (red arrow). (E) Whole blood collected in a lithium-heparin tube. (F, G) Liver without apparent lesions; gallbladder showing signs of cholecystitis (blue arrow). (H) Gills exhibiting marked pallor, indicative of compromised anaemia status (red arrow). (I) Argulus sp. infestation of observed on the external surface of the host (red circle).

Figure. 2. Gills and heart histopathology findings. (A) Severe fusion of secondary lamellae (blue arrow) (Bar = 100 µm). (B) Mild granulomatous inflammation (black arrow) and bacterial colonies (red circle) in the gills (Bar = 10 µm). (C) Monogenean infestation (black arrow) with severe inflammatory infiltration (yellow arrow) in the gills (Bar = 20 µm). (D) Mild <em>Trichodina</em> sp. infestation (blue arrow) in the gills (Bar = 20 µm). (E) Moderate granulomatous inflammation (black arrow) in the endocardioum (Bar = 100 µm). (F) Mild inflammatory infiltration in the pericardium (red arrow) (Bar = 20 µm). H a E stain.

Figure. 3. Kidneys, liver, eyes, and intestines histopathology findings. (A) Severe granulomatous inflammation (black arrow) with bacterial colonies (yellow circle) and mild melanomacrophage center (MMC) accumulation (blue arrow) in the kidneys (Bar = 20 µm). (B) Mild granulomatous inflammation (black arrow), mild melanomacrophage center (MMC) accumulation (blue arrow), moderate inflammatory infiltration (yellow arrow), severe lipid degeneration (purple arrow), moderate hydropic degeneration (green arrow), and mild connective tissue degeneration (red arrow) in the liver (Bar = 100 µm). (C) Moderate inflammatory cell proliferation (yellow arrow) and mild granulomatous inflammation (red arrow) with mild melanomacrophage center (MMC) accumulation (blue arrow) in the eyes (Bar = 20 µm). (D) Mild inflammatory cell proliferation (yellow arrow) and mild melanomacrophage center (MMC) accumulation (blue arrow) in the intestines (Bar = 20 µm).

Figure. 4. Bacterial isolation from blood and ascitic fluid of Oscar fish (<em>Astronotus</em><strong> </strong><em>ocellatus</em>) with panophthalmitis and ascites. (A) Blood sample on BHIA + CO medium showing negative growth of <em>Streptococcus</em> sp. (B) Ascitic fluid on BHIA + CO medium showing positive growth of <em>Streptococcus</em> sp. (C) Blood sample on <em>Aeromonas</em> medium showing negative growth of <em>Aeromonas</em> sp. (D) Ascitic fluid on <em>Aeromonas</em> medium showing positive growth of <em>Aeromonas</em> sp.

Table. III. Antimicrobial susceptibility of <em>Aeromonas</em> <em>hydrophila</em> and <em>Enterococcus</em> <em>faecalis</em> to tetracycline and enrofloxacin. Data were presented as Mean ± SD with duplo. (*) Due to the limited CLSI data available for enrofloxacin against <em>A</em>. <em>hydrophila</em> and <em>E.</em> <em>faecalis</em>, ciprofloxacin (5 μg) was used as a breakpoint, which belongs to the same group and mechanism of action, and has a closely similar chemical structure to enrofloxacin.

Discussion

This case underscores the clinical relevance of multifactorial disease interactions in ornamental fish, where parasitic infestation, compromised environmental conditions, and opportunistic bacterial pathogens act synergistically to exacerbate disease severity. It highlights the need for clinicians to adopt an integrated diagnostic and therapeutic approach that considers all contributing factors rather than addressing individual pathogens in isolation. The mild Argulus sp. infestation observed in the Oscar fish (Astronotus ocellatus) in this case represents one of the most common external parasitic challenges in freshwater ecosystems. These branchiuran crustaceans attach to the host’s body surface, penetrate epithelial tissues, and feed on body fluids while injecting digestive enzymes, leading to mechanical damage, skin irritation, haemorrhage, and facilitating secondary pathogen entry (Mikheev et al., 2015). Control in this case was achieved using diflubenzuron (Dimilin®, Chemtura Corporation, Germany), a chitin synthesis inhibitor that disrupts arthropod molting, thereby interrupting the parasite’s life cycle. The application of three treatment cycles (August 11th, August 18th, and September 10th, 2024) with pond draining between treatments was consistent with recommended eradication protocols, given that the Argulus life cycle can extend up to two months and includes an egg stage resistant to a single treatment (Noga, 2010; Wafer et al., 2015).

