A Newcastle disease live virus vaccine is safe and efficacious at various storage conditions.

Authors

  • Iffat Huma Veterinary Research Institute, Lahore, Pakistan; Faculty of Veterinary Science, University of Veterinary and Animal Sciences, Lahore, Pakistan
  • Shahan Azeem Faculty of Veterinary Science, University of Veterinary and Animal Sciences, Lahore, Pakistan.
  • Sarwat Naz Veterinary Research Institute, Lahore, Pakistan.
  • Tahir Yaqub Faculty of Veterinary Science, University of Veterinary and Animal Sciences, Lahore, Pakistan.
  • Muhammad Hassan Mushtaq Faculty of Veterinary Science, University of Veterinary and Animal Sciences, Lahore, Pakistan.
  • Muhammad Azam Faculty of Livestock Business Management, University of Veterinary and Animal Sciences, Lahore, Pakistan

DOI:

https://doi.org/10.12834/VetIt.2980.19377.1

Keywords:

Extraneous agents, Efficacy, Hemagglutination, Immunization, Mesogenic, Potency

Abstract

Pure, potent and efficacious vaccines could help in the control of Newcastle disease (ND). The present study was designed to evaluate the thermo-stability of a live-attenuated ND virus vaccine containing the Mukteswar strain and to genetically characterize the seed virus. Moreover, the presence of extraneous agents (Fowl adenovirus, Mycoplasma, Salmonella Pullorum, and Salmonella Gallinarum) was assessed using polymerase chain reactions (PCR) optimized for detection in a panel. The vaccine was evaluated for its potency and efficacy after storage at 4°C, 25°C and 37°C for 36, 48, 96 and 144 hours. A total of 100 commercial broiler chickens were randomly divided into six groups and immunized with the vaccine stored at specified temperatures for the given times. Blood samples were collected on days 0, 7, 14, 21 and 28 post-vaccination, sera were separated and antibody titers were assessed using hemagglutination inhibition (HI) assay. The data were analyzed by two-way analysis of variance (ANOVA) and multivariate analysis of variance (MANOVA). Reverse-transcription  PCR targeting the F gene of Newcastle disease virus (NDV) and subsequent sequence analysis confirmed the presence of NDV in the vaccine seed (deposited to GenBank Acc. Nos. MK310260 and MK310261). Phylogenetic analysis revealed a close resemblance of the vaccine virus with other Avian Avulaviruses (NDV class II Genotype III viruses and more specifically with NDV Mukteswar vaccine strains), yet it was distinct from NDV class II Pakistani field isolates, which grouped into genotype XIII.2.1. The PCR testing confirmed that the vaccine was free from extraneous agents. The present study’s findings propose an alternative rapid PCR-based method to evaluate the purity of NDV live vaccines. Together these data suggest that the tested vaccine is pure, potent and efficacious, yet continuous maintenance of the cold chain for vaccine storage is recommended to maintain its potency and efficacy.

Introduction

Poultry is an important sub-sector of the livestock industry of Pakistan. The poultry industry of the country employs > 1.5 million people (Anonymous, 2021). Commercial poultry production was started in the 1960's in Pakistan and contributed to the daily protein needs of the masses (Atique et al., 2016). Chicken meat is rich in many dietary nutrients such as high biological value proteins, essential polyunsaturated fatty acids, trace minerals and vitamins, as well is an economical source of proteins for low-income people (Farrell, 2012). Pakistan’s poultry industry has faced many disease challenges especially outbreaks of respiratory diseases including Newcastle disease (ND) (Umar et al., 2019).

Newcastle disease is a highly transmissible and often lethal disease of poultry and other birds. The outbreaks of ND in poultry are frequently reported in Asia, Africa, as well as in Central and South Americas (Naveen et al., 2013). Over 250 species of birds are susceptible to Newcastle disease virus (NDV) and the disease has been reported from all over the world in both wild and domestic birds. The causative agent of ND is an avian paramyxovirus serotype-1 virus that belongs to the genus Avulavirus of the family Paramyxoviridae. NDV can be classified into three main pathotypes based on the mean death time in chicken embryos: lentogenic, mesogenic and velogenic (Hanson & Brandly, 1955). Clinical signs of ND in chickens are well-documented (Senne et al., 2004; Hussein et al., 2019; Afonso, 2021). The disease severely impacts productivity and international trade of poultry and poultry products leading to restrictions and embargoes in the affected countries (Narayanan et al., 2010; Wajid et al., 2018).

The control of ND is possible through strict biosecurity and vaccination (Absalón et al., 2019). Vaccination for NDV can be achieved using either inactivated or live virus vaccines. NDV live vaccines are preferred over inactivated ones because they elicit both humoral and cell-mediated immune responses. Both these responses are required for complete protection from NDV (Bello et al., 2018). The most commonly used ND live virus vaccines are formulated with NDV lentogenic or mesogenic strains (Tulu, 2020).

In developing countries, such as Pakistan, NDV vaccines are used on regular basis in commercial flocks (Munir et al., 2012). Antibody titers are monitored and revaccination is planned accordingly. Live ND virus vaccines are commonly used before using an inactivated vaccine, because live vaccines are potentially more efficient in stimulating immunity (Shim et al., 2011). Booster vaccinations using live mesogenic strains such as Roakin, Mukteswar and Komarow are administered to enhance immunity. Various mesogenic (Komarov and Mukteswar) and lentogenic (LaSota and Hitchner B1) strains of NDV have been licensed as vaccines for use in Pakistan, Egypt and India where virulent ND is endemic (Mehmood et al., 2020).

