Evaluation of the efficacy of a new inactivated vaccine against Staphylococcus aureus, Echerchia coli and Mycoplasma bovis mastitis in cows

Mucche, vaccino inattivo, mastite

Authors

  • Hilal Zengin Dollvet Biotechnology Inc. Sanliurfa Turkey https://orcid.org/0000-0002-6611-2481
  • Zeliha Keskin Alkaç Department of Pharmaceutical Toxicology, Faculty of Pharmacy, Firat University, Elazig, Turkey https://orcid.org/0000-0003-4914-3152
  • Yaser Vezir Dollvet Biotechnology Inc. Sanliurfa Turkey https://orcid.org/0000-0002-9326-2186
  • Sadettin Tanyıldızı Department of Pharmacology and Toxicology, Faculty of Veterinary Medicine, Firat University, Elazig, Turkey
  • Fatih Ahmet Korkak Department of Pharmacology and Toxicology, Faculty of Veterinary Medicine, Firat University, Elazig, Turkey
  • Betül Dağoğlu Hark Department of Biostatistics, Faculty of Medicine, Firat University, Elazig, Turkey https://orcid.org/0000-0002-5189-1929
  • Gurdal Dagoglu Department of Pharmacology and Toxicology, Faculty of Veterinary Medicine, Firat University, Elazig, Turkey

DOI:

https://doi.org/10.12834/VetIt.3083.21855.3

Keywords:

Cows, inactive vaccine, mastitis

Abstract

Staphylococcus aureus, Escherichia coli and Mycoplasma bovis are the most commonly isolated mastitis pathogens. The aim of this study was to evaluate the efficacy of a new mixed vaccine against mastitis caused by  Staphylococcus aureus, Escherichia coli, and Mycoplasma bovis. For this purpose, a mixed inactivated vaccine was administered subcutaneously to 24 heifers as one dose (2 mL) on the 45th day before birth and the second dose 21 days later. In 9 heifers, 2 mL of PBS was administered as placebo instead of vaccine. Then, heifers were divided into 3 groups as 7 vaccinated and 3 unvaccinated animals. Staphylococcus aureus, Escherichia coli, and Mycoplasma bovis were administered to the groups through intramammary route. Three vaccinated heifers were considered the common control without bacteria in all groups. The parameters considered to assess the effect of vaccination were clinical findings, bacterial count in milk, somatic cell count, and antibody titers. Clinical signs were observed only in the unvaccinated placebo group. Bacteria count and somatic cell count in milk increased in vaccinated and unvaccinated heifers. However, this increase was less in vaccinated animals and gradually returned to the normal level. In the unvaccinated heifers, it was ever high. Serum antibody titers were measured before and after vaccination. Antibody titers were high in vaccinated heifers after vaccination and were negative in unvaccinated heifers. In conclusion, the mixed vaccine had beneficial effect against Staphylococcus aureus, Escherichia coli, and Mycoplasma bovis mastitis and stimulated the immune response of vaccinated heifers.

Introduction

Mastitis, which causes serious economic losses in dairy cows, is primarily a mammary inflammation caused by environmental bacterial factors (Gurjaret al., 2013, Olde et al., 2008, Sayed, 2014). The main agents causing mastitis are Staphylococcus aureus, Streptococcus dysgalactiae, Streptococcus uberis, Streptococcus agalactiae, Mycoplasma bovis, and Escherichia coli (Sayedet al. 2014, Sayed et al. 2016, Blowey et al. 2010). S. aureus, S. epidermidis, S. agalactiae, S. dysgalactiae, S. uberis, Actinomyces pyogenes, E. coli, C. bovis, P. multocida, B. subtilis, B. cereus, and Micrococcus spp. are the most common cause of mastitis in Turkey (Türkyılmaz et al. 2010). Clinical mastitis is characterized by fever, loss of appetite, dehydration, clots and blood in milk. Staphylococcical mastitis constitute 60-65% of clinical and 80-85% of subclinical forms (Gurjar et al. 2013). Mastitis caused by M. bovis has caused significant outbreaks in the USA and Europe. Outbreaks often result from bringing diseased dairy cows to a farm and poor hygienic practices helping maintain inter-cow transmission. In order to design preventive measures and stop future outbreaks, effective vaccines are needed on dairy farms (Gelgie et al. 2022, Rainard et al. 2021, Rainard et al. 2022).

