Pathogenesis of Brucella suis biovar 1 in the armadillo (Chaetophractus villosus)

Authors

  • Marta Susana Kin Facultad de Ciencias Exactas y Naturales. UNLPam, La Pampa Argentina
  • Hugo Daniel Gimenéz Animal Health Laboratory, INTA, Anguil, La Pampa, Argentina
  • Fernando Delgado Pathology Laboratory, Institute of Pathobiology CICVyA, INTA Castelar, Buenos Aires, Argentina, (FD).
  • Luis Samartino University of Salvador, Veterinary School, Pilar, Buenos Aires. Argentina, Catholic University of Cuyo, Veterinary School, San Luis Argentina.
  • Emma Beatriz Casanave Animal Physiology Laboratory, Department of Biology, Biochemistry and Pharmacy. National University of the South, Bahía Blanca, Argentina. Institute of Biological and Biomedical Sciences of the South (INBIOSUR) UNS-CONICET
  • Marcelo Fort Animal Health Laboratory, INTA, Anguil, La Pampa, Argentina

DOI:

https://doi.org/10.12834/VetIt.3007.25510.2

Keywords:

armadillo, Brucella suis biovar 1, Chaetophractus villosus, Experimental infection, Pathogenesis

Abstract

Brucella suis biovar 1 has the broadest animal host spectrum. Affects domestic animals and wildlife species. The aim of our study was to investigate the pathogenesis of B. suis biovar 1 infection in the armadillo (Chaetophractus villosus) under experimental conditions. One gravid female and three adult males were inoculated with a suspension containing 1×106 CFU/mL (colony-forming units) of B. suis biovar 1 by oral route. In addition, the gravid female and one male received the same suspension by the conjunctival route. A young male and two females not inoculated were kept in contact with the animals inoculated. The animals that tested seropositive were euthanized. All inoculated armadillos showed positive antibody titres 2 weeks post-inoculation. Of the three uninoculated animals, one female was seropositive for Brucella infection.  Brucella was isolated from the spleen, liver, mesenteric lymph nodes, uterus, testes, and urine. Characteristic histologic lesions were found in the epididymis. These results suggest that armadillos can act as a reservoir for the spread of B. suis infection, and the persistence of Brucella in armadillo tissues constitutes a risk for humans, because of the cultural practice of armadillo meat consumption in rural communities.

Introduction

Brucellosis is one of the most important diseases in livestock and a major zoonotic disease worldwide. It is caused by various species of the facultative intracellular gram-negative bacteria Brucella (Godfroid et al. 2010). The causative species are classified largely based on pathogenicity; host preference; growth characteristics; and serological, bacteriological, and/or molecular methods (Whatmore et al. 2006). Thus far, several Brucella species have been recognized, of which B. melitensis, B. suis, and B. abortus are the most pathogenic organisms isolated from different animal species (Godfroid et al. 2010). The main symptoms of Brucella infection in most animal species are abortion and stillbirth.

B. suis biovar 1 infection is an increasingly emerging veterinary and public health problem, as the organism has been isolated from pigs (Godfroid et al. 2011) and humans in different Latin American countries (Samartino et al. 2002, Godfroid et al. 2005, Lucero et al. 2008), including Argentina.

B. suis biovar 1 can naturally infect cattle (Ewalt et al. 1997). It has been isolated from cattle in the Americas and Australia, thus indicating localization of this organism in the mammary tissue; however, there was no evidence of abortion or infertility (Ewalt et al. 1997, Cook and Noble 1984).

It has been isolated from wildlife animals as wild pig (Sus scrofa, Corn et al. 1986), peccary (Tayassu tajacu, Lord and Lord 1991), European hare (Lepus europaeus, Szyfres et al. 1968, Fort et al. 2012), armadillo (Chaetophractus villosus Kin et al. 2014), as well as hunting dogs (Ramamoorthy et al. 2011). In La Pampa, Argentina, wildlife surveys revealed seroprevalences of 6.6%, 17.1%, and 16.0 % in European hare, grey fox(Lycalopex gymnocercus),and armadillo, respectively (Baldone et al. 2007, Fuchs et al. 2009, Kin et al. 2014).

