Assessing Cadmium Levels in Horses Imported from the European Union and Slaughtered in Italy

Authors

  • Michela Maria Dimuccio Department of Veterinary Medicine, University of Bari Aldo Moro, Strada Prov. per Casamassima, km 3, 70010 Valenzano, Italy
  • Edmondo Ceci Department of Veterinary Medicine, University of Bari Aldo Moro, Strada Prov. per Casamassima, km 3, 70010 Valenzano, Italy
  • Elisabetta Bonerba Department of Veterinary Medicine, University of Bari Aldo Moro, Strada Prov. per Casamassima, km 3, 70010 Valenzano, Italy
  • Francesco Emanuele Celentano Department of Veterinary Medicine, University of Bari Aldo Moro, Strada Prov. per Casamassima, km 3, 70010 Valenzano, Italy
  • Pasquale De Marzo Department of Veterinary Medicine, University of Bari Aldo Moro, Strada Prov. per Casamassima, km 3, 70010 Valenzano, Italy
  • Rosa Leone Department of Veterinary Medicine, University of Bari Aldo Moro, Strada Prov. per Casamassima, km 3, 70010 Valenzano, Italy
  • Stefano Sportelli Department of Veterinary Medicine, University of Bari Aldo Moro, Strada Prov. per Casamassima, km 3, 70010 Valenzano, Italy
  • Giancarlo Bozzo Department of Veterinary Medicine, University of Bari Aldo Moro, Strada Prov. per Casamassima, km 3, 70010 Valenzano, Italy

DOI:

https://doi.org/10.12834/VetIt.3692.31893.2

Keywords:

Slaughterhouse, Horse, Cadmium, Kidney, Liver

Abstract

The aim of this study was to evaluate cadmium (Cd) concentrations in horses imported from various European Union countries and slaughtered in Italy. In addition, we assessed the potential correlation between Cd levels in tissues and organs, and Cd-related gross and histological lesions. The animals were divided into six groups based on age and geographical origin.

Among the 430 animals examined, gross renal lesions were observed in only two kidney samples from Polish horses, which also had the highest Cd concentrations: 9.1 mg/kg w/w and 8.23 mg/kg w/w, respectively. Further histological alterations were identified in the same group, in 19 kidney samples with Cd concentrations exceeding 5.72 mg/kg w/w.

These findings raise important food safety concerns, as Regulation (EC) No. 1881/2006 and its subsequent amendments establish strict maximum limits for Cd in horse meat and offal. Considering the EU precautionary principle, the results of this study underscore that only the integration of chemical analyses with histological examinations can provide a comprehensive assessment of the risks, ensuring compliance with EU food safety legislation and international trade standards.

Introduction

The European Union (EU) legal framework provides the precautionary principle, as established in Article 7 of Regulation (EC) No. 178/2002, and applies it to protect public health in cases of scientific uncertainty regarding potential risks. In this context, the presence of heavy metals in food—which refers to metallic chemicals with high density and toxicity at low concentrations—has gained increasing relevance (Dhaliwal et al., 2020; The European Commission, 2002). Heavy metals are classified as either essential or non-essential. Essential metals, such as manganese, iron, nickel, and zinc, are necessary for growth, development, and other physiological processes (Tanaka et al., 2018). In contrast, non-essential metals (e.g., cadmium, arsenic, lead, mercury) interfere with the physiological functions of living organisms (Ali and Khan, 2018; Sandeep et al., 2019).

Cadmium (Cd) is mainly used to manufacture nickel-Cd batteries, pigments, coatings for steel and non-ferrous metals, and various special alloys (Wang et al., 2023). Although Cd use has supported industrial development, it has also led to dangerous environmental pollution. The highest levels of Cd pollution are found in areas where sulphur-Cd ores are mined. The metal is transported and stored through highly mobile pathways such as water, air, and the food chain (Li et al., 2021; Wang et al., 2019). During the mining and utilization of metal ores, Cd enters the human body through the food chain, leading to serious diseases. It is estimated that more than 25,000 tonnes of Cd are released into the environment annually (Fatima et al., 2019).

The main causes of soil contamination by Cd are related to discharges from non-ferrous metal production, fossil fuel combustion emissions, atmospheric deposition, wastewater irrigation, agricultural residues, and fertilizer application (Carne et al., 2021). Cd levels in air, water, and soil have been increasing in recent years. Compared to other heavy metals, Cd and its compounds are relatively water-soluble. Therefore, they are more mobile in environments such as soil, more bioavailable, and tend to bioaccumulate. In terms of its potential adverse effects on animal and human health, Cd is a highly toxic heavy metal (Song et al., 2023; Irfan et al., 2023). The widespread presence of Cd in the environment is significantly enhanced by human activity. It is commonly introduced into the food chain and is found in variable concentrations in foods of both plant and animal origin (Li et al., 2021; Wang et al., 2019). Extensive research has been conducted on the health and environmental effects of chronic Cd exposure due to its cumulative properties in human and animal tissues. Special attention has been given to the study and prevention of food contamination (Gill, 2005; Jomova et al., 2025).

Cd is toxic even at very low exposure levels and has both acute and chronic effects on health and the environment. Chronic Cd exposure causes a variety of health issues in both humans and animals, particularly affecting the kidneys (Nicholson et al., 1983; Groten et al., 1994; Liu et al., 1998a; Jomova et al., 2025). Cd is a highly poisonous and non-degradable heavy metal that enters the body through the food chain and damages various organs, including the kidneys, liver, bones, nervous system, and testes (Carne et al., 2021; Wang et al., 2023). Cd toxicity is second only to that of aflatoxin and arsenic, with a half-life of 10–40 years in humans (Permyakov, 2021). The International Agency for Research on Cancer (IARC) has classified Cd as a carcinogen capable of causing lung and prostate cancer in humans and experimental animals. Long-term exposure can also cause disorders of the bones, nervous system, reproductive system, and other organs (Niture et al., 2021).