Although the initial infestation was classified as mild, environmental assessment revealed elevated un-ionized ammonia (NH₃) levels above optimal limits. Ammonia elevation is a well-documented environmental stressor that can disrupt osmotic homeostasis, damage gill tissues, and suppress non-specific immune responses, thereby increasing host vulnerability to opportunistic infections. Ammonia exposure in fish primarily induces toxicity through tissue bioaccumulation, subsequently altering haematological parameters, disrupting antioxidant homeostasis, and triggering oxidative stress (Xu et al., 2021). The findings of Reda et al. (2024) also support that fish infected with bacteria and simultaneously co-exposed to high levels of un-ionized ammonia (NH₃) experience increased stress, along with alterations in the structure and function of the liver and kidneys. The development of panexophthalmia and ascites following the second antiparasitic treatment suggested the onset of secondary bacterial infection. Aeromonas hydrophila is an opportunistic pathogen with multiple virulence factors—including haemolysin, aerolysin, and proteases—that cause tissue destruction, septicaemia, and mortality in freshwater fish (Semwal et al., 2023; Leanovich et al., 2025). Meanwhile, Enterococcus faecalis, although generally considered of low pathogenicity in fish, can cause disease under conditions of host stress or tissue injury, particularly in co-infection scenarios.

Haematological findings in one affected fish revealed microcytic normochromic anemia with decreased erythrocyte count, haemoglobin, haematocrit, and MCV, but normal MCHC, accompanied by leukocytosis dominated by neutrophils/heterophils and monocytes, and a relative lymphopenia. This observation is fairly consistent with earlier reports indicating that fish exposed simultaneously to bacterial infection and ammonia stress exhibit decreased erythrocyte count, haemoglobin concentration, haematocrit, leukocyte count, and antioxidant activity (Reda et al., 2024). In the current study, the marked increase in leukocytes, particularly phagocytic cell types, is presumed to be a compensatory response to the dual co-infection, whereby the host attempts to eliminate the invading pathogens. This interpretation is further reinforced by the systemic nature of the histopathological findings. Histopathology demonstrated extensive organ damage, including severe secondary lamellar fusion in the gills, inflammatory cell infiltration and granulomatous lesions in the heart, kidneys, liver, eyes, and intestines, as well as hepatic lipid and hydropic degeneration. This case was further exacerbated by the presence of mild Monogenean and Trichodina sp. findings on histopathological examination of the gills. These lesions are comparable to those reported in Aeromonas spp. and E. faecalis co-infection in Nile tilapia and African catfish, they are prominent in the liver and kidneys (Abdelsalam et al., 2021). It further underscores the rarity and clinical importance of E. faecalis co-infection in ornamental fish, reinforcing the need to recognize and manage such multifactorial disease interactions through a holistic, integrated approach. This case study explained how environmental stress (ammonia elevation) and ectoparasite infestation can synergistically predispose ornamental fish to severe opportunistic bacterial systemic infection.

The presence of infestations by three types of ectoparasites, even at mild levels, can compromise the first barrier in the fish immunity—the skin—by inducing microlesions. Although such minor skin damage would typically heal rapidly under normal conditions, the situation differs if factors that impede the wound-healing process are present. The wound-healing process in fish follows a specific sequence: regeneration of epithelial cell layers, initiation of inflammation marked by leukocyte migration to the wound site, cellular proliferation, and finally, granulation and tissue remodeling that restores skin integrity (Richardson et al., 2013; Ayisi et al., 2025). According to Sveen et al. (2019), the wound-healing process in fish generally requires between 4 and 21 days to reach the cellular proliferation phase. Virtanen et al. (2023) further noted that if the underlying muscle tissue is also damaged, the final remodeling phase may extend over several months, and scale regeneration may take more than a year.