The knowledge of cultural rituals and practices related to the consumption and handling of wild animals in rural communities as well as information regarding other risk factors is essential for guiding the development of effective control strategies for Brucella infection.

Because armadillo meat is consumed in rural communities in Argentina, the present study was conducted to investigate the pathogenesis of B. suis biovar 1 in armadillos under experimental conditions.

Materials and methods

Experimental infection

Seven armadillos, which were captured in the province of La Pampa, Argentina, were used in this study. They were kept in enclosures with food and water ad libitum. In group A, two females were kept in one enclosure (A1 and A2), and in group B, three adult males (B1, B2, and B3), a young male (B4), and an adult female (B5) were kept in another enclosure. The inoculated animals included one gravid female (A1) and three adult males (B1, B2, and B3). The strain used was B. suis biovar 1 isolated from armadillo (Kin et al. 2014).

The animals were orally inoculated with a suspension containing 1×106 CFU/mL (colony-forming units) at a dose of 0.1 ml per animal. This dose was chosen because it was found to be effective with other animals (Fort et al. 2012). In addition, female (A1) and male (B1) received the same suspension by the conjunctival route. Although the intraconjunctival route is the most used in experimental infections with brucella, we had no reference on its effectiveness in armadillos. It was for this reason that oral and conjunctival infection was carried out on two armadillos. Since there was a limited number of animals to carry out the test.

Blood samples were collected from all the animals at the 80, 49 and 32 days before inoculation, at the beginning of the experiment (day 0), and at 7, 10, 17, 25, 38, and 55 days after inoculation. The serum samples were analysed using the Buffered Plate Antigen test (BPA, Biotandil Lab, Argentina) and Fluorescence Polarization Assay (FPA, Biotandil Lab). For the detection of Brucella antibodies, a cut-off score of 82 mP was kept for the latter test (Kin et al. 2018).

After 55 days, the animals that tested positive for Brucella (5 animals) were euthanized under anaesthesia (tiletamine and zolazepam, 5.0 mg/kg/I.M).

Tissue samples from different organs (uterus, vagina, bulbourethral glands, epididymis head, epididymis tail, liver, spleen, lungs, mesenteric lymph nodes, axillary lymph nodes, and kidneys) were taken. Urine samples were also collected. Bacteriological culture was made in blood agar, Brucella agar, MacConkey agar, and Salmonella-Shigella agar, and the culture media were incubated in 10% CO2 atmosphere at 37 °C and examined daily for 7 days. The presence of colonies showing the characteristics of Brucella were analysed by biochemical tests, namely oxidase, catalase, urease, CO2 requirement and H2S production, as well as by growth on media containing basic fuchsin (20 mg/ml) and thionin (20 mg/ml) (Quinn et al. 2002).

For histopathological analyses, tissue samples collected were immersed in 10% buffered formaldehyde solution. After fixation, tissues were trimmed, dehydrated and embedded in paraffin. Sections of 3µm thickness were obtained with a microtome and rehydrated by immersion in xylene and decreasing alcohol solutions andstained with haematoxylin and eosin following the standard procedures.

The results were analysed statistically by using the chi-square test for significance.

Ethics

Experiments with armadillos were performed in compliance with the regulations of the Institutional Animal Care and Use Committee (CICUAE) of INTA (66/2014). It should be noted that armadillois not an endangered species (Ojeda et al. 2012).

Results

All serological tests (BPA and FPA) were negative at 80, 49 and 32 days before inoculation, at the beginning of the experiment (day 0), and up to 10 days post- inoculation.