The protection of animals needs against mastitis because the milk of infected animals is inconvenient to use for human health and feeding infants (Chu et al. 2011). Various preventive strategies were implemented to minimize the prevalence of bovine mastitis, including optimization of milking procedures and milking hygiene, antibiotic treatments, vaccinations, and removal of infected cows (Zecconi et al. 2003, Cote-Gravel et al. 2010). However, mastitis remains a major disease in dairy farms, and because of the high costs of clinical mastitis, reducing the severity of mastitis symptoms and enabling faster clearance of established infections has great importance to dairy farmers (Gurjar et al. 2013, Mella et al. 2017).

In recent years, the importance of vaccination has increased to prevent infectious mastitis. Vaccination against mastitis pathogens can be used as a complement to traditional control programs based on hygiene and management. Mastitis vaccines can generally be administered 2 months before calving in pregnant heifers and at any time in cows. It is recommended to do 2 booster doses and repeat every 6 months. Today, there are vaccines used against S.aureus and E. coli mastitis alone in various countries (Bradley et al. 2015, Dego 2020, Piepers et al. 2017, Middleton et al. 2006). Combined vaccines against S. aureus and E. coli are also available (Freick et al. 2016). In addition, there is a vaccine developed against S. uberis and this vaccine has been reported to be partially effective. The effectiveness of theses vaccines is variable (Collado et al., 2018). Strain variation, the presence of exopolysaccharide (capsule, slime, biofilm) layer in most pathogenic bacterial strains (Staph. aureus, Strep. uberis), which prevents recognition of antibody-coated bacteria by phagocytic cells, dilution of immune effectors by milk, and the interaction between milk components and immune effectors are some of the problems preventing the successful development of effective mastitis vaccines (Dego 2020). As mastitis is caused by more than one agent, the vaccination against a single agent cannot provide full protection. Therefore, we think that combined vaccines will provide more effective protection against mastitis.

The purpose of the present study was to evaluate the effectiveness of the combined vaccine that was prepared from S. aureus, E. coli, and M. bovis strains against mastitis caused by these factors (by measuring antibody titers in blood serum samples and microbiological examinations) in target animals.

Material and methods

Bacterial strain for vaccine development

Field strains of S. aureus, E. coli, and M. bovis isolated from subclinical bovine mastitis in Sanliurfa were used for the selection of the vaccine isolates. The strains were analyzed at the Research and Development Laboratory of Dollvet Biotechnology Inc. The selected challenge strain of S. aureus was isolated from milk samples of heifers with mastitis and identified by selective medium cultivation, biochemical analysis, and polymerase chain reaction (PCR), and pathogenicity in mice was studied. The selected challenge strain of E. coli was isolated from milk samples of a heifer with mastitis in Sanliurfa and virulence assays were performed on mice, identification by cultivation of selective mediums, Gram staining, biochemical assays and PCR were provided. The challenge strain of M. bovis was provided by Pendik Institute. Identification by PCR was performed and pathogenicity was assayed on mice. All characterized strains were found to belong to the same group and lacked considerable genetic variance. The vaccine, an inactivated bacterin, was produced in the same laboratory using production specific corporation guidelines and a 2 mL dose of the vaccine contains 1x109 Colony Forming Unit (CFU) of the inactivated bacterins of S. aureus, E. coli, and M. bovis as evaluated before inactivation (Mastidoll-3, Dollvet Biotechnology Inc).

Challenge strain

For the challenge study, pathogenic field strains of S. aureus, E. coli, and M. bovis isolated from clinical mastitis in a dairy herd in Sanliurfa were used.Centrifuging at 3000 x g for 15 min at 4°C was used to harvest each strain after culturing in Heart Brain Infusion Broth (Difco, USA) for 24 hours at 37°C.The pellet was cleaned and reconstituted in non-pyrogenic PBS (pH 7.6), and successive dilutions on blood-agar plates were used to assess the bacterial concentration.

Pathogenicity study

The ability of these strains to cause clinical mastitis in dairy heifers was evaluated in a short experimental study. For this, 9 heifers in their first lactation cycle, without any clinical or subclinical mastitis were used. Animals were divided into 3 groups each with 3 animals, which were infected by the intramammary route in 3 quarters with the challenging S. aureus, E. coli and M. bovis respectively. The challenging dose was 1 mL containing 103 CFU.

Parameters examined in animals after the pathogenicity study were rectal temperature, appearance of milk, bacterial count in milk samples, somatic cell count, and general clinical signs.

Animals

A total of 33 healthy Holstein Friesian pregnant heifers free of intramammary illnesses were used in the trial at the Dollvet Biotechnology Inc. Station in Sanliurfa, as determined by three negative bacterial cultures. Ethics committee approval for this experimental study was obtained from Dollvet Biotechnology Inc Animal Experiments Local Ethics Committee, with the decision dated 2022 and numbered 3.