Published literature suggests that live virus vaccines are often contaminated with extraneous and immunologically irrelevant strains resulting in disease outbreaks in poultry (Kojima et al., 1997; Ibrahim et al., 2019; Elkamshishi et al. 2020). There are well-defined precautions about the storage and usage of live NDV vaccines because these are thermolabile. Among storage conditions, the temperature is an important factor that impacts the efficacy of a live vaccine. Therefore, a cold chain system is required starting from a freshly manufactured vaccine throughout its transportation till inoculation to the birds to prevent thermal degradation of antigenic components. Frequent power outages in many developing countries including Pakistan is a big threat to the quality of live NDV vaccine (Ruan et al., 2020).

In Pakistan different imported and indigenous NDV vaccines are available. Most vaccine efficacy studies document the effect of various lentogenic strains of NDV. However, studies on thermo-stability, genetic characterization and purity of NDV vaccines containing the Mukteswar strain are lacking. The present study was designed to genetically characterize the NDV seed virus, ensure freedom from extraneous agents (Fowl adenovirus, Mycoplasma, Salmonella Pullorum, and Salmonella Gallinarum), and evaluate the thermostability of a locally-prepared NDV vaccine containing Mukteswar strain.

Materials and Methods

The NDV live lyophilized vaccine batches manufactured in the Veterinary Research Institute (VRI), Lahore, Pakistan were used in this study. The vaccine was prepared from working seed derived from the live-attenuated, Mukteswar strain of NDV, master seed Batch No. 33 that was procured from Central Veterinary Laboratory, Weighbridge, United Kingdom in 1996. The master seed virus was passaged in Specific Pathogen Free embryonated chicken eggs for the production of vaccine seed stocks and was stored in lyophilized form in the repository of the Poultry Vaccine Section of VRI.

Genetic assessment of NDV vaccine seed and vaccine batches

Three aliquots of the working seed of NDV attenuated Mukteswar strain vaccine and five vials of various batches of the NDV vaccine were selected randomly from the respective stocks and used for viral RNA extraction. Likewise, DNA extraction for the PCR-based assessment of extraneous agents was done on the same aliquots and vaccine vials. Each vial was reconstituted in 2.5 ml of sterilized diethylpyrocarbonate (DEPC)-treated water. RNA and DNA extractions were carried out in separate class II type A2B biosafety cabinets (NuAire, Plymouth, MN, USA). RNA and DNA extractions from the seed and vaccine were carried out on two separate occasions to avoid cross-contamination.

RNA extraction

Briefly, 250 μl of NDV seed or vaccine suspension was mixed with 750 μl of Trizol LS reagent (Invitrogen, Carlsbad, CA, USA) and incubated at ambient temperature for 5 minutes. Then 200 μl Chloroform was added into it, vortexed for 15 seconds, placed at ambient temperature for a further 2 minutes, and centrifuged at 12000 × g for 15 minutes at 4°C. The RNA-containing aqueous phase was transferred into a fresh microfuge tube and an equal volume of ice-cold isopropanol was added to it. The resultant material was mixed gently by inverting the tube 10 times and centrifuged at 12000 × g for 15 minutes at 4°C. The supernatant was discarded and the RNA pellet was washed with 1 ml of 75% ethanol by centrifugation at 7500 × g for 5 minutes at 4°C. The resulting RNA pellet was air dried at room temperature, dissolved in 30 μl of DEPC-treated deionized water and stored at -80°C till further use in RT- PCR.

Reverse transcription-Polymerase Chain Reaction for confirmation of Newcastle disease virus

Reverse transcription-Polymerase Chain Reaction (RT-PCR) was performed using already published primers (Table 1) and Verso One-Step RT-PCR Kit (Thermo Fisher Scientific, Waltham, MA, USA) in a 50 µl reaction volume containing the following recipe as per the manufacturer’s instructions: 25 µl of 2X1-step PCR hot-start master mix, 1 µl of Verso enzyme mix, 2.5 µl of RT enhancer, 1 µl each of forward and reverse primers (10 µM), 3 µl of RNA template and RNAase-free water to make the total volume of 50 µl. One-step RT-PCR was done with positive control (NDV RNA, LaSota strain), no template control (nuclease-free water) and no enzyme control in a thermocycler (BioRad, Hercules, CA, USA). The following cycling conditions were used: cDNA synthesis at 50˚C for 15 minutes, 1 cycle of Verso transcriptase inactivation at 95˚C for 15 minutes, 35 cycles of denaturation at 95˚C for 1 minute, annealing at 54˚C for 1 minute, and extension at 72˚C for 1.5 minutes, and a final step of extension at 72˚C for 7 minutes.

Table. I. Primers used in the study along with the respective annealing temperatures.

Gel electrophoresis

The RT-PCR products were loaded onto 1.2 % agarose gel containing 0.5 μg/ml of ethidium bromide along with 100 bp DNA ladder (Thermo Fisher Scientific Baltics UAB, Vilnius, Lithuania) to ascertain the expected PCR product size. Electrophoresis was conducted using 1 X TAE buffer and PCR products were visualized under a UV trans-illuminator.

DNA purification and sequencing

RT-PCR products of the expected sizes were excised from agarose gels under a UV trans-illuminator and purified using a Gen Jet Gel Extraction kit (Thermo Fisher Scientific, Waltham, MA, USA) following the manufacturer’s instructions and the quality of purified PCR products was ascertained using 1.2% gel electrophoresis. Sanger sequencing of purified PCR products using the same forward and reverse primers, as used for the PCR, was done at Ist Base, Singapore through a local vendor. The sequences of the ND virus Mukteswar strain were aligned using the online BLAST tool (https://blast.ncbi.nlm.nih.gov/Blast.cgi). The multiple sequence alignment was done with Clustal W Method using MEGA X software. The obtained NDV sequence was compared with other NDV sequences of class II genotypes I through XXI as described by Dimitrov et al. (2019). A phylogenetic tree was constructed using MEGA X software Maximum Likelihood Method with 1000 bootstrap replicates.