At day 17 post-inoculation, three inoculated animals tested positive (A1-B1-B3) and one noninoculated (B5) tested positive for the BPA test. The only exception was inoculated male (B2), which tested positive at day 25. The uninoculated armadillos, female (A2) and the young male (B4), did not develop infection and tested always negative.

The female that was pregnant at the time of the challenge (A1) had miscarriage 3 days after the inoculation. It was not possible to recover the foetuses to perform the corresponding bacteriological cultures. For FPA test inoculated males (B1) and (B3) and female (A1) showed positive titres at day 17. The other inoculated male (B2) showed positive values at day 25. With regard to the animals that were not inoculated, only the female (B5) showed positive result in FPA test at day 17.

In all animals that tested positive, the antibody titres steadily increased until the end of the trial. The animals inoculated by both routes conjunctival and oral (B1 and A1) showed the highest titres in the FPA test in the shortest period of time (Figure 1).

Figure. 1. Brucella antibody titres in serum of armadillos (mP-FPA values), uninoculated and inoculated with the strain of B. suis biovar 1, according to sex (A2 and B5: adult females uninoculated, A1: inoculated gravid female, B1, B2, B3: adult male inoculated, B4: juvenile male uninoculated.

The three males and two females that showed positive result in the serological brucellosis test were euthanized at day 55 post-inoculation. Macroscopic lesions were not observed in any of the necropsied animals. Brucella was isolated from the spleen, liver, and mesenteric lymph nodes of all the four inoculated animals as well as from the in-contact female (B5). The organism was also isolated from the uterus of both females that tested positive and from the vagina of the female who had miscarriage. Brucella was also isolated from three urine samples that were collected from armadillos (B5, A1 and B3). In only three animals (B2, B3 and B5), Brucella was isolated from the lungs. In addition, Brucella was isolated from the two samples of axillary lymph nodes (A1 and B5). With regard to the reproductive organs of the three males, Brucella was isolated from the epididymis tail of two males and from the bulbourethral glands of one male (Table I).

Table. I. Isolation of B. suis biovar 1 from different organs of seropositive armadillos.