The kidney has long been considered the critical organ for Cd toxicity following long-term exposure in humans and experimental animals. Cd-induced kidney injury is primarily characterized by proximal tubular dysfunction, which is believed to be irreversible in advanced stages (Hac et al., 1998; Rafati Rahimzadeh et al., 2017). Other common effects of Cd exposure include: (i) disturbances in calcium metabolism, (ii) hypercalciuria, and (iii) the formation of kidney stones. High levels of exposure can also lead to lung and prostate cancer. Cd is rapidly absorbed and distributed in the body, particularly in the kidneys, liver, and spleen. These tissues show higher Cd concentrations in equines than in other animal species, suggesting that horses have a different susceptibility to Cd accumulation (Baldini et al., 2000; Beldoménico et al., 2001).

Most Cd in the body is bound to a small, cysteine-rich, metal-binding protein called metallothionein (MT). MT was first discovered in 1957 as a Cd-binding protein in horse kidneys (Margoshes and Vallee, 1957; Klaassen et al., 2009), and numerous studies have since investigated its role in Cd toxicology. MT is easily induced by Cd and various other metal ions, as well as by other stimuli (Irfan et al., 2023). A significant portion of renal Cd is found as a metal-protein complex. For this reason, the kidney—being the organ that concentrates the greatest amount of Cd—has been extensively studied in toxicology (Beldoménico et al., 2001).

Horses appear to have a greater propensity to accumulate Cd than other grazing animals (Salisbury et al., 1991). Moreover, at the time of slaughter, horses are often over 5 years old, whereas other meat animals are usually less than 2 years old. Since Cd accumulates with age, the Cd content in horse tissues at slaughter is often significantly higher than in other food animals (Antoniou et al., 1989).

Although legal provisions have evolved over time since Commission Regulation (EC) No. 1881/2006—especially with regard to plant-based products (first with Commission Regulation (EU) No. 488/2014, then Regulation (EU) No. 2021/1323, and most recently Regulation (EU) No. 2023/915)—no major changes have been made regarding foods of animal origin. Specifically, the regulation sets maximum Cd levels in horse meat excluding offal (0.20 mg/kg wet weight), in the liver (0.50 mg/kg wet weight), and in the kidney (1.0 mg/kg wet weight) (The European Commission, 2006; 2014; 2021; 2023).

Due to the high toxicity of Cd, horses slaughtered in Italy are tested for heavy metals under the National Residue Plan (PNR). Given the frequent detection of high Cd levels in horsemeat, the sale of horse liver and kidneys has been completely banned in Italy, regardless of the animal's age (Ministry of Health, 2005).

At the international level, the World Trade Organization (WTO) regulates food trade through the Sanitary and Phytosanitary Measures Agreement (SPS Agreement), which allows member States to impose restrictions on the marketing of food contaminated with heavy metals such as cadmium (WTO, 1994). However, such restrictions must be scientifically justified and consistent with the Codex Alimentarius guidelines developed by the Food and Agriculture Organization (FAO) and the World Health Organization (WHO) (FAO and WHO, 2023). Therefore, Italy’s ban on the sale of horse liver and kidneys could potentially be challenged under WTO rules as a non-tariff trade barrier if not supported by adequate scientific data.

Regarding the non-trace element profile of horse meat, bibliographical data are scarce (Miedico et al., 2017). Most characterizations of non-trace elements in meat have focused on beef, pork, and chicken—the most widely consumed meats worldwide.

In recent years, horse meat consumption has gradually increased, especially in Western European countries. This type of meat is highly valued in many regions. Regulations on horse meat vary significantly across EU countries and globally. For example, France and Belgium are among the leading consumers in Europe (Humane World for Animals, 2012), while in Germany and the UK, consumption is limited due to cultural and legislative reasons. Outside the EU, the United States has banned the slaughter of horses for human consumption since 2007, although imports are still allowed (Whiting, 2007). These regulatory differences affect trade and can lead to international disputes regarding food safety standards, particularly under WTO and EU rules.

In Italy, the regions with the highest numbers of horses slaughtered and consumed are Apulia with 15,591 (35% of the total), Veneto with 9,439 (20%), and Emilia-Romagna with 6,215 (13%). Much lower numbers are recorded in other regions of the country (Equestrian Insights, 2020).

In this study, we evaluated Cd concentrations in horses imported from various EU countries and slaughtered in Italy. We also aimed to assess whether there is a correlation between Cd levels in tissues and organs and the presence of Cd-related gross and histological lesions.

Materials and methods

Samples

In 2024, Cd concentration was measured in muscle (longissimus dorsi), liver, and kidney in legally slaughtered horses. The 430 horses originated from different geographical areas of Europe: (i) 160 animals from Poland, (ii) 130 from Spain, and (iii) 140 from Italy.

Subsequently, each experimental group was divided by age into two sub-groups (over 24 months – up to a maximum of 60 months; under 24 months – down to a minimum of 12 months), thus forming the following six groups: 80 horses from Poland aged > 24 months (group 1); 80 from Poland aged < 24 months (group 2); 65 from Spain aged > 24 months (group 3); 65 from Spain aged < 24 months (group 4); 70 from Italy aged > 24 months (group 5); and 70 from Italy aged < 24 months (group 6).

Samples of kidney, liver, and muscle were collected after post-mortem examination performed by the veterinary inspector. At the slaughterhouse, gross lesions were recorded for all animals in the study. The samples were then divided into two aliquots: (i) one for chemical analysis to be carried out on kidney, liver, and muscle, and (ii) the other for histological investigations to be conducted exclusively on kidney and liver.

Chemical testing

Sampling

For each animal, 5 g aliquots of kidney, liver, and muscle were analysed, respectively. After weighing, each sample was placed into a 25 ml glass digestion vessel, and 8 ml of concentrated nitric acid along with 3 ml of hydrogen peroxide (30%) were added. The digestion of the samples was performed at 120 °C for 240 minutes using a DK6 Heating Digester (Velp Scientifica). After cooling, the final volume of the solution was adjusted to 25 ml with distilled water.