Experimental design

A total of 33 heifers that were 22 months old were used in this study, 24 heifers were vaccinated subcutaneously with 2 mL of Mastidoll-3 vaccine on the 45th day before calving. A second dose of vaccine was given to the same animals 21 days after the first vaccine (2 mL dose, subcutaneously). Nine animals were not vaccinated and received 2 mL of PBS as a placebo. The animals were then divided into 3 groups, with 7 vaccinated and 3 unvaccinated heifers in each group. One mammary lobe of 7 vaccinated and 3 unvaccinated heifers in the first group have been challenged with 1 mL of S. aureus (1x103 bacteria/mL) intramammary route 15-25 days after birth. One mammary lobe of 7 vaccinated and 3 unvaccinated heifers in the second group have been challenged with 1 mL of E. coli (1x103 bacteria/mL) intramammary route 15-25 days after birth. Likewise, one mammary lobe of 7 vaccinated and 3 unvaccinated heifers in the third group have been challenged with 1 mL of M. bovis (1x103 bacteria/mL) intramammary route. The other three vaccinated animals did not receveid bacteria. These three animals vaccinated but not given the bacteria were considered the joint control of all groups. The infected animals were checked for clinical signs, the physical appearance of milk, the appearance of the udder, bacterial count, and somatic cell count for 96 hours. Antibodies to S. aureus, E. coli and M. bovis were investigated by taking blood samples from vaccinated and unvaccinated heifers on day 0 before vaccination and 15 days after the second vaccination.

Clinical examination

One day before challenge 24, 48, 72, and 96 hours after the challenge the body temperature, the appearance of the milk, the bacteria count and the count of somatic cells were examined. The scoring system was based on local udder symptoms, giving 0-7 points to the severity of clinical signs of vaccinated and unvaccinated heifers after loading. Animals with a total score of 0-2 were classified as mild, 3-4 as moderate and 5-7 as severe clinical mastitis (Wenz et al. 2006).

Bacteriological analysis

For bacteriological examination, quarter-day fore milk samples were aseptically collected from all heifers for the isolation of S. aureus, E. coli, and M. bovis before challenge 0th hour and up to the 96th hour after the challenge, and bacteriological analyzes were performed.

S. aureus counts in milk: 90 mL of 0.1% saline peptone water was added to 10 mL of milk sample. The mixture was then homogenized for 2 minutes. After homogenization, decimal dilutions were made with peptone water from the mixture, and they were inoculated on Baird Parker (BP) Agar (Oxoid CM 0275, egg yolk tellurite supl. SR 0054) plates by drop plate method. Plates were incubated at 37°C under aerobic conditions for 24-48 hours. After incubation, the colonies grew on the plates were counted (Yıldırım et al. 2016).

E. coli counts in milk: 9 mL of physiological saline was put into 1 mL of milk sample, from which 103 dilutions were prepared. 0.01 mL of this dilution was taken and inoculated on Eosin Methylene Blue agar (EMB) and Violet Red Bile agar (VRB) medium. The samples were incubated for 24-48 hours at 37°C. Colonies were counted at the end of incubation (Causins and Bramley, 1983)

M. bovis counts in milk: After the milk samples were centrifuged at 3000 x g for 5 minutes, the sediment was seeded into Mycoplasma Supplement G (Oxoid-SR0059C) containing Mycoplasma Agar Base (Oxoid®- CM0401B). After the medium was incubated for 24 hours at 37 ºC aerobic conditions, the colonies were counted (Büyükcangaz et al. 2012).

Somatic cell count

The milk samples of all heifers before and up to 96 hours after the challenge were collected into disposable plastic bottles (50 mL). The milk somatic cell count was analyzed using an automatic somatic cell counting device (DeLaval Cell Counter DCC®, Sweden) and a counting cassette (DeLaval Cell Counter Cassettes: 92865881). All steps of the analysis were carried out according to the manufacturer's instructions (DeLaval 2009).

Serum antibody detection

S. aureus antibody (Mella et al. 2017), E. coli antibody (Gurjar et al. 2013), and M. bovis antibody (Register et al. 2013) in serum were determined in all animals before immunization (0. day) and 15 days after second immunization using homemade ELISA test.

Statistical analysis

All analyses were performed using SPSS Statistics Version 22.0 statistical software package. For the comparison of continuous variables between two groups, the Student's t-test was used. Values for all parameters were presented as mean ± standard deviation (mean ± SD). The statistical level of significance for all tests was considered to be p < 0.05.