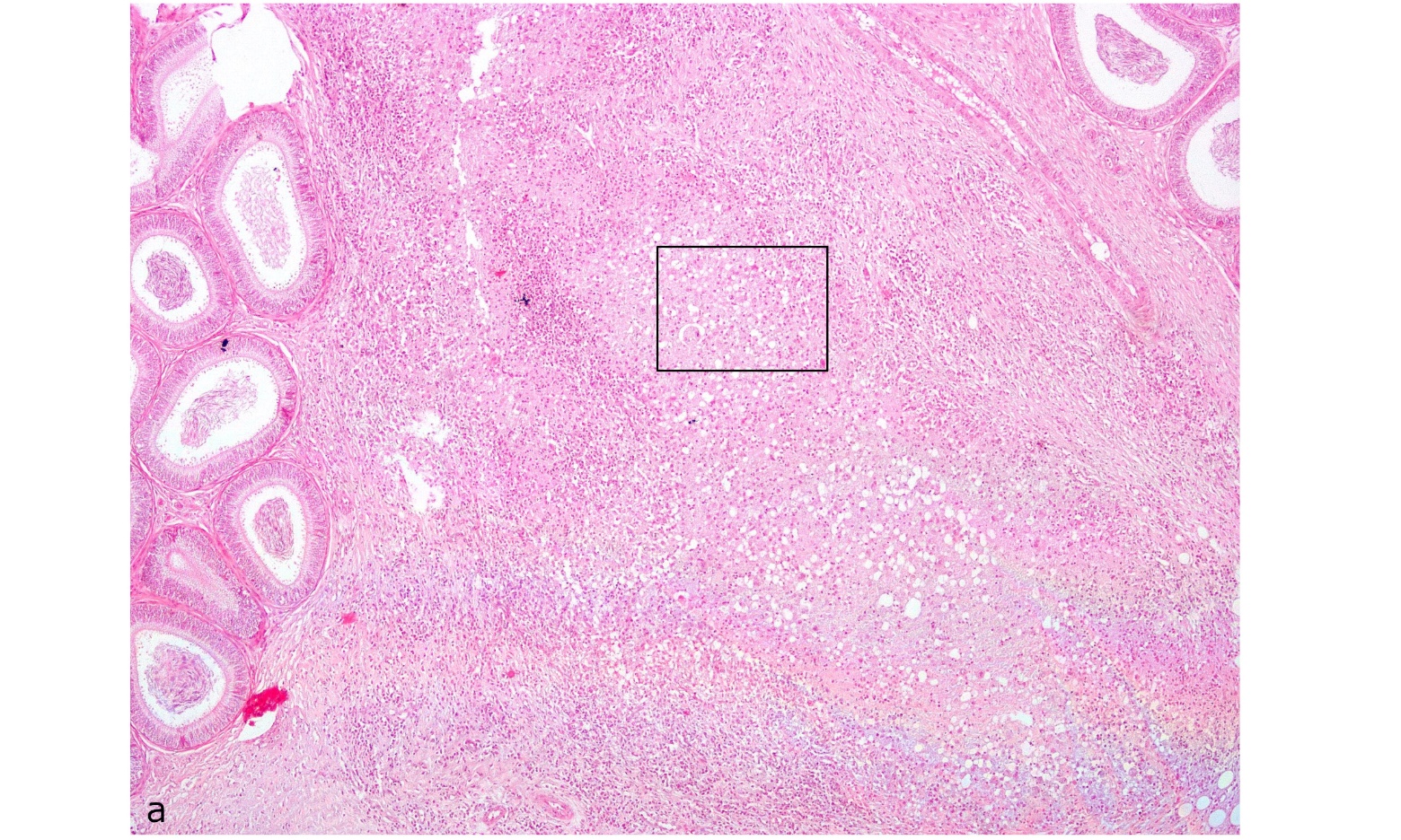
Figure. 2a. Testicle: Interstitial infiltration of eosinophilic material with macrophages, lymphocytes and few neutrophils composing granulomatous orchitis. Hematoxylin/eosin, 40x magnification.

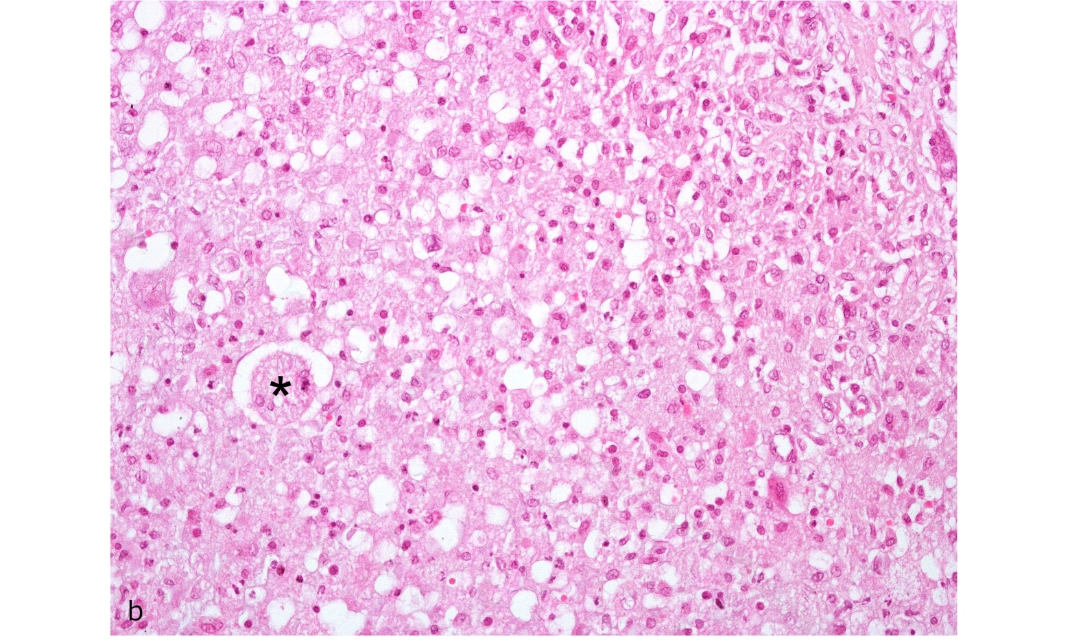
Figure. 2b. Testicle : Detail of boxed area in A showing giant cell (*) and granulomatous inflammatory infiltrate. Hematoxilin/eosin, 200X magnification.