Reagents

High-quality water, obtained using a Milli-Q system (Millipore), was used exclusively throughout the analysis. Cadmium (Cd) standard solutions (1000 mg/ml) were purchased from Panreac (Spain) and diluted as required to prepare working standards. Concentrated nitric acid (65% w/v; Merck), hydrogen peroxide (30% w/v; Fluka), and ammonium dihydrogen phosphate (Fluka) were also used.

Instrument

A Solar M Series-Unicam 939QZ atomic absorption spectrometer (Cambridge, UK) equipped with a GF90 electrothermal atomizer was used for the analysis. Pyrolytic graphite platforms were obtained from ATI-Unicam. The instrument is equipped with both a deuterium-arc background corrector and a Zeeman correction device, allowing for comparison between the two correction modes. Argon was used as the inert gas. Background-corrected integrated absorbance was used as the analytical signal in all cases.

Measurements were performed at a wavelength of 228.8 nm for Cd, using hollow cathode lamps operated at 7 mA. The graphite furnace temperature program for Cd determination in meat samples by electrothermal atomic absorption spectrometry (ET-AAS), following sample digestion, was as follows:

Drying 1: 70 °C; ramp: 10 °C/s; hold: 20 s

Drying 2: 100 °C; ramp: 5 °C/s; hold: 60 s

Pyrolysis: 900 °C; ramp: 100 °C/s; hold: 35 s

Atomization: 2000 °C; ramp: full power; hold: 4 s

Cleaning: 2400 °C; ramp: 1000 °C/s; hold: 4 s

Argon purge gas flow rate was maintained at 2 L/min for all steps, except during atomization, when the gas flow was interrupted.

To minimize the risk of Cd contamination, the use of glassware was reduced to a minimum. Polypropylene vessels, commonly used for clinical sample collection, were used to prepare and store solutions or suspensions. Pipette tips were also made of polypropylene. All glassware and plasticware were washed with nitric acid and rinsed with ultrapure water.

An external calibration curve was constructed for Cd determination. Working standards were prepared by serial dilution of stock solutions in 0.014 mol/L nitric acid.

The limit of detection (LOD) was calculated as three times the standard deviation (SD) of the mean result obtained from a large number of blanks (n ≥ 20).The limit of quantification (LOQ) was expressed as twice the LOD (i.e., 6 SD). The LOQ for cadmium was estimated to be 0.005 mg Cd/kg dry weight.

Precision (i.e., internal reproducibility), measured as residual standard deviation (RSDr in %), was calculated to be between 6% and 10% for Cd (n = 30).The analytical procedure was validated using certified reference material (BCR 668). Each sample was analysed in duplicate, and the analytical error did not exceed 7%.

Samples for histological testing

Samples of kidney and liver collected for histological examination were fixed in 10% neutral buffered formalin (NBF). After 48 hours of fixation, the NBF was replaced and the tissues were left for additional time to ensure complete fixation. The fixed tissue samples were then processed using a standard paraffin embedding procedure (Thakor et al., 2023). Paraffin-embedded tissue blocks were sectioned at a thickness of 4–5 μm using a semi-automatic microtome (Leica RM2125RT), and stained with routine hematoxylin and eosin (H&E). Finally, the stained sections were examined under an optical microscope (Eclipse 50i – Nikon Instruments).

Statistical analysis

Data collected were subjected to analysis of variance (ANOVA) using the General Linear Model (GLM) procedure in SAS software (SAS, 1998), according to the following model:yijk = μ + Gi + Aj + G×Ak + εijk

In this model:

yijk represents cadmium levels in the different tissues considered (dependent variable);

μ is the overall mean;

G is the effect of the i-th geographical area (i = 1, 2, 3);

A is the effect of the j-th age at slaughter (j = 1, 2);

G×A is the interaction effect between geographical area and age at slaughter (k = 1,...,6);

εijk is the random error term.

A post hoc comparison of means was carried out using the Bonferroni test. Results were expressed as least square means ± standard error of the mean (SEM). Statistical significance was set at P < 0.05.

In addition, Pearson’s correlation coefficients were calculated among cadmium concentrations in kidney, liver, and muscle using the SAS statistical software.

Results

The highest proportion of samples exceeding the maximum levels established by Commission Regulation (EU) No. 488/2014 was observed in animals over 24 months of age bred in Poland (group 1), with exceedance rates of 88.75%, 83.75%, and 55% for kidney, liver, and muscle, respectively. In contrast, the corresponding values for animals under 24 months of age from Poland (group 2) were markedly lower, at 32.5% for kidney, 40% for liver, and 7.5% for muscle. By comparison, cadmium levels in samples from animals bred in Italy and Spain were significantly lower than those observed in Polish animals (Table 1).

Sample Group 1Poland> 24 months Group 2Poland< 24 months Group 3Spain> 24 months Group 4Spain< 24 months Group 5Italy> 24 months Group 6Italy< 24 months
Kidney 88.75 32.5 60 20 58 16.6
Liver 83.75 40 24 20 24 13.3
Muscle 55 7.5 0 0 0 0
Table. I. Percentages of samples exceeding the maximum level imposed by Commission Regulation 488/2014.

Out of the 430 animals included in this study, gross lesions were observed exclusively in two kidney samples from group 1 (animals 4 and 75), which also showed the highest cadmium concentrations: 9.1 mg/kg w/w and 8.23 mg/kg w/w, respectively. Notably, these two samples were obtained from animals aged 57 and 60 months, respectively.

The surface of the affected kidneys appeared shiny and exhibited a range of colours, including red and yellow streaks. Congestion and haemorrhages were evident, along with marked enlargement of the renal pelvis, cortical hyperaemia, and radially arranged red streaks, suggestive of cortical infiltration.