The inflammatory phase, the second step of the wound-healing process, is closely linked to the immune competence and physiological condition of the fish. Elevated levels of un-ionized ammonia (NH₃) that induce prolonged environmental stress can significantly impair immune function. Virtanen et al. (2023) also demonstrated that chronic stress can delay wound healing and exacerbate inflammation by disrupting the body’s stress-response mechanisms. Consequently, delayed wound closure increases the susceptibility of fish to opportunistic bacterial co-infection that may invade through open lesions. The resulting immunosuppressed state further hinders effective bacterial clearance from the bloodstream, allowing pathogens to proliferate and potentially progress to systemic infection. In this condition, antibiotics are needed and must be immediately included in the treatment regimen for managing this case.

The therapeutic approach for bacterial infection in this case combined intramuscular administration of enrofloxacin at 10 mg/kg body weight for seven days with topical ocular management using a water bandage. Enrofloxacin, a fluoroquinolone antibiotic, has a broad spectrum of activity against Gram-negative and Gram-positive bacteria, including A. hydrophila and E. faecalis, and is recommended for the treatment of bacterial diseases in ornamental aquatic species, although its use must comply with veterinary pharmaceutical regulations and antimicrobial resistance considerations (Reimlinger et al., 1990). This consideration is further supported by the antimicrobial susceptibility profiles, indicating that the bacterial isolates obtained in the current study remained susceptible to enrofloxacin against A. hydrophila but intermediate against E. faecalis, thereby reinforcing its potential therapeutic applicability under such conditions. Enrofloxacin was selected as the antibiotic in this case due to the availability of its injectable formulation, which allowed for individualized administration exclusively to the diseased fish. Although its antimicrobial susceptibility profile against E. faecalis was classified as intermediate, this antibiotic could still be employed with careful clinical consideration through dose and frequency adjustment, individualized therapeutic approaches, and direct intramuscular administration to the affected individuals. The water bandage provided mechanical protection, maintained ocular surface hydration, and supported epithelial regeneration in eyes with lesions.

Treatment outcomes were favorable, with two fish achieving complete recovery and the remaining quarantined fish showing no residual clinical signs. This case underscores that integrated management—including parasite eradication, water quality improvement, targeted antimicrobial therapy, and localized lesion care—can yield positive prognoses even in complex cases involving co-infection. It further highlights that even mild Argulus sp., Monogenean, and Tricodina sp. infestations may serve as gateways for severe systemic infections when compounded by environmental stress such as high levels of un-ionized ammonia (NH₃), emphasizing the importance of continuous water quality monitoring and early parasite detection in ornamental tropical aquatic systems.

Conclusion

This case underscores the necessity of an integrated management approach in ornamental fish health, combining effective parasite control, maintenance of optimal water quality, targeted antimicrobial therapy, and supportive care. Such a comprehensive strategy is essential to prevent and manage complex disease interactions that may arise from seemingly minor parasitic infestations under suboptimal environmental conditions.

Ethical approval

This case report did not require ethical approval, as it was based on naturally occurring cases and involved no experimental interventions.

Conflict of interest

All authors declare no conflict of interest during the conduct of this case report.

Author Contributions

Methodology: R.R., K.A.N.; Formal analysis: R.R., S.A.W., C.R.P, P.P.S., R.N.F., M.R., G.K., L.N., L.A.; Investigation: R.R., K.A.N., S.A.W., C.R.P; Writing original draft preparation: R.R.; Writing, review and editing: R.R., K.A.N., I.K.; Visualization: R.R., S.A.W., C.R.P., R.N.F., M.R., G.K., L.N., L.A.

All authors have read and agreed to the published version of the manuscript.

Data availability

All data analyzed in this case report were included in the main text and available from the corresponding author.

Fundings

The authors received no funding from any party for this case report.