PCR-based assessment of ND vaccine seed virus and vaccine for purity (freedom from extraneous agents)

DNA extraction

DNA was extracted from 200 µl of NDV seed and vaccine samples separately using a DNA extraction kit (GeneAll Biotechnology Co., Ltd., Seoul, Korea) following the manufacturer’s instructions with minor modifications. Extracted DNA was eluted from the column membrane with 50 µl of DEPC-treated deionized water and stored at -80°C till further use.

PCR and gel electrophoresis

All PCR reactions were carried out in a total volume of 25 μl using 13 μl of PCR premix 2X AmpMasterTM Taq (GeneAll, Biotechnology Co., Ltd., Seoul, Korea), 1 μl each of forward and reverse primers (10 µM), 1-5 μl of template DNA and deionized DEPC-treated water up to 25 μl (Table I). The PCRs reactions for each of the extraneous agents: Fowl adenovirus, Mycoplasma, Salmonella Pullorum and Salmonella Gallinarum were run in separate tubes using previously published primers (Doulat et al. 2018; Meulemans et al. 2004; Volokhov et al. 2011). Newcastle disease virus (Mukteswar strain) vaccine samples were spiked with various concentrations (data not shown here) of fowl adenovirus, Mycoplasma and Salmonella field isolates already confirmed in our lab. The PCRs for each of the agents were first run individually. After the successful detection of each agent in the spiked vaccine samples the cycling conditions for these PCRs were optimized to run in a panel using a gradient PCR approach by adjusting varying annealing temperatures specific for each primer set.

PCR amplification reactions were conducted in a thermal cycler: DNA Engine (Bio-Rad, Hercules, CA, USA) with the following cycling conditions: initial denaturation at 95°C for 7 minutes, 35 cycles of denaturation at 95°C for 45 seconds, annealing at 54-62°C specific for primer sets of each tested agent for 60 seconds, and extension at 72°C for 45 seconds. A final extension at 72°C was done for 7 minutes. All PCR reactions were done with the respective positive controls (template derived from clinical samples previously confirmed in our laboratory with PCR and sequencing) and negative controls (PCR reaction mixture without template but nuclease-free water). PCR amplifications were confirmed using gel electrophoresis as described above.

Effect of storage temperatures on the potency of the vaccine

Sixty vials of live lyophilized Newcastle disease vaccine (Mukteswar strain) of batch No. 04, manufactured on 16 October 2019, were procured from the Supply Section of Veterinary Research Institute, Lahore, Pakistan and transported to the Institute of Microbiology, University of Veterinary and Animal Sciences (UVAS), Lahore, Pakistan within a temperature range of 2 to 8oC by using ice packs (Blount, 2018). All vaccine vials were randomly divided into three groups I, II and III (20 vials per group). Vaccine vials of groups I, II and III were stored at temperatures 4°C, 25°C and 37°C, respectively for 144 hours. The vaccine pellet of each vial was reconstituted with sterile phosphate-buffered saline, just before use.

Potency of the vaccine was determined after storage at 4°C, 25°C and 37°C, for 0, 36, 48, 96 and 144 hours by performing hemagglutination activity (HA) and embryo infective dose 50 (EID50) of vaccine virus at each storage temperature for each exposure time using standard protocols as described in WOAH Terrestrial Manual 2021 (WOAH, 2021). The highest two-fold dilution of virus suspension showing complete HA by using 1% (v/v) chicken RBCs in a 96-well plate was 1 HA unit (HAU).

For infectivity titer, nine-day-old embryonated chicken eggs were obtained from Big Bird Hatchery, Lahore, Pakistan and disinfected with 70% ethyl alcohol. The eggs were randomly inoculated by allantoic sac route using serial 10-fold dilutions of vaccine from each group and incubated at 37oC. After 48 hours of inoculation, the amnio-allantoic fluid (AAF) from each egg was collected and evaluated for the presence of the virus using a hemagglutination (HA) assay (Allan et al., 1978). The EID50 was calculated by using Reed and Muench (1938) method. All experimental work was conducted in a Class II type biosafety cabinet (Technico BS-786, Lahore, Pakistan).

Effect of storage temperature on the efficacy of the vaccine

One hundred, day-old, broiler chicks, of Cobb breed, were procured from Olympia Poultry Farms, Lahore, Pakistan and kept in isolation in an experimental room at the Institute of Microbiology, UVAS, Lahore, Pakistan under homogenous conditions. The temperature of the experimental room was maintained at 32-35oC and light was provided 20-22 hours per day for the first week. After seven days the temperature was gradually reduced (@ 2oC per week) to the ambient temperature and light duration for 12 hours per day. Chickens were fed with a commercial feed (National Feeds Private Limited, Lahore, Pakistan).

Before the initiation of vaccine trials, approval was obtained from the Institutional Bioethics Committee of UVAS, Lahore, Pakistan. Blood samples were collected from randomly selected twelve birds at the age of days 1, 4 and 7, serum was separated and average maternally derived antibody (MDA) titer was evaluated by performing hemagglutination inhibition (HI) assay, using the standard protocol as described in WOAH Terrestrial Manual 2021 (WOAH, 2021). At the age of 7 days, birds were randomly divided into eight groups (n=12, each) as per vaccine storage temperatures for the duration of 96 and 144 hours and positive and negative control groups (Table II). Birds in the test and positive control groups were inoculated with the reconstituted vaccine @ 0.2 ml per chicken intramuscularly.

Table. II. Evaluation of efficacy of live Newcastle disease virus vaccine.