Statistical analysis

Table 2 reports cadmium (Cd) concentrations in the kidney, liver, and muscle of horses bred in Spain, Italy, and Poland, slaughtered either before or after 24 months of age. In all geographical areas considered, age at slaughter significantly influenced Cd concentrations, which were consistently higher in older animals across all examined organs (P < 0.001). Specifically, Cd levels approximately tripled in the kidney and muscle, and doubled in the liver, in animals slaughtered after 24 months of age.

Table. II. Cadmium (Cd) concentration (mg/kg) in kidney, liver, and muscle of horses bred in Poland, Italy, and Spain, slaughtered before and after 24 months of age. Values are expressed as least square means ± standard errors.<strong> </strong>Significance levels: ***P < 0.001, **P < 0.01, *P < 0.05. Different letters in the same row indicate statistically significant differences (A, B: P < 0.01 for animals slaughtered after 24 months of age). Farming area was found to significantly affect Cd concentration (P < 0.001), particularly in older animals. Horses bred in Poland showed significantly higher Cd levels in kidney, liver, and muscle compared to those bred in Italy and Spain (P < 0.001).

Pearson’s correlation analysis revealed a strong interrelationship between the tissues in terms of Cd concentration (Table 3). The correlation coefficients were high and statistically significant (P < 0.001), indicating that increased Cd levels in one of the three tissues were consistently associated with similar increases in the other two.

Table. III. Pearson correlations of Cd concentration between different tissues and slaughtered age considered in horses.

Histological findings

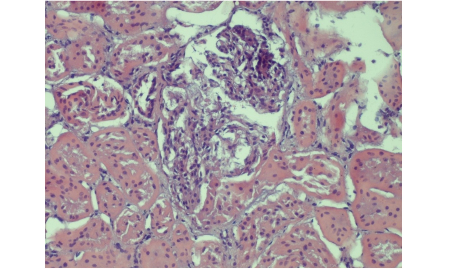
Histological lesions were observed in 19 kidney samples, all exclusively from group 1, with cadmium concentrations > 5.72 mg/kg w/w and from animals aged between 50 and 60 months. These samples exhibited the presence of neutrophils within the glomerular tufts and varying degrees of mesangial cell proliferation. Features consistent with obstruction typical of acute nephritic syndrome—progressing toward chronicity—were also observed. The glomerular capillary lumens appeared reduced, thereby compromising glomerular filtration (Figure 1).

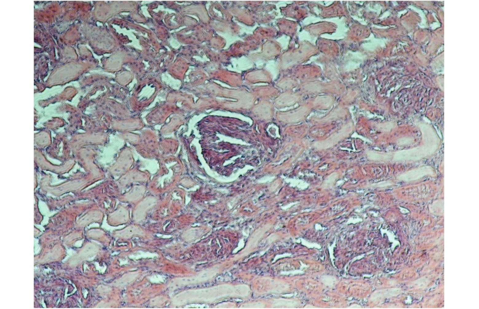
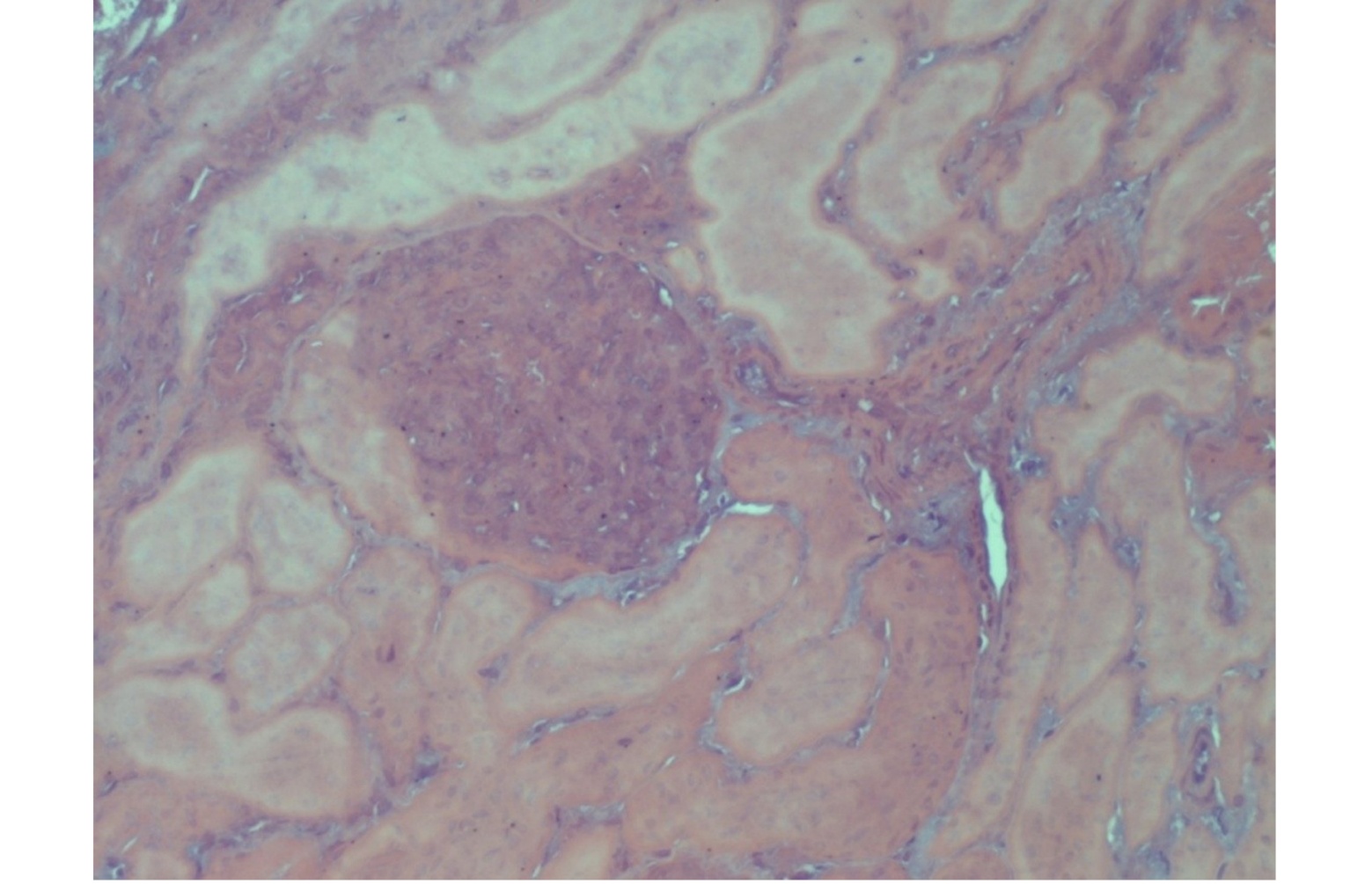
Furthermore, evaluation of the histological kidney sections revealed marked proliferation of Bowman’s capsule cells, localized to part of the capsule’s circumference, forming the characteristic crescent-shaped structures. Tubulonephrosis and glomerulopathy were also evident (Figure 2).The progressive proliferation of the crescent led to obliteration of the glomerular tuft, resulting in irreversible destruction of the glomerulus and subsequent nephron atrophy (Figure 3). Additionally, perivascular sclerosis was observed in small- and medium-calibre arterial vessels (Figure 4).