References

Abdelsalam, M., Ewiss, M.A.Z., Khalefa, H.S., Mahmoud, M.A., Elgendy, M.Y., & Abdel-Moneam, D.A. (2021). Coinfections of Aeromonas spp., Enterococcus faecalis, and Vibrio alginolyticus isolated from farmed Nile tilapia and African catfish in Egypt, with an emphasis on poor water quality. Microbial Pathogenesis, 160, 105213.

Ayisi, C.L., Osei, S.A., Mensah, G.D., & Asemah, C. (2025). Understanding the application of plant extracts in wound healing of fish: a comprehensive review. Aquaculture, Fish and Fisheries, 5(2), e70057.

CLSI. (2015). Methods for Antimicrobial Dilution and Disk Susceptibility Testing of Infrequently Isolated or Fastidious Bacteria, CLSI guideline M45 (3rd ed.). Clinical and Laboratory Standards Institute.

CLSI. (2020). Performance standards for antimicrobial susceptibility testing, CLSI supplement M100 (30th ed.). Clinical and Laboratory Standards Institute.

Ehsan, R., Alam, M., Akter, T., Paul, S. I., Foysal, M. J., Gupta, D. R., Islam, T., & Rahman, M.M. (2021). Enterococcus faecalis involved in streptococcosis like infection in silver barb (Barbonymus gonionotus). Aquaculture Reports, 21, 100868.

Flores, A.G., Huanuiri, K., Vasquez, J., Guerra, F., & Fernández-Méndez, C. (2020). Hematological characterization of Astronotus ocellatus (Cichliformes: Cichlidae): species of economic importance in the Peruvian Amazonia. Revista de Investigaciones Veterinarias del Perú, 31(2), e17827.

Kasper, S., Adeyemo, O.K., Becker, T., Scarfe, D., & Tepper, J. (2022). Aquatic environment and life support systems (1st ed.). In: Fundamentals of Aquatic Veterinary Medicine. Urdes, L., Walster, C., & Tepper, J., (Eds.). Wiley & Sons Ltd.

Leanovich, S., Maksimyuk, Y., Dziahtsiaryk, S., & Sidarenka A. (2025). Diversity, virulence factors and antibiotic resistance profiles of Aeromonas species isolated from farmed fish in Belarus. The Microbe, 7, 100397.

Lin, W., Luo, H., Wu, J., Hung, T-C., Cao, B., Liu, X., Yang, J., & Yang, P. (2022). A Review of the emerging risks of acute ammonia nitrogen toxicity to aquatic decapod crustaceans. Water, 15, 27.

Mikheev, V.N., Pasternak, A.F., & Valtonen, E.T. (2015). Behavioural adaptations of argulid parasites (Crustacea: Branchiura) to major challenges in their life cycle. Parasites & Vectors, 8, 394.

Muslimin, B., Nafiqoh, N., Wibowo, A., Zamroni, M., Novita, H., Priyadi, A., Chadijah, A., Nur, B., Dwirastina, M., Irawan, D., Yonarta, D., Apriyanti, D., Budiantoro, H., Indahsari, S.R., Firmansyah, A., Lestari, I., Yusanti, I.A., & Nugraha, S. (2025). First Report on Argulus and Aeromonas hydrophila Infestations affecting the cultivation of the endangered fish species, Chitala lopis. International Journal of Veterinary Science, 14(4), 713-718.

Noga, E.J. (2010). Fish disease: diagnosis and treatment (2nd ed.). Wiley-Blackwell.

Pollard, D.R., Johnson, W.M., Lior, H., Tyler, S.D., & Rozee, K.R. (1990). Detection of the Aerolysin gene in Aeromonas hydrophila by the polymerase chain reaction. Journal of Clinical Microbiology, 28(11), 2477-2481.

Rahman, M., Rahman, M.M., Deb, S.C., Alam, M.S., Alam, M.J., & Islam, M.T. (2017). Molecular identification of multiple antibiotic resistant fish pathogenic Enterococcus faecalis and their control by medicinal herbs. Scientific Reports, 7(1), 3747.