Results

Bacterial strain for vaccine development

S. aureus bacterial morphology on blood agar; Gram-positive, grape bunch-shaped cocci. Colony morphology; shiny, pearly white, colony convex and beta positive. Biochemically; catalase, coagulase, glucose, maltose, lactose and mannitol are positive, starch and oxidase are negative. E. coli bacterial morphology on blood agar; Gram-negative, random rods. Colony morphology; opaque, colony is round with raised and hemolysis is absent. Biochemically; Indole, ONPG, methyl red, lysine, acetate, orthinin, lactose, sucrose, glucose, arabinose, rhamnose, sorbitol positive, citrate, oxidase, VP, urease negative. M. bovis colony morphology on Hayflick agar; transparent small and round colony shape was observed. Biochemically; Phosphatase, film formation positive, arginine, urease, glucose and casein negative.

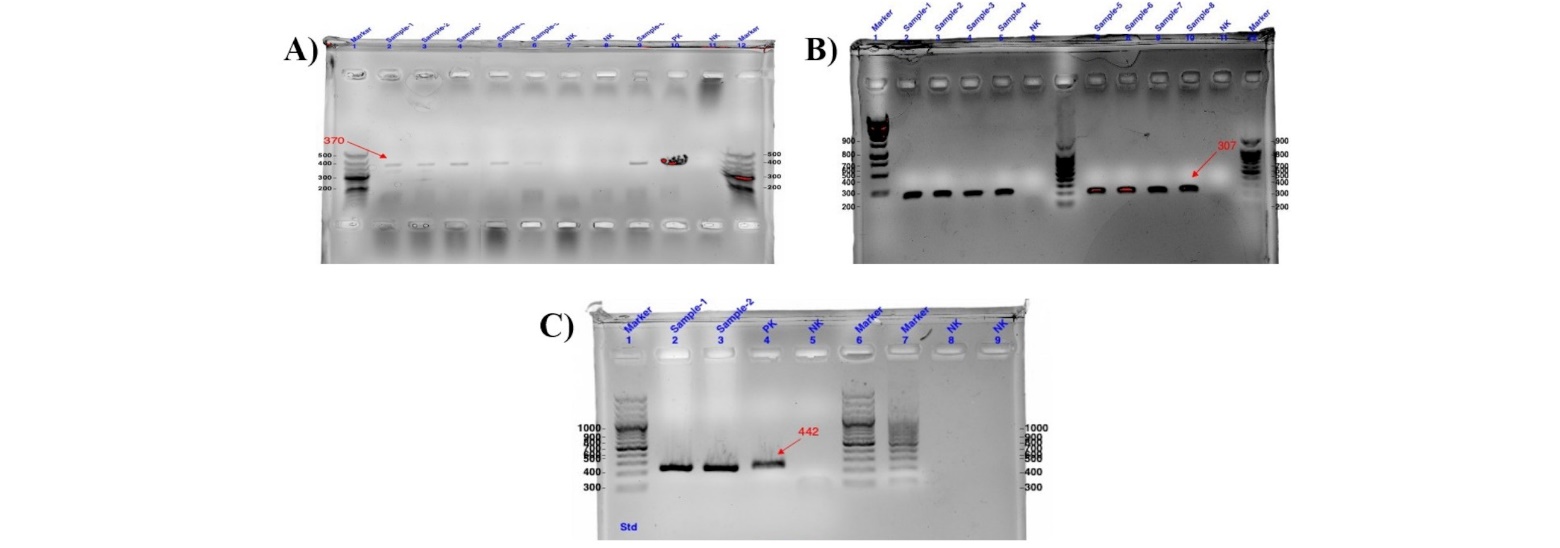
S. aureus specific bands in the collected samples were detected at 370 bp against the DNA loaders, while no bands were detected in the negative samples as well negative control electrophoresis results are demonstrated in the figure 1A. E. coli TraT gen specific bands in the collected samples were detected at 307 bp against the DNA loaders, while no bands were detected in the negative samples as well negative control electrophoresis results are demonstrated in the figure 1B. M. bovis PpSM5 specific bands in the collected samples were detected at 442 bp against the DNA loaders, while no bands were detected in the negative samples as well negative control electrophoresis results are demonstrated in the figure 1C.