Figure. 1. Kidney: obstruction of glomerular capillary lumina. HE (Hematoxilin Eosin) x 40.

Figure. 2. Kidney: great proliferation of Bowman’s capsule cells. Tubulonephrosis and glomerulopathy HE (Hematoxilin Eosin) x 20.

Figure. 3. Kidney: nephron atrophy and progressive tubule interstitial glomerular-nephritis. HE (Hematoxilin Eosin) x 20.

Figure. 4. Kidney: perivascular sclerosis in the small and medium-calibre arterial vessels. HE (Hematoxilin Eosin) x 10.

Discussion and conclusions

The cadmium (Cd) contamination values detected in the kidney, liver, and muscle of the horses in this study were consistent with those reported by other authors for horses slaughtered in Italy. As previously described (Giofrè et al., 2000), a direct correlation was observed between age and Cd concentration in all examined tissues. Cd accumulation in animals over 24 months of age was approximately three times higher than in younger animals, particularly in the target organs.

Notably, marked Cd accumulation was detected in the liver, where the metal-ion–metallothionein (MT) complex, synthesized by hepatocytes, tends to accumulate. This complex represents the principal detoxification pathway, but the Cd–MT complex is eliminated slowly, resulting in gradual accumulation in target organs (Tamba et al., 2002).

Gross lesions in the kidneys included congestion, haemorrhages, significant enlargement of the renal pelvis, and cortical hyperaemia. Although not pathognomonic, these lesions are consistent with previous findings (Fowler et al., 1975; Elinder et al., 1981), which describe vascular alterations following Cd exposure.

As reported by Groten et al. (1994) and Liu et al. (1998a), Cd-related lesions are often detectable histologically but not macroscopically. Tubular degeneration, interstitial inflammation, apoptosis, and glomerular swelling have been described in individuals chronically exposed to Cd. Similarly, the histological findings in the present study were consistent with tubulointerstitial nephritis associated with progressive nephritic syndrome. These alterations were observed in animals aged 50 to 60 months, with Cd concentrations as low as 5.72 mg/kg w/w. These values are notably lower than those previously reported in the literature (>75 mg/kg w/w) as thresholds for morphological changes in equine kidneys (Elinder et al., 1981).

To mitigate health risks associated with Cd, a Provisional Tolerable Weekly Intake (PTWI) of 7 μg/kg body weight was established by the Joint FAO/WHO Expert Committee on Food Additives in 2004. In 2010, the 73rd JECFA revised this value and set a Provisional Tolerable Monthly Intake (PTMI) of 25 μg/kg body weight, taking into account the long biological half-life of Cd (Satarug et al., 2017). The relevance of these thresholds has been examined in several studies (Decastelli et al., 1991). However, they may be easily exceeded with the consumption of a single meal, especially when ingesting horse liver or kidney. While Cd levels in horse muscle typically remain below 0.2 mg/kg, concentrations up to 1.5 mg/kg have been reported. In contrast, mean and maximum Cd levels of 3 and 17 mg/kg, respectively, have been found in horse liver (Salmi and Hirn, 1981), and values above 20 mg/kg (with peaks >350 mg/kg) have been recorded in horse kidney (Decastelli et al., 1991). Therefore, unless the animals are young and known to have been minimally exposed to Cd, horse liver and kidney appear unsuitable for human consumption, despite their continued use in some countries, such as Japan.

In our study, a high percentage of samples exceeded the maximum tolerable levels established by the current regulation (The European Commission, 2023). In particular, the elevated Cd concentrations found in groups 1 and 2 support the continued ban on equine liver and kidney for human consumption, regardless of the animals’ age or geographical origin. These results align with the precautionary principle enshrined in Article 7 of Regulation (EC) No. 178/2002, which allows restrictive measures when scientific uncertainty exists regarding potential health risks. The European Food Safety Authority (EFSA) has repeatedly stressed the importance of monitoring heavy metals, particularly cadmium, in the food chain due to their cumulative toxic effects (The European Commission, 2002). Furthermore, Regulation (EU) 2017/625 on official controls mandates systematic inspections by Member States at slaughterhouses to identify and mitigate chemical risks before products enter the food market (The European Parliament and the Council of the European Union, 2017).

It is worth noting that, during slaughterhouse inspections, no pathognomonic lesions indicative of Cd accumulation were found in the liver or kidneys—except in two animals, which showed gross renal lesions and had Cd concentrations of 9.1 and 8.23 mg/kg, respectively. In such cases, a definitive diagnosis could only be confirmed through laboratory analysis.