Eight birds from each group were randomly selected to collect blood samples at days 0 (before vaccination) and 7, 14, 21 and 28 -days post-vaccination. Serum was allowed to separate at ambient temperature and collected in an Eppendorf tube. The antibody titer against each vaccine group was evaluated by performing HI on serum samples obtained from the vaccinated and non-vaccinated birds (Liu et al., 2011). The HI titer was the reciprocal of the highest dilution of serum that inhibits hemagglutination by using 4 HA suspension of antigen and 1 % (v/v) chicken RBCs (WOAH, 2021).

Data Analyses

Results were analyzed statistically by two-way analysis of variance (ANOVA) and multivariate analysis of variance (MANOVA) with alpha level set at 0.05, using MINITAB version-17 (Pennsylvania State University, State College, PA, USA) and SPSS version 20 (IBM, Armonk, NY, USA). Ready Reckoner Table was used for the calculation of geometric mean titers (GMT).

GenBank Accession Numbers

Two 338 nucleotide sequence segments of the F gene of the NDV virus were deposited in the GenBank with the accession numbers MK310260 and MK310261.

Results

Genetic characterization of ND vaccine seed virus

Amplification of the extracted RNA samples from the NDV vaccine seed by the one-step RT-PCR for the F gene revealed a 356 bp NDV specific PCR product in the gel (Figure 1). NCBI BLAST analysis of partial F gene sequences obtained in this study (GenBank accession Nos. MK310260 and MK310261) revealed their similarity with the F gene sequences of ND viruses available in GenBank database. When the NDV vaccine strain partial F gene nucleotide sequence (MK310260) was compared with 90 F gene nucleotide sequences of NDV class II field isolates belonging to genotypes (I-XXI) as described by Dimitrov et al. (2019), under updated unified phylogenetic classification system and revised nomenclature of NDV, it grouped with genotype III ND viruses. In genotype III ND viruses the vaccine virus demonstrated a close resemblance with GU182327 as depicted in the phylogenetic tree (Figure 2 at https://www.veterinariaitaliana.izs.it/index.php/VetIt/article/view/2980/1713).

Figure. 1. Gel electrophoresis of RT-PCR products of Newcastle disease virus vaccine samples. Lane 1: DNA ladder, Lane 2: Positive control, Lanes 3-4: vaccine samples, Lane 5: Negative control.

PCR-based assessment of the vaccine purity (freedom from extraneous agents)

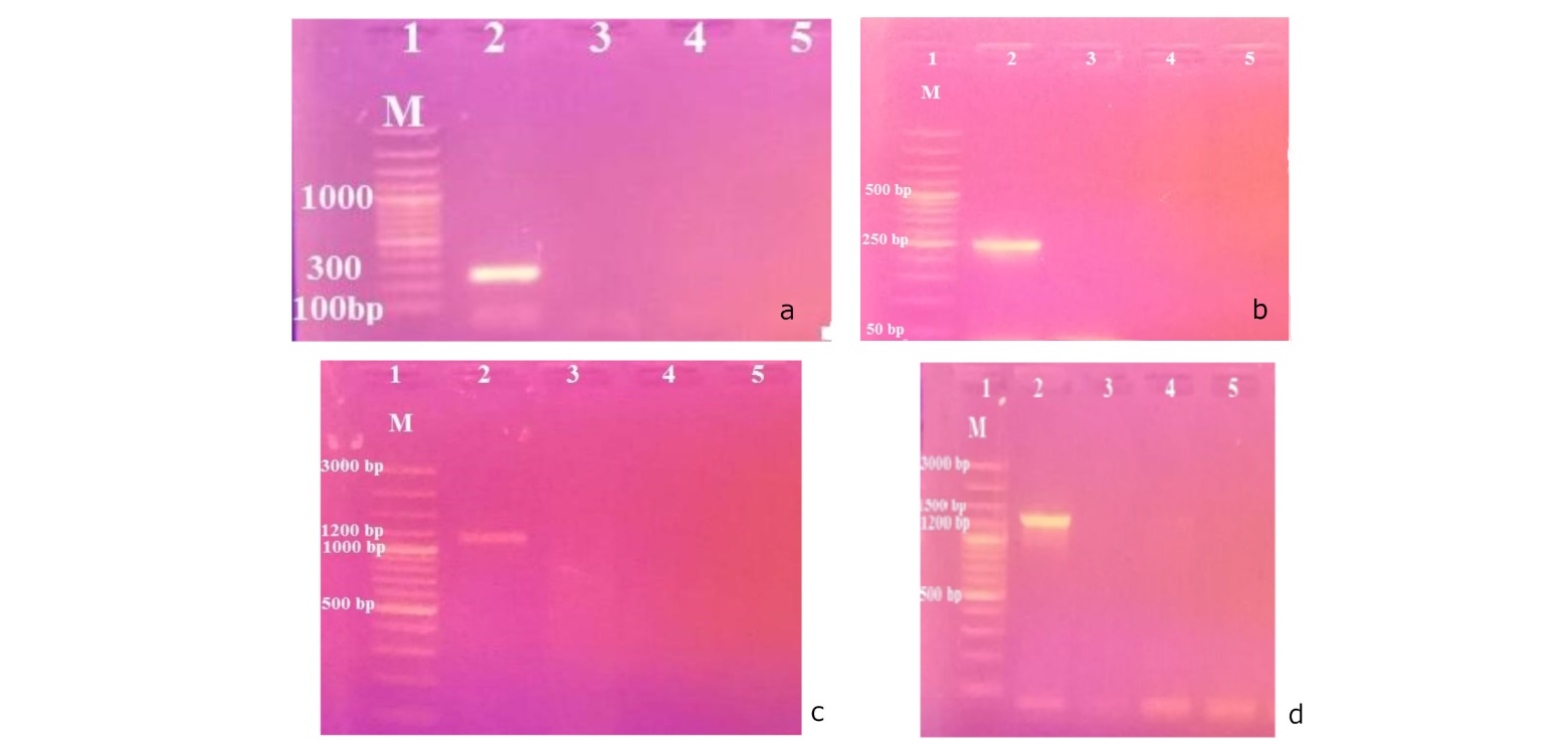
While the PCR analysis of NDV vaccine seed samples using primers specific for genus Mycoplasma, Salmonella Pullorum, Salmonella Gallinarum and fowl adenovirus, revealed the absence of these agents in tested vaccine samples, the PCR amplifications of DNAs extracted from positive control clinical samples generated amplicons of sizes: 267 bp, 243 bp, 1047 bp and 1319 bp specific for Mycoplasma, Salmonella Pullorum, Salmonella Gallinarum and fowl adenovirus, respectively (Figures 3a-d).