Reda, R.M., El-Murr, A., Abdel-Basset, N.A., Metwally, M.M.M., & Ibrahim, R.E. (2024). Implications of ammonia stress for the pathogenicity of Shewanella spp. in Oreochromis niloticus: effects on hematological, biochemical, immunological, and histopathological parameters. BMC Veterinary Research, 20(1), 324.

Řehulka, J. (2002). Aeromonas causes severe skin lesions in rainbow trout (Oncorhynchus mykiss): clinical pathology, haematology, and biochemistry. Acta Veterinaria Brno, 71, 351–360.

Reimlinger, M., Hoffmann, R., Pfeil-Putzien, C., & Scheinert, P. (1990). Enrofloxacin, ein neues Therapeutikum für Zierfische [Enrofloxacin, a new drug for ornamental fish]. Tierärztliche Praxis (Veterinary Practice), 18(6), 653–657.

Richardson, R., Slanchev, K., Kraus, C., Knyphausen, P., Eming, S., & Hammerschmidt, M. (2013). Adult zebrafish as a model system for cutaneous wound-healing research. Journal of Investigative Dermatology, 133(6), 1655–1665.

Rizkiantino, R., Pasaribu, F.H., Soejoedono, R.D., Purnama, S., Wibowo, D.B., & Wibawan, I.W.T. (2021). Experimental infection of Enterococcus faecalis in red tilapia (Oreochromis hybrid) revealed low pathogenicity to cause streptococcosis. Open Veterinary Journal, 11(2), 309–318.

Rizkiantino, R., Pasaribu, F.H., Soejoedono, R.D., Arnafia, W., Reisinta, D., Yadiansyah, R.I., Halalludin, B., Ardini, Y., Khanaria, G., & Wibawan, I.W.T. (2023). Chicken Enterococcus faecalis-induced immunoglobulin Y as a prophylactic and therapeutic agent against streptococcosis in red tilapia (Oreochromis hybrid). Veterinary World, 16(1), 175–186.

Semwal, A, Kumar, A., & Kumar, N. (2023). A review on pathogenicity of Aeromonas hydrophila and their mitigation through medicinal herbs in aquaculture. Heliyon, 9(3), e14088.

Sveen, L.R., Timmerhaus, G., Krasnov, A., Takle, H., Handeland, S., & Ytteborg, E. (2019). Wound healing in post-smolt Atlantic salmon (Salmo salar L.). Scientific Reports, 9, 3565.

Tokşen, E. (2006). Argulus foliacesus (Crustacea: Branchiura) infestation on Oscar, Astronotus ocellatus (Cuvier, 1829) and its treatment. Journal of Fisheries & Aquatic Sciences, 23(1-2), 177–179.

Virtanen, M.I., Brinchmann, M.F., Patel, D.M., & Iversen, M.H. (2023). Chronic stress negatively impacts wound healing, welfare, and stress regulation in internally tagged Atlantic salmon (Salmo salar). Frontiers in Physiology, 14, 1147235.

Wafer, L.N., Whitney, J.C., & Jensen, V.B. (2015). Fish lice (Argulus japonicus) in goldfish (Carassius auratus). Comparative Medicine, 65(2), 93–95.

Xu, Z., Cao, J., Qin, X., Qiu, W., Mei, J., & Xie, J. (2021). Toxic effects on bioaccumulation, hematological parameters, oxidative stress, immune responses and tissue structure in fish exposed to ammonia nitrogen: a review. Animals (Basel), 11(11), 3304.

Downloads

Published

2026-01-27

How to Cite

Rizkiantino, R., Adhitya Nugraha, K., Andrea Wijaya, S., Rizkia Putri, C., Krissanti, I., Purnama Sari, P., Nur Fitriana, R., Rahayu, M., Khanaria, G., Nasiroh, L., & Azzahra, L. (2026). Occurrence of Argulus sp. Infestation with Dual Bacterial Co-infection Caused by Aeromonas hydrophila and Enterococcus faecalis in Oscar Fish (Astronotus ocellatus): A Case Report. Veterinaria Italiana, 62(1). https://doi.org/10.12834/VetIt.3875.37825.3

Issue

Topics*

Case report