Discussion

The sources and routes of B. suis infection in armadillos are unknown. Armadillo shares its natural habitat with domestic animals such as pigs, horses, and cattle as well as with other wildlife animals. Thus, armadillos could become infected through contact with these domestic or wild animals, including those in whom the presence of Brucella is still unknown. Given the high prevalence of Brucella found in the natural habitat of armadillos (16%, 24/150, Kin et al. 2014), it is possible that the infection was acquired through intraspecies transmission.

In the present study, the possibility of infecting armadillos with Brucella through both oral and conjunctival routes was confirmed. The transmission of the infection was also observed in an uninoculated female that shared the enclosure with three inoculated males. In addition, the study demonstrates that a pregnant female inoculated with Brucella through oral and conjunctival routes had miscarriage 3 days later; this finding suggests a relationship between abortion and Brucella infection. The pregnant female was in the last third of pregnancy (approximately between days 50 and 65). With regard to this early abortion, it is important to highlight that a hyperimmune reaction due to the high inoculation dose could be responsible for the abortion, rather than a typical inflammatory process elicited by the bacterium. It is also important to note that Brucella was found 55 days after inoculation in the uterus and vagina of this female.

The infection of the uninoculated adult female, which was kept in captivity with the three males that were experimentally infected, suggests possible contagion through the venereal route. Considering the presence of the organism in the uterus of female (B5) and in the epididymis tail of the inoculated males, we can speculate that sexual transmission of this organism it could be possible. In pigs transmission during copulation also occurs frequently, and B. suis excretion in semen has implications for those practising artificial insemination.

In pigs, after the initial bacteraemia, B. suis colonises cells of the reproductive tract of either sex. In females, placentas and fetuses are invaded, while in males, invasion occurs in one or more of the following: testes, prostate, epididymides, seminal vesicles or bulbo-urethral glands (WOAH 2021).

The significant difference (p ≤ 0.0003) observed at 17 days post inoculation in antibody titres between animals that were inoculated by both routes (oral and conjunctival) compared to those that received a single oral dose, is due to inoculum size. This indicates that the eye is also permeable to the passage of Brucella, allowing the bacteria to reach the bloodstream faster than through the oral route.

Contrary to the results observed in rabbits (Fort et al. 2012) infected with B. suis biovar 1, the inoculated armadillos did not show macroscopic lesions. In the histopathological studies, lesions were observed only in the epididymis tail of armadillo (B1); this was identical to the lesions observed in domestic species (Foster, 2007). The presence of Brucella in the epididymis and the lesions found in one of the infected animals could be associated with infertility problems in affected armadillos. No histopathological changes were observed in organs from armadillos (A1, B2, B3, and B5) or changes were too minor (e.g., slight infiltration of neutrophils or lymphocytes) to be associated with the infection. However, isolation of B. suis from most organs corroborated the presence of infection in these animals. The discrepancy in the lesions between species could be related to a variation in the pathogenesis of the infection. Future studies are needed to determine the pathology associated with long-term infection of B. suis in armadillos.

The positive urine culture of both male and females indicates that armadillos might not be occasional hosts of B. suis biovar 1, but rather sugges the possibility of horizontal transmission between them and to other species (Forbes and Tessaro 1993, Meng et al. 2009).