Figure. 2. Gel electrophoresis of PCR products. Figure 3a. Confirmation of Mycoplasma 16S rRNA gene (267 bp) Lane 1: Ladder, Lane 2: Positive control, Lane 3: Negative control, Lanes 4-5: Vaccine samples. Figure 3b. Confirmation of Salmonella Pullorum (243 bp). Lane 1: Ladder, Lane 2: Positive control, Lane 3: Negative control, Lanes 4-5: Vaccine samples. Figure 3c. Confirmation of Salmonella Gallinarum (1047 bp). Lane 1: Ladder, Lane 2: Positive control, Lane 3: Negative control, Lanes 4-5: Vaccine samples. Figure 3d. Confirmation of fowl adenovirus (1319 bp). Lane 1: Ladder, Lane 2: Positive control, Lane 3: Negative control, Lanes 4-5: Vaccine samples.

Effect of storage temperatures on the potency of vaccine

Geometric mean titer (GMT) of HA of vaccine virus exposed to temperatures 4°C, 25°C, and 37°C for 0, 36, 48, 96 and 144 hours were 256.0, 256.0_161.3 and 256.0_64.0 (log2), respectively. The highest geometric mean titer of HA of the vaccine virus (256) was observed in the vaccine kept at 4°C throughout 144 hours, while the lowest HA titer (64) was noted in the vaccine stored at 37°C for 144 hours (Figure 4). Variation in HA titers of vaccine virus exposed to 4°C, 25°C and 37°C for incubation intervals, 0–144 hours and 48–144 hours was significant when compared by two-way ANOVA (p<0.05). The geometric mean titer of HA and infectivity titer of the vaccine virus incubated at temperatures 4°C, 25°C and 37°C for 0, 36, 48, 96 and 144 hours are presented in Table III.

Figure. 3. Comparison of HA Geometric Mean Titer (GMT) of Newcastle disease virus vaccine stored at different temperatures for various time intervals.

Table. III. Effect of incubation temperature on the hemagglutination activity and EID50 titer of live Newcastle disease virus vaccine.

The EID50 titer per dose of vaccine virus ranged from 107.5–107.46, 107.5–105.25 and 107.45–103.3 for the vaccines stored at 4°C, 25°C and 37°C, respectively for 0, 36, 48, 96 and 144 hours. The highest titer (107.5 EID50 per dose) was observed in the vaccine kept at 4°C for 144 hours and the lowest titer (103.3 EID50 per dose) was recorded in the vaccine kept at 37°C for 144 hours (Figure 5).

Figure. 4. Comparison of infectivity titer (EID50 per dose) of Newcastle disease virus vaccine stored at different temperatures for various time intervals.

Variations in infectivity titer (EID50 per dose) of vaccine virus incubated at 4°C, 25°C and 37°C for 0, 36, 48, 96 and 144 hours were significant when compared by two-way ANOVA (p<0.05). The decrease in infectivity titer of the vaccine virus was significant when the vaccine was stored at 37°C for 36 hours compared to the vaccine stored at 4°C for 144 hours (p<0.05).

Effect of storage temperatures on the efficacy of the vaccine

The highest GMT of HI antibodies titer: 256 (protective) was observed on the 28th-day post vaccination in the chickens immunized with vaccine kept at 4°C for 144 hours. In chickens inoculated with vaccine incubated at 25°C for 96 hours and 144 hours, the GMT on 28th-day post-vaccination were 256 and 128, respectively. The lowest GMT: 7.3 (non-protective) was recorded on 28th day post-vaccination in the birds immunized with vaccine incubated at 37°C for 144 hours (Table IV; Figures 6). The GMT showed significant variations on the 14th, 21st and 28th -day post-vaccination in birds inoculated with vaccine incubated at 4°C, 25°C and 37°C for 96 and 144 hours (MAVOVA: p < 0.05).

Table. IV. Antibody titer of broilers to a live Newcastle disease virus vaccine incubated at various temperatures for 96 hours and 144 hours.

Figure. 5. Comparison of antigenic response (HI titer) of chickens at different post-vaccination days to ND vaccine stored at various temperatures (a.) 4, 25 and 37oC and times (b.) 0, 96 and 144 hours.

Discussion

Vaccination is the most practical and cost-effective method to control Newcastle disease (Bello et al., 2018; Tulu, 2020). In the present study, NDV (Mukteswar strain) vaccine’s thermostability, potency and efficacy were evaluated by incubating it at various temperatures for different time periods. Moreover, the vaccine seed virus was genetically characterized and its purity was evaluated. The present study suggested that the vaccine stored at 25oC for 96 hours induced the same antibody titer in chickens as was induced by the vaccine stored at the 4oC for 144 hours. The PCR testing and phylogenetic evaluation confirmed that the vaccine contained the Mukteswar strain of NDV. Moreover, the vaccine demonstrated freedom from extraneous agents including avian adenovirus 4, a common contaminant of poultry vaccines in Asia.