Figure. 1 S. aureus, E. coli and M. bovis specific amplicons on agarose gel (PCR)

Pathogenicity study

The findings of the pathogenicity study are given in Table 1 separately for each bacterium. The rectal temperature increased significantly after intramammary loading with S. aureus, E. coli, and M. bovis compared to before loading. After intramammary challenge with S. aureus, E. coli and M. bovis clinical signs of mastitis were recorded with forming of clots in the milk 48 hours’ post-inoculation in all the inoculated quarters in all heifers. The correlation between the bacterial count and somatic cell count in milk and clinical signs of mastitis was significant and an increase in these parameters was detected in all inoculated quarters from 48 hours after challenge. Daily milk production was reduced 1 and 2 days post-challenge. All these findings demonstrated the ability of the test strains to cause subacute clinical mastitis in infected neighborhoods.

Table. I Average results of studying the capability of S. aureus, E. coli and M. bovis test strains for inducing mastitis in milking heifers

Clinical examination

Table. II Results of challenging with test strain of S. aureus in vaccinated, placebo and controlled heifers. N= normal, S= swelling, S. aureus test strain: Group vaccinated with Mastidoll-3 for 2 doses and challenged with S. aureus after birth, Control: Group vaccinated with 2 doses of Mastidoll-3 but not challenged with S. aureus after birth, Placebo: Group unvaccinated but challenged with S. aueus after birth.

Table. III Results of challenging with test strain of E. coli in vaccinated, placebo and controlled heifers. N= normal, S= swelling. E. coli test strain: Group vaccinated with Mastidoll-3 for 2 doses and challenged with E. coli after birth, Control: Group vaccinated with 2 doses of Mastidoll-3 but not challenged with E. coli after birth, Placebo: Group unvaccinated but challenged with E. coli after birth.

Table. IV. Antibody values in serum of combined mastitis vaccine vaccinated and unvaccinated placebo heifers.

Bacteriological analysis

Animals vaccinated with inactivated vaccine had lower bacterial counts in milk compared with placebo (p<0.05). The proliferation of challenge strains was observed in the mammary gland. The number of CFU per mL milk in vaccinated and unvaccinated animals increased 24 hours after the challenge, decreased after 48 hours in vaccinated animals, and reached undetectable levels after 96 hours (Figure 2, Figure 3, Figure 4). In the unvaccinated placebo group, the CFU count in milk remained at high levels. There was no significant increase in somatic cell count in the unchallenged quarters of vaccinated heifers (Figure 2, Figure 3, Figure 4).

Figure. 2 The microbiological results in the milk of heifers infected with S. aureus strains (cfu/mL).

Figure. 3 The microbiological results in the milk of heifers infected with E. coli strains (cfu/mL).

Figure. 4 The microbiological results in the milk of heifers infected with M. bovis strains (cfu/mL).

Somatic cell count

Somatic cell count after S. aureus, E. coli and M. bovis challenge was significantly different overall between vaccinated and unvaccinated placebo heifers (p<0.05) (Figure 5, Figure 6, Figure 7). Before the challenge, all mammary quarters of vaccinated and non-vaccinated heifers had low and close cells/mL. However, somatic cell counts increased from 24th hours post-challenge in vaccinated and unvaccinated placebo animals. Began to decrease from 72nd hours only among vaccinated heifers. Cell counts were always higher in the placebo group. There was no difference in somatic cell count in milk samples from vaccinated unchallenged quarters and unchallenged control groups (p>0.05).

Figure. 5 Means of somatic cell count after challenge with S. aureus of vaccinated and control heifers (Cell/mL).

Figure. 6 Means of somatic cell count after challenge with E. coli of vaccinated and control heifers (Cell/mL).

Figure. 7 Means of somatic cell count after challenge with M. bovis of vaccinated and control heifers (Cell/mL).

Serum antibody detection

Serum antibody titers in the placebo group were negative at both times studied. In the vaccinated group, while the serum antibody titers were negative before the vaccine, they were 7-8 times higher 15 days after the second vaccine. It was significantly higher in the vaccinated group on the 15th day than in the placebo group (p<0.05) (Table 5).

Discussion

Subclinical and clinical mastitis are the most common and costly diseases in dairy farms. In the treatment of infectious mastitis, vaccination is an effective approach for protection and control due to antimicrobial resistance and drug residues in milk (Pellegrino et al. 2010, El-Sayed et al. 2021, Dego 2020). Vaccination is usually done against one of the bacterial agents that cause mastitis (Denis et al. 2009).

In this study, the effectiveness of the combined inactivated vaccine developed against S. aureus, E. coli, and M. bovis bacteria, which are the most common causes of mastitis, was evaluated. For this purpose, two doses of vaccine were administered 45 and 24 days before delivery to reach high antibody levels in the first month after birth, when the susceptibility to intramammary infections is high.