There is no available evidence indicating that armadillos can transmit brucellosis to domestic animals, humans, or other wildlife animals, nevertheless the high incidence of Brucella in armadillos (Kin et al. 2014) and the cultural practice of armadillo meat consumption indicate that this species could be a risk to humans as well as for domestic and wildlife animals in contact with them. Therefore, there is a need for epidemiological investigations at the wildlife/livestock/human interface to guide the development of effective control strategies for Brucella infection.

Conclusion

This study demonstrated that the armadillo acquires B. suis biovar 1 infection through both oral and conjunctival routes. Further, most of the armadillo organs studied were colonized by the bacteria for at least 55 days. While it was not possible to verify the occurrence of Brucella in aborted foetuses, its presence in the epididymis and uteri indicated its affinity to sexual organs, which could therefore cause reproductive problems in the infected animals. The shedding of Brucella through urine is another important factor that should be considered as a route of transmission not only to armadillos but also to other animal species, and especially to humans.

Acnowledgments

The authors would like to acknowledge the National Institute of Agricultural Technology (INTA) Anguil for providing the fund as a part of PAMSL – 1282102 project and Research project Universidad Nacional de La Pampa (UNLPam) PB 208 Res CS 161/09.

The authors would like to thank Virginia Bermejo for her support in developing the histopathological tests.

References

Baldone V.N., Fuchs L.I., Fort M.C., Rojas M.C., Bedotti D.O., Samartino L., Giménez H.D. & Kin M.S. 2007. Presence of antibodies against Brucella in the European hare (Lepus europaeus, Pallas 1778) in the province of La Pampa, Argentina. (Presencia de anticuerpos contra Brucella en la liebre europea (Lepus europaeus, Pallas 1778) en la provincia de La Pampa, Argentina). Rev Med Vet, 88, 242-245.

Cook D.R. & Noble J.W. 1984. Isolation of Brucella suis from cattle. Aust. Vet. J, 61, 263-264.

Corn J.L., Swiderek P.K., Blackburn B.O., Erickson G.A, Thiermann A.B. & Nettles V.F. 1986. Survey of selected diseases in wild swine in Texas. J Am Vet Med Assoc, 189, 1029-1032.

Ewalt D.R., Payeur J.P., Rhyan J.C. & Geer P.L. 1997. Brucella suis biovar 1 in naturally infected cattle: a bacteriological, serological and histological study. J Vet Diagn Invest, 9, 417-420.

Forbes L.B. & Tessaro S.V. 1993. Transmission of brucellosis from reindeer to cattle. J Am Vet Med Assoc, 203, 289-294.

Fort M., Baldone V., Fuchs L., Giménez H., Rojas M., Breccia J.D. & Oyhenart J. 2012. Experimental infection of rabbits (Oryctolagus cuniculus) with Brucella suis biovar 1 isolated from wild hares (Lepus europaeus). Vet Microbiol, 156, 439-442.

Foster R.A. 2007. Chapter 19: Male reproductive system, In: Mc Gavin MD, Zachary JF. Pathologic basis of veterinary disease. Mosby-Elsevier, St. Louis, Missouri, 4 ed. 1476.

Fuchs L., Baldone V., Fort M., Rojas M.C., Samartino L. & Giménez H. 2009. Brucellosis in the pampas gray fox (Pseudalopex gymnocercus) in the province of La Pampa (Argentina). (Brucelosis en el zorro gris pampeano (Pseudalopex gymnocercus) en la provincia de La Pampa (Argentina)). Acta Bioquím Clín Latinoam, 43, 227-231.

Godfroid J., Cloeckaert A., Liautard J.P., Kohler S., Fretin D., Walravens K., Garin-Bastuji B. & Letssn J.J. 2005. From the discovery of the Malta fever’s agent to the discovery of a marine mammal reservoir, brucellosis has continuously been a reemerging zoonosis. Vet Res, 36, 313-326.