The NDV live lyophilized vaccine containing the Mukteswar strain is used by the local farmers in Pakistan in the epidemic/endemic phase of velogenic ND to minimize the clinical disease at poultry farms. Therefore, evaluating this locally manufactured vaccine for its purity, efficacy and stability was warranted. In this study, we used RT-PCR to amplify the gene sequence encoding the cleavage site of the fusion protein to identify ND virus vaccine strain using already published primers targeting a 356 bp segment (Nanthakumar et al. 2000). Nanthakumar et al. (2000) employed this PCR for the confirmation of NDV both in clinical samples and vaccines. Sequencing using the same primer set used for PCR amplification generated partial F gene segments. These sequences revealed similarity with the F gene sequences of ND viruses available in GenBank. The partial F gene nucleotide sequence of NDV vaccine: MK310260, clustered with genotype III ND viruses, when compared with 90 out of 125 F gene nucleotide sequences of NDV class II field isolates belonging to genotypes I-XXI (Dimitrov et al., 2019). In genotype III ND viruses, the vaccinal virus showed a close resemblance with GU182327, collected from a chicken in 1974 in Karachi, Pakistan, originally this virus was derived from an NDV vaccine Mukteswar strain (Khan et al. 2010). Mukteswar vaccine strains were developed by serial passage of ND mesogenic virus (Mukteswar) in embryonated eggs in 1940 in the Far East (Czeglédi et al. 2003). Virulent ND viruses isolated in the last decade from Pakistan belong to genotypes XIII.2.1 (Dimitrov et al., 2019).

The purity of egg-derived live vaccines is of considerable importance as several episodes of disease outbreaks caused by extraneous bacterial and viral agents including avian adenovirus 4 have been reported recently. Investigations of such disease outbreaks revealed that the quality of specific-pathogen-free eggs used for the development of poultry vaccines was poor (Elkamshishi et al. 2020; Su et al. 2018). Generally, conventional isolation techniques are recommended for establishing sterility or freedom from extraneous agents of vaccines including NDV live virus vaccines (WOAH, 2021). Since quality specific-pathogen-free eggs are not easily available in most developing countries including Pakistan, antibody-free eggs are used for egg-adapted vaccine production and antibiotics are added for the control of endogenous and exogenous contamination in live vaccines. Establishing the purity of the vaccines with conventional isolation techniques in this situation becomes even more difficult. PCRs have been used to detect Mycoplasma (Kojima et al. 1997), Salmonella Pullorum, Salmonella Gallinarum and fowl adenovirus (Su et al., 2018) contamination in poultry vaccines. Detection of fowl adenovirus, Mycoplasma and Salmonella, contamination in live poultry vaccines requires three different PCRs, which is time-consuming, laborious and expensive. To overcome this problem, the PCRs were optimized to run in a panel. PCRs run individually as per conditions described in the literature and in a panel with optimized conditions confirmed that the both NDV live vaccine used in this study and its seed virus are free of adenovirus, Mycoplasma and Salmonella contaminations. The PCR-based evaluation of the vaccine for the presence of extraneous agents is a major improvement from culture-based techniques to ascertain the purity of this vaccine. Moreover, the PCRs run in a panel make the process more efficient.

Live ND vaccine showed HA and EID50 titers as 256 and 107.5 per dose, respectively before storage at various temperatures which is the recommended EID50 titer to confer protection (105.0 EID50 per bird and 106.5 EID50 per bird for live mesogenic and lentogenic vaccines, respectively) (Allan et al., 1978). These findings are also consistent with Abbas et al. (2006), who reported that the live ND LaSota vaccine with an HA titer of 512, protected 87% of birds after challenge with a field virus whereas the vaccine with an HA titer of 128, protected only 60% of the birds (Abbas et al., 2006). These data suggest that the protection conferred by live ND vaccine can correlate with its HA titer, however, such a relationship is not clearly defined.

The HA results indicated no variation in the titer after storage at 4°C for up to 144 hours or at 25°C for up to 96 hours or at 37°C for up to 48 hours. However, a reduction of approximately 1 log2 after 96 hours and 2 log2 after 144 hours of storage at 37oC was noticed. The present study’s findings corroborate Abbas et al. (2006) who observed no change in the HA titer of the vaccine when stored at 4oC, 25oC and 40oC for up to 24 hours (Abbas et al., 2006). Likewise, Okwor et al. (2009) also reported no change in the HA titer of vaccines until 28 days of storage at 0-4oC. These workers noticed a decline of 2 log2 in the HA titer of vaccines at day 56 and a 4 log2 decline on day 140, after storage at 26-30oC (Okwor et al., 2009). The trend of decline in the HA titer in the present study to approximately 2 log2 at 37oC for up to 144 hours is consistent with the Okwor et al. (2009).

In the present study, there was a decline of <0.5 log10 in the EID50 per dose after 36 hours of exposure and a reduction of approximately 1 log10 in EID50 per dose titer after 48 hours of exposure at 25oC storage. Infectivity titer was 105.25for up to 144 hours at 25oC storage which was still above the minimum recommended titer which is 105.0 EID50 per bird required for inducing protective antibodies in chicken (Allan et al., 1978). However, at 37oC storage, there was a decrease of 4 log10 in the titer after 36 hours of incubation. The infectivity of the virus decreased rapidly with the passage of time at 37oC and the maximum reduction was observed during the first 36 hours of storage corroborating Okwor et al. (2009), who observed 0.5 log10 reduction in EID50 titer of vaccine at 25oC and >1 log10 at 40oC after 24 hours of storage (Okwor et al., 2009).