Therefore, only the combination of chemical and histological analyses can provide a comprehensive assessment of the animal’s condition, allowing for correlation between renal damage and actual metal concentrations. This is of particular importance, as kidney damage caused by Cd is often irreversible in both animals and humans (Piscator, 1984).

Overall, the findings of this study—together with existing literature—highlight the critical importance of regular and systematic inspections of animals and their tissues and organs. This should be accompanied by rigorous monitoring of feed and feed ingredients, as well as environmental pollution assessments to which animals are exposed. Farm locations should comply with Environmental Impact Assessment (EIA) criteria (IAIA, 1999), as the quality of animal-derived food products is influenced by multiple factors throughout the production chain. Ensuring animal welfare from farm to slaughter is essential, and maintaining a healthy environment is a key prerequisite for high-quality livestock production.

To improve both food safety and environmental protection, stronger alignment is needed between EU food safety regulations and environmental policies. The European Green Deal and the Farm to Fork Strategy underscore the need to reduce chemical contaminants in food while addressing environmental sources of pollution (European Union, 2020). Strengthening EIAs for livestock farms and aligning food production policies with sustainability objectives will be essential for safeguarding public health and ensuring compliance with EU legislation over the long term.

Funding data

This research received no external funding.

Data Availability Statement

Data is contained within the article.

Competing interest statement

The authors declare that they have no known competing financial interests or personal relationships that could have appeared to influence the work reported in this paper.

Author Contributions

Conceptualization, M.M.D., E.C. and G.B.; methodology, M.M.D., E.C., E.B.; formal analysis, M.M.D., E.C.; data curation, E.C., S.S. and R.L.; writing-original draft preparation, M.M.D. G.B. and E.C.; writing-review and editing, M.M.D., E.C., F.E.C., P.D., E.B.; supervision, G.B. All authors have read and agreed to the published version of the manuscript.

References

Ali, H. and Khan, E. (2018) .Trophic transfer, bioaccumulation, and biomagnification of non-essential hazardous heavy metals and met alloids in food chains/webs—Concepts and implications for wildlife and human health. Human and Ecological Risk Assessment: An International Journal, 25,1353–1376. https://doi.org/10.1080/10807039.2018.1469398.

Antoniou, V.; Tsoukali-Papadopoulou, H.; Epivatianos, P.; Nathanael, B. (1989) Cadmium concentrations in beef consumable tissues in relation to age of animals and area of their breeding. Bull Environ Contam Toxicol. ,43(6), 915-9. doi: 10.1007/BF01702065.

Baldini, M.; Stacchini, P.; Cubadda, F.; Miniero, R.; Parodi, P.; Facelli, P. (2000). Cadmium in organs and tissues of horses slaughtered in Italy. Food Addit Contam., 17, 679-87. doi: 10.1080/02652030050083204.

Beldoménico, H.R.; Baroni, E.; Campagnoli, D.U.; Sigrist, M.E.; Rubio, M.; Boggio, J.C. (2001) Cadmium accumulation and distribution in slaughtered horse kidneys from the Argentine central region. Arch Environ Contam Toxicol., 41, 100-3. doi: 10.1007/s002440010225.

Carne, G.; Leconte, S.; Sirot, V.; Breysse, N.; Badot, P.M.; Bispo, A.; Deportes, I.Z.; Dumat, C.; Rivière, G.; Crépet, A. (2021). Mass balance approach to assess the impact of cadmium decrease in mineral phosphate fertilizers on health risk: The case-study of French agricultural soils. Sci Total Environ.,760, 143374. doi: 10.1016/j.scitotenv.2020.143374.

Decastelli, L.; Galeno, N.; Giaccone, V. (1991). Residui di sostanze inibenti e di cadmio in muscoli e reni de equini da macello. Industrie Alimentari, 30, 133-138.

Dhaliwal, S.S.; Singh J.; Taneja, P.K.; Mandal, A. (2020).Remediation tech niques for removal of heavy metals from the soil contaminated through different sources: a review. Environ Sci Pollut Res Int., 27, 1319-1333. doi: 10.1007/s11356-019-06967-1.

Elinder, C.G. ; Jonsson, L. ; Piscator, M.; Rahnster, B. (1981). Histopathological changes in relation to cadmium concentration in horse kidneys. Environ Res., 26, 1-21. doi: 10.1016/0013-9351(81)90179-1.

Equestrian Insights (2019). I numeri del consumo carne di cavallo in Italia nel 2019. Available online: https://www.equestrianinsights.it/i-numeri-del-consumo-di-carne-di-cavallo-in-italia-nel-2019/#.

European Union (2020). Farm to Fork strategy. For a fair, healthy and environmentally-friendly food system. Available on: https://food.ec.europa.eu/document/download/472acca8-7f7b-4171-98b0-ed76720d68d3_en?filename=f2f_action-plan_2020_strategy-info_en.pdf (accessed 29 January 2025).

FAO and WHO (2023). General Principles of Food Hygiene. Codex Alimentarius Code of Practice, No.CXC 1-1969. Codex Alimentarius Commission. Rome, Italy, 2023. https://doi.org/10.4060/cc6125en.

Fatima, G.; Raza, A.M.; Hadi, N.; Nigam, N., Mahdi, A.A.(2019). Cadmium in Human Diseases: It’s More than Just a Mere Metal. Ind J Clin Biochem, 34, 371–378. https://doi.org/10.1007/s12291-019-00839-8.

Fowler, B.A.; Jones, H.S.; Brown, H.W.; Haseman, J.K. (1975). The morphologic effects of chronic cadmium administration on the renal vasculature of rats given low and normal calcium diets. Toxicol Appl Pharmaco, 34, 233-52. doi: 10.1016/0041-008x(75)90028-9.