We report that the tested vaccine is safe because no negative effects were noticed in vaccinated animals. High fever was observed in unvaccinated animals after the challenge with S. aureus, E. coli, and M. bovis. Therefore, fever can be considered an indicator of intramammary infection in this study. In contrast to the unvaccinated animals, the mammary quarters in the majority of the vaccinated animals did not exhibit any clinical indications of mastitis. These findings are consistent with recent research showing that vaccination can prevent the emergence of both clinical signs and initial subclinical mastitis infections (Middleton et al. 2006, Mella et al. 2017, Pankey et al. 1985, Watson 1992, Watson et al. 1996). The reduction in the severity of symptoms in mastitis is probably mediated by antibodies that neutralize bacterial toxins, and this effect is most easily achieved with vaccination (Rainard et al. 1991).

According to Mella et al. the number of S. aureus bacteria in milk was lower in heifers vaccinated against S. aureus than in unvaccinated heifers (Mella et al. 2017). In another study, it was reported that the number of S. aureus bacteria was higher in unvaccinated heifers than in vaccinated heifers (Pellegrino 2010). Similar to the results of other investigators, in the current study the bacterial count in milk after the challenge with S. aureus, E. coli, and M. bovis was higher in the unvaccinated placebo group than in the vaccinated group. The tested vaccine containing the inactivated S. aureus, E. coli, and M. bovis showed protection against the challenge strains, as the immunized animals had lower bacterial counts than the placebo group during the post-challenge phase of the study. These results are consistent with the results of other vaccine studies against S. aureus (Mella et al. 2017, Pellegrino et al. 2008).

There has been discussion regarding how vaccinations affect somatic cells in milk. After the teat barrier, neutrophils, the primary somatic cell component in milk, is the udder's second line of defense against an intramammal infection brought on by a microbial invasion. Therefore, it would not be wrong to expect an increase in the number of somatic cells in vaccinated and unvaccinated heifers after S. aureus, E. coli, and M. bovis challenge. However, this increase is expected to be higher in unvaccinated animals. Post-challenge somatic cell counts increased in the vaccinated group but decreased significantly at the 96th hour. However, the somatic cell count was high in the unvaccinated placebo group until the end of the follow-up period, probably because the udders of vaccinated animals are healthier. Our findings are in agreement with Leitner et al. (2003), Mella et al. (2017), Pankey et al. (1985), Pellegrino et al.’s (2008) findings.

In order to determine the immune response of vaccinated animals against S. aureus, E. coli, and M. bovis, serum samples taken from all heifers before vaccination (day 0) and 15 days after the second vaccination, and antibody titers specific to these bacteriawere investigated. Serum antibodies to S. aureus, E. coli, and M. bovis of unvaccinated animals in this study were ever negative. Heifers vaccinated with the combined inactivated vaccine were negative before the vaccine (day 0), while three bacterial antibodies were positive on the 15th day after the second vaccine. When clinical findings (fever, local inflammation in the udder), bacterial count in milk, somatic cell count and, serum antibody titers are evaluated after bacterial challenge to vaccinated and unvaccinated heifers; there seems to be a close relationship between serum antibody titers and infection status. Gurjar et al. (2013) reported that the J-5 mastitis vaccine increased the serum total antibody level in E. coli mastitis at significant levels and that the vaccine reduced the clinical symptoms of mastitis. Mella et al., (2017) reported that inflammatory reactions were reduced in vaccination with S. aureus. Sayed et al. (2016) reported that the severity of clinical symptoms was low and the immune response was higher in animals vaccinated with S. aureus, S. agalactiae, and E. coli strains. These findings allowed a comparison of the probability of infection between vaccinated and unvaccinated heifers. These results suggest that, as other researchers (Mella et al. 2017, Wagter et al. 2000, Thompson-Crispi et al. 2012) reported, the tested vaccine may provide some immunity due to increased blood antibodies. According to the results obtained in the present study, it has been concluded that the new mixed inactivated vaccine can stimulate the humoral immune response by inducing high-level serum antibodies against mastitis caused by S. aureus, E. coli, and M. bovis in vaccinated heifers, and this may have beneficial impacts on the mammary gland and reduce clinical symptoms. These results are in line with the results of other studies reporting that vaccination can reduce both the development of clinical symptoms and new subclinical mastitis infections.

Availability of data and material

The data that support the findings of this study are available on request from the corresponding author.