The present study suggested that the vaccine stored at 25oC for 96 hours induced the same antibody titer in chickens as was induced by the vaccine stored at the 4oC. The decline in the HI titer induced by the vaccine stored at 25oC for 144 hours was not found to be significant: the titer was still protective (7 log2)(WOAH, 2021). However, the vaccine stored at 37oC for 96 hours induced a minimum protective antibody titer (4 log2) and after 144 hours of incubation, titer declined to a non-protective level (3 log2). The gradual decline in antibody titer in chickens after immunization with vaccine stored at 25oC is consistent with Okwor et al. (2009), who reported the geometric mean antibody titers in chickens as 1005.7 and 8.3, before and after storage of vaccine at 26-30°C for 140 days (Okwor et al., 2009).

The RT-PCR technique targeting the amplification of the F gene sequence encoding the cleavage site of the fusion protein was used to identify the ND vaccine strain (Nanthakumar et al., 2000). Published literature suggests that amplification of the F gene cleavage site using RT-PCR technique along with restriction enzymes analysis of amplicons can be used for pathotyping of NDV in clinical samples and vaccines. Traditional methods for detecting and distinguishing NDV pathotypes include isolation of the virus in embryonated chicken eggs, followed by in vivo assays such as the intracerebral pathogenicity index (ICPI), and intravenous pathogenicity index (IVPI) and the mean death time (MDT) in SPF birds/embryos (WOAH, 2021). These tests are expensive, time-consuming, labour-intensive and ethically debatable. We opted for Sanger sequencing of a PCR amplicon of 356 bp, generated from the F gene sequence encoding the cleavage site of fusion protein instead of restrictions enzymes analysis. NCBI BLAST analysis of the sequences revealed that the vaccine seed and the vaccine contained NDV (Mukteswar strain).

Phylogenetic analysis of the partial F gene sequence generated in this study (MK310260) indicated that the NDV vaccine strain (Mukteswar) is very closely related to the Mukteswar (1974/PK/1) vaccine virus (GU182327) reported by the Sindh Poultry Vaccine Center (SPVC), Karachi, Pakistan and also clusters with other Mukteswar strains as is depicted in Phylogenetic tree (Figure 2).

The purity of live vaccines is of considerable importance as several episodes of disease outbreaks caused by extraneous bacterial and viral agents including avian adenovirus 4 have been reported recently (Kojima et al., 1997; Su et al., 2018; Elkamshishi et al. 2020). Therefore, establishing sterility or freedom from extraneous agents of a live virus vaccine is of utmost importance. In the present study, PCR testing confirmed that the live vaccine was found to be free from Mycoplasma, Salmonella Pullorum, Salmonella Gallinarum and fowl adenovirus contamination suggesting that this vaccine is safe to use in poultry. PCR-based testing offers an advantage over culture techniques as these agents are hard to isolate using conventional culture techniques.

Conclusion

Together these data suggest that the locally-prepared NDV vaccine containing a mesogenic Mukteswar strain remains potent and efficacious when maintained at 25oC for up to 144 hours of storage, depending on initial virus titer in the vaccine before storage. However, the efficacy of the vaccine declines sharply when stored at 37oC for the same time period due to power outages, especially in the Summer Season. The present study genetically characterized the seed virus based on its F protein gene and confirms that the vaccine contains NDV (Mukteswar strain). Moreover, the vaccine is free from extraneous agents including avian adenovirus 4, suggesting that this live NDV (Mukteswar strain) vaccine is not contributing to the reemergence of hydropericardium syndrome in Pakistan.

Acknowledgements

Mr. Ahmad Ali and the laboratory staff of the Institute of Microbiology, University of Veterinary and Animal Sciences, Lahore and Veterinary Research Institute, Lahore are acknowledged for their support in executing the experiments.

Disclosure statement

The authors have declared no conflict of interest.

References

Abbas T., Muneer M., Ahmed M., Khan M., Younus M. & Khan I. 2006. Comparative efficacy of five different brands of commercial Newcastle disease LaSota virus vaccines in broilers. Pakistan Vet J, 26, 55-58.

Absalón A., Cortés-Espinosa D.V., Lucio E., Miller P. & Afonso C. 2019. Epidemiology, control, and prevention of Newcastle disease in endemic regions: Latin America. Trop Anim Health Prod, 51, 1033-1048.

Allan W.H., Lancaster J.E. & Toth B. 1978. Newcastle disease vaccines, their production and use. Food and Agriculture Organization of the United Nations.

Anonymous. 2021. Economic Survey of Pakistan, Finance Division, Govt. of Pakistan, Islamabad, Pakistan.

Atique A., Abbasi B.H.A, Asmat T.M. & Balochistan Q.P. 2016. The past, present and future of commercial poultry feed production and price inclinations in Pakistan. Jokull, 66, 61-75.

Bello M.B., Yusoff K., Ideris A., Hair-Bejo M., Peeters B.P. & Omar A.R. 2018. Diagnostic and vaccination approaches for Newcastle disease virus in poultry: The current and emerging perspectives. BioMed Res Intl, 7278459.

Blount W. 2018. Temperature controlled transport of vaccines by drone In developing countries. Master’s Thesis, Georgia Institute of Technology, Atlanta, Georgia, USA.

Czeglédi A., Wehmann E. & Lomniczi B. 2003. On the origins and relationships of Newcastle disease virus vaccine strains Hertfordshire and Mukteswar, and virulent strain Herts' 33. Avian Pathol, 32, 269-274.

Dimitrov K.M., Abolnik C., Afonso C.L., Albina E., Bahl J., Berg M., Briand F-X., Brown I.H., Choi K-S. & Chvala I. 2019. Updated unified phylogenetic classification system and revised nomenclature for Newcastle disease virus. Infect Gen & Evol, 74, 103917.