Gill, CO. (2005). Safety and storage stability of horse meat for human consumption. Meat Sci., 71, 506-513. doi: 10.1016/j.meatsci.2005.04.030.

Giofrè, F.; Saladino, A.; Caparello, G.; Marino, D.; Naccari, F. (2000). Livelli di cadmio in campioni di muscolo e fegato di cavalli allevati nella regione Calabria. Large Animals Review, 6 (2), 5-9.

Groten, J.P.; Koeman, J.H.; van Nesselrooij, J.H.; Luten, J.B.; Feutener-van Vlissingen, J.M.; Steinhuis, W.S.; van Bladeren, PJ. (1994).

Comparison of renal renal toxicity after long term oral administration of cadmium chloride and cadmium metallothionein in rats. Fundam Appl Toxicol., 23, 544-52. doi: 10.1006/faat.1994.1139.

Hać, E.; Krzyzanowski, M.; Krechniak, J. Cadmium content in human kidney and hair in the Gdansk region. Sci Total Environ. 1998, 224, 81-85. doi: 10.1016/s0048-9697(98)00322-2.

Humane World for Animals (2012). Horsemeat Consumption in Europe. Available on: https://www.humaneworld.org/en/news/horsemeat-consumption-europe (accessed on 28 january 2025).

IAIA (1999). Principles of Environmental Impact Assessment Best Practice. International Association of Impact Assessment and the Institute of Environmental Assessment (IAIA).

Irfan, M.; Liu, X.; Hussain, K.; Mushtaq, S.; Cabrera, J.; Zhang, P. (2023). The global research trend on cadmium in freshwater: a bibliometric review. Environ Sci Pollut Res Int., 30(28), 71585-71598. doi: 10.1007/s11356-021-13894-7.

Joint FAO/WHO Expert Committee on Food Additives, and World Health Organization (2004). Evaluation of Certain Food Additives and Contaminants: Sixty-first Report of the Joint FAO/WHO Expert Committee on Food Additives. Vol. 61. World Health Organization, 2004.

Jomova, K.; Alomar, S.Y.; Nepovimova, E.; Kuca, K.; Valko, M. Heavy metals: toxicity and human health effects. Arch Toxicol. 2025, 99, 153-209. doi: 10.1007/s00204-024-03903-2.

Klaassen, C.D.; Liu, J.; Diwan, B.A. Metallothionein protection of cadmium toxicity. Toxicol Appl Pharmacol. 2009, 238(3), 215-20. doi: 10.1016/j.taap.2009.03.026.

Li, L.; Jiang, B.; Wan, Y.; Li, J.; Ma, Y. (2021). Integrating bioavailability and aging in the criteria derivation of cadmium for the safe production of rice in paddy soils. Ecotoxicol. Environ. Saf., 219, 112356. https://doi.org/10.1016/j.ecoenv.2021.112356.

Liu, J.; Habeebu, S.S.; Liu, Y.; Klaassen, C.D. (1998). Acute CdMT injection is not a good model to study chronic Cd nephropathy: comparison of chronic CdCl2 and CdMT exposure with acute CdMT injection in rats. Toxicol Appl Pharmacol., 153, 48-58. doi: 10.1006/taap.1998.8506.

Margoshes, M. and Vallee, B.L. (1957). A Cadmium Protein From Equine Kidney Cortex. Journal of the American Chemical Society, 79(17), 4813–4814. doi:10.1021/ja01574a064.

Ministry of Health (2005). Memorandum of the Ministry of Health N° DGVA/IX/35232/P/4 October 2005.

Miedico, O.; Iammarino, M.; Tarallo, M.; Chiaravalle, A.E. (2017). Application of inductively coupled plasma–mass spectrometry for trace element characterisation of equine meats. International Journal of Food Properties, 20(12), 2888–2900. https://doi.org/10.1080/10942912.2016.1256304.

Nicholson, J.; Kendall, M.; Osborn, D. (1983). Cadmium and mercury nephrotoxicity. Nature, 304, 633–635. https://doi.org/10.1038/304633a0.

Niture, S.; Lin, M.; Qi, Q.; Moore, J.T.; Levine, K.E.; Fernando, R.A.; Kumar, D. (2021). Role of autophagy in cadmium-induced hep atotoxicity and liver diseases. Journal of Toxicology, 9564297. doi: 10.1155/2021/9564297.

Permyakov, E.A. (2021). Metal Binding Proteins. Encyclopedia , 1, 261-292. https://doi.org/10.3390/encyclopedia1010024.

Piscator, M. (1984). Long-term observations on tubular and glomerular function in cadmium-exposed persons. Environ Health Perspect., 54,175-9. doi: 10.1289/ehp.8454175.

Rafati Rahimzadeh, M.; Rafati Rahimzadeh, M.; Kazemi, S.; Moghadamnia, AA. (2017). Cadmium toxicity and treatment: An update. Caspian J Intern Med., 8, 135-145. doi: 10.22088/cjim.8.3.135.

Salisbury, C.D.; Chan, W.; Saschenbrecker, P.W. (1991). Multielement concentrations in liver and kidney tissues from five species of Canadian slaughter animals. J Assoc Off Anal Chem., 74, 587-91.

Salmi, A. and Hirn, J. (1981). Cadmium content of muscle, liver and kidney from Finnish horse and reindeer. Fleischwirtschaft.,61, 1175-1176.

Sandeep, G.; Vijayalatha, K.R.; Anitha, T. (2019). Heavy metals and its impact in vegetable crops. International Journal of Chemical Studies, 7,1612-1621.

Satarug, S.; Vesey, D.A.; Gobe, G.C. (2017). Health Risk Assessment of Dietary Cadmium Intake: Do Current Guidelines Indicate How Much is Safe? Environ Health Perspect., 125, 284-288. doi: 10.1289/EHP108.

Song, J.; Song, Q.; Wang, D.; Liu, Y. (2023). Mitigation strategies for excessive cadmium in rice. Compr Rev Food Sci Food Saf., 22, 3847-3869. doi: 10.1111/1541-4337.13210.