Godfroid J., Nielsen K. & Saegerman C. 2010. Diagnosis of Brucellosis in Livestock and Wildlife. Croat Med J, 51, 296-305.

Godfroid J., Scholz H.C., Barbier T., Nicolas C., Wattiau P., Fretin D., Whatmore A.M., Cloeckaert A., Blasco J.M., Moriyon I., Saegerman C., Muma J. B., Al Dahouk S., Neubauer H. & Letesson J.J. 2011. Brucellosis at the animal ecosystem human interface at the beginning of the 21st century. Prev Vet Med, 102, 118-131.

Kin M.S., Fort M., de Echaide S.T. & Casanave E.B. 2014. Brucella suis in armadillos (Chaetophractus villosus) from La Pampa, Argentina. Vet Microbiol, 170, 442-445.

Kin M.S., Giménez H. & Fort M.C. 2018. Technique of fluorescence polarization for the diagnosis of Brucella in Chaetophractus villosus (La técnica de polarización fluorescente para el diagnóstico de Brucella en Chaetophractus villosus). Acta Bioquím Clín Latinoam, 52, 61-64.

Lord V.R. & Lord R.D. 1991. Brucella suis infections in collared peccaries in Venezuela. J Wildl Dis, 27, 477-481.

Lucero N.E., Ayala S.M., Escobar G.I. & Jacob N.R. 2008. Brucella isolated in humans and animals in Latin America from 1968 to 2006. Epidemiol Infect, 136, 496-503.

Meng X.J., Lindsay D.S. & Sriranganathan N. 2009. Wild boars as sources for infectious diseases in livestock and humans. Philos Trans R Soc Lond B Biol Sci 364, 2697-2707.

WOAH, Manual of Diagnostic Tests and Vaccines for Terrestrial Animals 2021 - Chapter 3.1.4. Brucellosis (infection with Brucella abortus, B. melitensis and B. suis) (version adopted in May 2016), 355-398.

Ojeda R.A., Chillo V. & Díaz Isenrath G.B. Eds. 2012 Red Book of Endangered Mammals of Argentina. SAREM, Argentina, Libro rojo de Mamíferos amenazados de la Argentina. SAREM, Argentina, 63.

Quinn P.J., Carter M.E., Markey B.K. & Carter G.R. 2002. Clinical Veterinary Microbiology”, (ed.) Mosby International Limited, 648.

Ramamoorthy S., Woldemeskel M., Liggett A., Snider R., Cobb R. & Rajeev S. 2011. Brucella suis Infection in Dogs, Georgia, USA. Emerg Infect Dis, 17, 2386-2387.

Samartino L.E. 2002. Brucellosis in Argentina. Vet Microbiol, 90, 71-80.

Szyfres B., González Tomé J. & Palacio Mendieta T. 1968. Isolation of Brucella suis from the free European (Lepus europaeus) in Argentina. (Aislamiento de Brucella suis de la libre europea (Lepus europaeus) en la Argentina). Bol of Sanit Panam, 441- 445.

Whatmore A.M., Shankster S.J., Perrett L.L., Murphy T.J., Brew S.D., Thirlwall R.E., Cutler S.J. & Macmillan A.P. 2006. Identification and characterization of variable-number tandem-repeat markers for typing of Brucella spp. J Clin Microbiol, 44, 1982-1993.

Downloads

Published

2024-08-09

How to Cite

Kin, M. S., Gimenéz, H. D. ., Delgado, F. ., Samartino, L., Casanave, E. B. ., & Fort, M. (2024). Pathogenesis of Brucella suis biovar 1 in the armadillo (Chaetophractus villosus) . Veterinaria Italiana, 60(3). https://doi.org/10.12834/VetIt.3007.25510.2

Issue

Topics*

Special Issue Brucellosis