Elkamshishi, M., Ibrahim, H.H. & Ibrahim, H. 2020. Detection of bacterial contamination in imported live poultry vaccines to Egypt in 2018. J World’s Poult Res, 10, 247-279.

Farrell D. 2012. The role of poultry in human nutrition. Poultry Development Review, Food and Agiculture Organizaion of United Nations. Avaiable at: https://www.fao.org/3/al714e/al714e.pdf (Accessed on 15 sept. 2022).

Hanson R. & Brandly C. 1955. Identification of vaccine strains of Newcastle disease virus. Science, 122, 156-157.

Hussein E.A., Hair-Bejo M., Omar A.R., Arshad S.S., Hani H., Balakrishnan K.N., Yakubu Y., Saeed M.I. & Aini I. 2019. Velogenic Newcastle disease virus tissue tropism and pathogenesis of infection in chickens by application of in situ PCR, immunoperoxase staining and HE staining. Microb Pathogen, 129, 213-223.

Ibrahim H.M., Ahmed H.A., Nagy N., Mohamed G.M., Shafi S.M. & Aly A.M. 2019. Detection limits of live attenuated poultry viral vaccine testing method for detection of bacterial contamination. J Appl Vet Sci, 4, 1-4.

Khan T.A., Rue C.A., Rehmani S.F., Ahmed A., Wasilenko J.L., Miller P.J. & Afonso C.L. 2010. Phylogenetic and biological characterization of Newcastle disease virus isolates from Pakistan. J Clin Microbiol, 48, 1892-1894.

Kojima A., Takahashi T., Kijima M., Ogikubo Y., Nishimura M., Nishimura S., Harasawa R., & Tamura Y. 1997. Detection of Mycoplasma in avian live virus vaccines by polymerase chain reaction. Biologicals, 25, 365-371.

Liu C.G., Liu M., Liu F., Liu D.F., Zhang Y., Pan W.Q., Chen H., Wan C.H., Sun E.C. & Li H.T. 2011. Evaluation of several adjuvants in avian influenza vaccine to chickens and ducks. Virol J, 8, 321-358.

Mehmood M.D., Anwar H., Hashim A., Ismail M. & Hussain S. 2020. Humoral response of broilers to live Newcastle Disease virus vaccines manufactured by different companies. J Drug Delivery & Therap, 10, 179-184.

Munir M., Zohari S., Abbas M. & Berg M. 2012. Sequencing and analysis of the complete genome of Newcastle disease virus isolated from a commercial poultry farm in 2010. Arch Virol, 157, 765-768.

Nanthakumar, T., Kataria, R., Tiwari, A., Butchaiah, G., Kataria, J. (2000). Pathotyping of Newcastle disease viruses by RT-PCR and restriction enzyme analysis. Vet Res Comm, 24, 275-286.

Narayanan M.S., Parthiban M., Sathiya P. & Kumanan K. 2010. Molecular detection of Newcastle disease virus using Flinders Tehnology Associates-PCR. Veterinarski Arhiv. 80, 51-60.

Naveen K.A., Singh S.D., Kataria J.M., Barathidasan R. & Dhama K. 2013. Detection and differentiation of pigeon paramyxovirus serotype-1 (PPMV-1) isolates by RT-PCR and restriction enzyme analysis. Trop Anim Health Prod, 45, 1231-1236.

Okwor E.C., Eze D.C. & Umeh M. 2011. Newcastle disease virus shedding among healthy commercial chickens and its epidemiological importance. Pakistan Vet J, 32, 354-356.

Ruan B., Liu Q., Chen Y., Niu X., Wang X., Zhang C., Guo M., Zhang X., Cao Y. & Wu Y. 2020. Generation and evaluation of a vaccine candidate of attenuated and heat-resistant genotype VIII Newcastle disease virus. Poult Sci, 99, 3437-3444.

Senne D., King D. & Kapczynskiº D. 2004. Vaccination. Dev Biol. Basel, 119, 165-170.

Shim, J-B., So, H-H., Won, H-K. & Mo, I-P. 2011. Characterization of avian paramyxovirus type 1 from migratory wild birds in chickens. Avian Pathol, 40, 565-572.

Su Q., Li Y., Zhang Y., Zhang Z., Meng F., Cui Z., Chang S. & Zhao P. 2018. Newcastle disease virus-attenuated vaccine LaSota played a key role in the pathogenicity of contaminated exogenous virus. Vet Res, 49, 1-11.

Tulu, D. 2020. Newcastle disease and its different applicable control options in poultry in Ethiopia. Intl J Agric Ext, 8, 43-56.

Umar S., Teillaud A., Aslam H.B., Guerin J-L. & Ducatez M.F. 2019. Molecular epidemiology of respiratory viruses in commercial chicken flocks in Pakistan from 2014 through to 2016. BMC Vet Res, 15, 1-12.

Wajid A., Basharat A., Bibi T. & Rehmani S.F. 2018. Comparison of protection and viral shedding following vaccination with Newcastle disease virus strains of different genotypes used in vaccine formulation. Trop Anim Health Prod, 50, 1645-1651.

WOAH, 2021. Newcastle disease (Infection with Newcastle disease virus). Chapter 3.3.14. https://www.woah.org/fileadmin/Home/fr/Health_standards/tahm/3.03.14_NEWCASTLE_DIS.pdf

Downloads

Additional Files

Published

2024-09-18

How to Cite

Huma, I. ., Azeem, S., Naz, S., Yaqub, T., Mushtaq, M. H. ., & Azam, M. . (2024). A Newcastle disease live virus vaccine is safe and efficacious at various storage conditions. Veterinaria Italiana, 59(3). https://doi.org/10.12834/VetIt.2980.19377.1

Issue

Topics*

Paper