Tamba, M.; Calabrese, R.; Ferretti, E. (2022). Cadmio e carni equine. Correlazioni tra i livelli nel fegato e nel muscolo di cavalli macellati in Emilia Romagna. O&DV, 10, 29-34.

Tanaka, N.; Uraguchi, S.; Kajikawa, M.; Saito, A.; Ohmori, Y.; Fujiwara, T. (2018). A rice PHD-finger protein Os TITANIA, is a growth regulator that functions through elevating expression of transporter genes for multiple metals. Plant J., 96,997-1006. doi: 10.1111/tpj.14085.

Thakor, J.C.; Sahoo, M.; Singh, K.P.; Singh, R.; Qureshi, S.; Kumar, A.; Kumar, P.; Patel, S.; Singh, R.; Sahoo, N.R. (2023). Porcine respiratory disease complex (PRDC) in Indian pigs: a slaughterhouse survey. Vet Ital., 59, 23-38. doi: 10.12834/VetIt.2935.20591.2.

The European Commission (2023). Commission Regulation (EU) 2023/915 of 25 April 2023 on maximum levels for certain contaminants in food and repealing Regulation (EC) No 1881/2006. O.J. Eur. Union L 119, 05.05.2023, p. 103–157. Available online: https://eur-lex.europa.eu/legal-content/en/TXT/?uri=CELEX%3A32023R0915 (accessed on 28 January 2025).

The European Commission (2021). Commission Regulation (EU) 2021/1323 of 10 August 2021 amending Regulation (EC) No 1881/2006 as regards maximum levels of cadmium in certain foodstuffs. O.J. Eur. Union L 288, 11.8.2021, p. 13–18. Available online: https://eur-lex.europa.eu/eli/reg/2021/1323/oj/eng (accessed on 28 January 2025).

The European Parliament and The Council Of The European Union (2017). Regulation (EU) 2017/625 of the European Parliament and of the Council of 15 March 2017 on official controls and other official activities performed to ensure the application of food and feed law, rules on animal health and welfare, plant health and plant protection products, amending Regulations (EC) No 999/2001, (EC) No 396/2005, (EC) No 1069/2009, (EC) No 1107/2009, (EU) No 1151/2012, (EU) No 652/2014, (EU) 2016/429 and (EU) 2016/2031 of the European Parliament and of the Council, Council Regulations (EC) No 1/2005 and (EC) No 1099/2009 and Council Directives 98/58/EC, 1999/74/EC, 2007/43/EC, 2008/119/EC and 2008/120/EC, and repealing Regulations (EC) No 854/2004 and (EC) No 882/2004 of the European Parliament and of the Council, Council Directives 89/608/EEC, 89/662/EEC, 90/425/EEC, 91/496/EEC, 96/23/EC, 96/93/EC and 97/78/EC and Council Decision 92/438/EEC (Official Controls Regulation). O.J. Eur. Union L 95, 7.4.2017, p. 1–142. Available on: https://eur-lex.europa.eu/eli/reg/2017/625/oj/eng (accessed on 29 January 2025).

The European Commission (2014). Commission Regulation (EU) No 488/2014 of 12 May 2014 amending Regulation (EC) No 1881/2006 as regards maximum levels of cadmium in foodstuffs . O.J. Eur. Union L 138, 13.5.2014, p. 75–79. Available online: https://eur-lex.europa.eu/legal-content/EN/ALL/?uri=CELEX%3A32014R0488 (accessed on 28 January 2025).

The European Commission (2006). Commission Regulation (EC) No 1881/2006 of 19 December 2006 setting maximum levels for certain contaminants in foodstuffs. O.J. Eur. Union L 364, 20.12.2006, p. 5–24. Available online: https://eur-lex.europa.eu/eli/reg/2006/1881/oj/eng (accessed on 28 January 2025).

The European Commission (2002). Regulation (EC) No 178/2002 of the European Parliament and of the Council of 28 January 2002 laying down the general principles and requirements of food law, establishing the European Food Safety Authority and laying down procedures in matters of food safety. O.J. Eur. Union L 31, 1.2.2002, p. 1–24. Available on: https://eur-lex.europa.eu/legal-content/EN/TXT/?uri=CELEX%3A32002R0178 (accessed on 28 January 2025).

Wang, P.; Chen, H.; Kopittke, P.M.; Zhao, F.J. (2019). Cadmium contamination in agricultural soils of China and the impact on food safety. Environmental Pollution, 249,1038–1048.https://doi. org/10.1016/j.envpol.2019.03.063.

Wang, R.; Sang, P.; Guo, Y.; Jin, P.; Cheng, Y.; Yu, H.; Xie, Y.; Yao, W.; Qian, H. (2023). Cadmium in food: Source, distribution and removal. Food Chemistry, 405, 134666. https://doi.org/10.1016/ j.foodchem.2022.134666.

Whiting, T.L. (2007). The United States' prohibition of horsemeat for human consumption: is this a good law? Can Vet J., 48,1173-80.

World Trade Organization (WTO) (1994). Agreement on the Application of Sanitary and Phytosanitary Measures (SPS). In Final Act of the Uruguay Round of Multilateral Trade Negotiations, Marrakesh, 1994. Available online: https://www.wto.org/english/docs_e/legal_e/sps_e.htm (accessed on 28 January 2025).

Downloads

Published

2025-04-14

How to Cite

Dimuccio, M. M., Ceci, E., Bonerba, E., Celentano, F. E., De Marzo, P. ., Leone, R., Sportelli, S., & Bozzo, G. (2025). Assessing Cadmium Levels in Horses Imported from the European Union and Slaughtered in Italy. Veterinaria Italiana, 61(2). https://doi.org/10.12834/VetIt.3692.31893.2

Issue

Topics*

Paper

Most read articles by the same author(s)