References

Büyükcangaz E., Mat B., Khider M. & Ahmed M.K.A.A. 2012. Subklinik mastitisli sığır sütlerinin mikrobiyolojik analizi ve izolatların antimikrobiyal direnç profili. Uludag Univ J Fac Vet Med, 31 (2), 35-44.

Blowey R., & Edmonson P. 2010. Mastitis control in dairy herds. Second Edition CAB International. Wallingford. UK.

Bradley A.J., Breen J.E., Payne B., White V. & Green M.J. 2015. An investigation of the efficacy of a polyvalent mastitis vaccine using different vaccination regimens under field conditions in the United Kingdom. J Dairy Sci, 98 (3), 1706-1720.

Causins C.M. & Bramley A.J. 1983. The microbiology of raw milk. Dairy Microbiology, 1, 119-164.

Cha E., Bar D., Hertl J.A., Tauer L.W., Bennett G., Gonzalez R.N., Schukken Y.H., Welcome F.L. & Gröhn Y.T. 2011. The cost and management of different types of clinical mastitis in dairy heifers estimated by dynamic programming. J Dairy Sci, 94 (9), 4476-4487.

Collado R., Montbrau C., Sitja M. & Prenafeta A. 2018. Study of the efficacy of a Streptococcus uberis mastitis vaccine against an experimental intramammary infection with a heterologous strain in dairy cows. J Dairy Sci, 101 (11), 10290-10302.

Côté-Gravel J. & Malouin F. 2019. Symposium review: Features of Staphylococcus aureus mastitis pathogenesis that guide vaccine development strategies. J Dairy Sci, 102 (5), 4727-4740.

Dego O.K. 2020. Current status of antimicrobial resistance and prospect for new vaccines against major bacterial bovine mastitis pathogens. Animal Reproduction in Veterinary Medicine, (F. Aral, R. Payan-Carreira & M. Quaresma, eds). Published in London, 183-210.

DeLaval (2009). Kullanım kılavuzu. DeLaval hücre sayıcı DCC.

Denis M., Wedlock D.N., Lacy-Hulbert S.J. & Hillerton J.E. 2009. Vaccines against bovine mastitis in the New Zealand context: what is the best way forward? N Z Vet J, 57 (3),132-140.

El-Sayed A. & Kamel M.S. 2021. Bovine mastitis prevention and control in the post-antibiotic era. Trop Anim Health Prod, 53, 236.

Freick M., Frank Y., Steinert K., Hamedy A., Passarge O. & Sobiraj A. 2016. Mastitis vaccination using a commercial polyvalent vaccine or a herd-specific Staphylococcus aureus vaccine. Tierärztliche Praxis G: Großtiere/Nutztiere, 44, 219-229.

Gelgie A.E., Korsa M.G. & Dego O.K. 2022. Mycoplasma bovis mastitis. Curr Res Microb Sci, 3, 100123.

Gurjar A.A., Klaessig S., Salmon S.A., Yancey R.J. & Schukken Y.H. 2013. Evaluation of an alternative dosing regimen of a J-5 mastitis vaccine against intramammary Escherichia coli challenge in nonlactating late-gestation dairy cows. J Dairy Sci, 96 (8), 5053-5063.

Leitner G., Lubashevsky E., Glickman A., Winkler M., Saran A. & Trainin Z. 2003. Development of a Staphylococcus aureus vaccine against mastitis in dairy cows. I. Challenge trials. Vet Immunol Immunopathol, 93 (1-2), 31-38.

Mella A., Ulloa F., Valdes I., Olivares N., Ceballos A. & Kruze J. 2017. Evaluation of a new vaccine against Staphylococcus aureus mastitis in dairy herds of southern Chile. I. Challenge trial. Austral J Vet Sci, 49 (3), 149-160.

Middleton J.R., Ma J., Rinehart C.L., Taylor V.N., Luby C.D. & Steevens B.J. 2006. Efficacy of different Lysigin formulations in the prevention of Staphylococcus aureus intramammary infection in dairy heifers. J Dairy Res, 73 (1), 10-19.

Olde Riekerink R.G.M., Barkema H.W., Kelton D.F. & Scholl D.T. 2008. Incidence rate of clinical mastitis on Canadian dairy farms. J Dairy Sci, 91 (4), 1366-1377.

Pankey J.W., Boddie N.T., Watts J.L. & Nickerson S.C. 1985. Evaluation of protein A and a commercial bacterin as vaccines against Staphylococcus aureus mastitis by experimental challenge. J Dairy Sci, 68 (3), 726-731.

Pellegrino M., Giraudo J., Raspani C., Nagel R., Odierno L., Primo V. & Bogni C. 2008. Experimental trial in heifers vaccinated with Staphylococcus aureus avirulent mutant against bovine mastitis. Vet Microbiol, 127 (1-2), 186-190.

Pellegrino M., Giraudoa J., Raspanti C., Odierno L. & Bogni C. 2010. Efficacy of immunization against bovine mastitis using a Staphylococcus aureus avirulent mutant vaccine. Vaccine, 28 (28), 4523–4528.

Piepers S., Prenafeta A., Verbeke J., de Visscher A., March R. & de Vliegher S. 2017. Immune response after an experimental intramammary challenge with killed Staphylococcus aureus in cows and heifers vaccinated and not vaccinated with Startvac, a polyvalent mastitis vaccine. J Dairy Sci, 100, 769-782.

Rainard P. & Poutrel B. 1991. Immunization against mastitis: a practical goal? Flem Vet J, 62, 141-149.

Rainard P., Gilbert F.B., Germon P. & Foucras G. 2021. Invited review: A critical appraisal of mastitis vaccines for dairy cows. J Dairy Sci, 104 (10), 10427-10448.

Rainard P., Gilbert F.B., Martins R.P., Germon P. & Foucras G. 2022. Progress towards the elusive mastitis vaccines. Vaccines, 15, 10 (2): 296.

Register K.B., Sacco R.E. & Olsen S.C. 2013. Evaluation of Enzyme-Linked Immunosorbent Assays for detection of Mycoplasma bovis-specific antibody in bison sera. Clin Vaccine Immunol, 20 (9), 1405-1409.

Sayed R.H., Salama S.S. & Soliman R.T. 2014. Bacteriological evaluation of present situation of mastitis in dairy cows. Global Veterinaria, 13 (5), 690-695.

Sayed M.L., Shell W.S., Ahmed H.A., Ibrahim H.M., Nasr E.A. & Ali A.M. 2016. Efficacy of a locally prepared bovine mastitis vaccine. Benha Vet Med J, 30 (1), 302‐311.

Thompson-Crispi K.A., Hine B., Quinton M., Miglior F.& Mallard B.A. 2012. Association of disease incidence and adaptative immune response in Holstein dairy cows. J Dairy Sci, 95 (7), 3888-3893.

Türkyılmaz S., Yıldız Ö., Oryaşın E., Kaynarca S., & Bozdoğan B. 2010. Molecular identification of bacteria isolated from dairy herds with mastitis. Kafkas Uni Vet Fak Derg, 16 (6), 1025-1032.

Yıldırım T., Sırıken B. &Yavuz C. 2016. Çiğ süt ve peynirlerde koagulaz pozitif stafilokoklar. Vet Hekim Der Derg, 87 (2), 3-12.

Zecconi A., Piccinini R., & Fox L.K. 2003. Epidemiologic study of intramammary infections with Staphylococcus aureus during a control program in nine commercial dairy herds. J Am Vet Med Assoc, 223 (5), 684-688.

Wagter L.C., Mallard B.A., Wilkie B.N., Leslie K.E., Boettcher P.J. & Dekkers J.C.M. 2000. A quantitative approach to classifying holstein cows based on antibody responsiveness and its relationship to peripartum mastitis occurrence. J Dairy Sci, 83, 488-498.

Watson D.L. 1992. Vaccination against experimental staphylococcal mastitis in heifers. Res Vet Sci, 53 (3), 346-353.

Watson D.L., McColl M.L. & Davies H.I. 1996. Field trial of a staphylococcal mastitis vaccine in dairy herds: clinical, subclinical and microbio-logical assessment. Aust Vet J, 74 (6), 447-450.

Wenz J.R., Garry F.B. & Barrington G.M. 2006. Comparison of disease severity scoring system for dairy cattle with acute coliform mastitis. J Am Vet Med Assoc, 229 (2), 259-262.

Downloads

Published

2024-03-31

How to Cite

Zengin, H. ., Keskin Alkaç, Z., Vezir, Y., Tanyıldızı, S., Korkak, F. A., Dağoğlu Hark, B., & Dagoglu, G. (2024). Evaluation of the efficacy of a new inactivated vaccine against Staphylococcus aureus, Echerchia coli and Mycoplasma bovis mastitis in cows: Mucche, vaccino inattivo, mastite. Veterinaria Italiana, 60(1). https://doi.org/10.12834/VetIt.3083.21855.3

Issue

Topics*

Paper