The importance of Papanicolaou staining in assessing cytological subtype classification in canine Transmissible Venereal Tumors

Authors

  • Fabián Danilo López-Valbuena Universidad Nacional de Colombia, School of Veterinary Medicine, Pathology Molecular Research Group.
  • Anderson do Prado Duzanski São Paulo State University (Unesp), School of Veterinary Medicine, Campus (Botucatu), Laboratory of Investigative and Comparative Pathology
  • William Frend Osorio-Zambrano Universidad Nacional de Colombia, School of Veterinary Medicine, Pathology Molecular Research Group.
  • Luis Mauricio Montoya-Florez Universidad Nacional de Colombia, School of Veterinary Medicine, Pathology Molecular Research Group.
  • Noeme Sousa Rocha São Paulo State University (Unesp), School of Veterinary Medicine, Campus (Botucatu), Laboratory of Investigative and Comparative Pathology

DOI:

https://doi.org/10.12834/VetIt.3375.22761.2

Keywords:

Plasmacytoid, Tumor, Romanowsky

Canine Transmissible Venereal Tumor (CTVT) is a clonal neoplasia that has been sexually transmitted for thousands of years in the canine population. Cytomorphologically, CTVT exhibits criteria of malignancy and can be classified as a round cell tumor with a lymphocytoid, plasmacytoid, or mixed appearance (Flórez et al., 2017; Strakova and Murchison, 2014).

Spontaneous regression of CTVT has been documented in experimental cases, a phenomenon that is rarely reported in clinical practice. In fact, the chronic presentation of these tumors for periods exceeding 4 years is more common (do Prado Duzanski et al., 2022; Flórez et al., 2017; Ganguly et al., 2016). For this reason, chemotherapy is commonly used to achieve tumor regression in CTVT, although in many cases, the presentation of adverse effects leads to treatment discontinuation (Braz and Marinho, 2021; Eze et al., 2014; SOUSA et al., 2000).

Different studies on CTVT carried out at the Veterinary Hospital of São Paulo State University, Brazil (UNESP-Botucatu/SP), provide evidence that some tumors with a plasmacytoid phenotype exhibit a higher degree of aggressiveness and resistance to vincristine chemotherapy, which often requires the administration of higher doses of Vincristine to achieve regression. For instance, in 2011, Amaral et al. found that CTVT with a plasmacytoid appearance has fewer DNA breaks, indicating possible evasion mechanisms for the elimination of tumor cells (Amaral et al., 2011). Similarly, Bassani-Silva et al. (2007) showed that the plasmacytoid subtype is less responsive to propolis treatment in vitro (Bassani-Silva et al., 2007). Furthermore, Gaspar et al. (2010) showed that the plasmacytoid tumors had higher P-glycoprotein levels and were less responsive to chemotherapy than lymphocytoid cases (Gaspar et al., 2010). Taking into account the aforementioned findings, it becomes evident that there is a pressing need to establish a more refined cytological classification system to identify morphological particularities that could be directly related to the biological behavior of the tumor, especially in tumors associated with increased aggressiveness and chemotherapy resistance (Duzanski et al., 2016).

Considering the aforementioned, we propose the association of Romanowsky and Papanicolaou staining techniques for the cytopathological diagnosis of CTVT. Romanowsky stains are excellent dyes used in veterinary cytology for the diagnosis of round-cell tumors. These stains include the Wright, Leishman, and Giemsa methods, which allow for the evaluation of cytoplasmic and nuclear features (Krafts and Pambuccian, 2011). Two years ago, we included the Papanicolaou stain in our diagnostic service to improve the identification of nuclear details related to the CTVT malignancy criteria, thereby optimizing the results of conventional Romanowsky stains that primarily emphasize cytoplasmic features. Within our laboratory, we collected aspiration cytology samples from 80 tumoral masses using a 24 3/4G caliber needle, regardless of tumor size. These samples were then turned into cytological preparations, stained with Giemsa and Papanicolaou after air-drying, and methanol fixation. Our meticulous examination involved checking cellularity, coloration patterns, and cell distribution at 10x magnification. We then increased the magnification from 250x to 400x for detailed cell analysis and counting. After an initial scan, we focused on well-distributed and well-colored areas at 400x magnification, counting a minimum of ten random, non-overlapping fields on each slide to assess a more accurately cytological and nuclear malignancy criteria.

In our research conducted at the Laboratory of Investigative and Comparative Pathology in Botucatu, located in Sao Paulo, Brazil, we have found that the incorporation of Papanicolaou staining into the cytological assessment of Canine Transmissible Venereal Tumor (CTVT) serves as a valuable complement to Giemsa staining. This approach enabled our laboratory practitioners to achieve a more detailed and comprehensive visualization of nuclear features. By combining these two cytological staining techniques, we improve our ability to evaluate various criteria associated with nuclear and nucleolar-origin cellular malignancies (Sujathan et al., 2000). These criteria encompass hyperchromasia, binucleation, anisokaryosis, multiple nucleoli, coarse chromatin, nuclear grooves, micronuclei, angular nucleoli, ghost cells, and bizarre mitoses (Santos Do Amaral et al., 2011) (as depicted in Fig. 1 and 2). It is crucial to note that nuclear and nucleolar abnormalities hold significant importance as markers of tumoral instability and malignancy (McGranahan et al., 2012). Therefore, our research underscores the significance of employing both Papanicolaou and Giemsa staining techniques to enhance the accuracy and comprehensiveness of cytological examinations in the context of CTVT.

Cytological examination is the technique of choice in the diagnosis of CTVT and allows for individualized cellular evaluation to detect cytoplasmic and nuclear morphological alterations (Santos Do Amaral et al., 2007). The staining techniques used in cytology must facilitate a reliable tumor classification system that allows the identification of different cytomorphological criteria related to tumor biology, effectively helping the veterinary pathologist define the degree of malignancy of the neoplasia with greater rigor and precision (Chantziantoniou et al., 2017).

We consider that the association between Romanowsky and Papanicolaou staining techniques in the cytodiagnosis of CTVT, in addition to facilitating the classification among lymphocytoid, plasmacytoid, or mixed cellular subtypes, constitutes an effective diagnostic tool for identifying malignancy criteria in the observed cells. This combination enables a more precise evaluation of cellular malignancy features observed in the nucleus and nucleolus. Additionally, simultaneous visualization of cytoplasmic and nuclear details allows a more comprehensive assessment of tumor grade and aggressiveness qualification, an advantage that may increase the accuracy of prognostic predictions before and during CTVT treatment in dogs. Furthermore, a more precise prognostic assessment of the disease malignancy may contribute to the reduction of the costs and adverse effects associated with excessive use of standard chemotherapy (Sinkar and Arakeri, 2017).

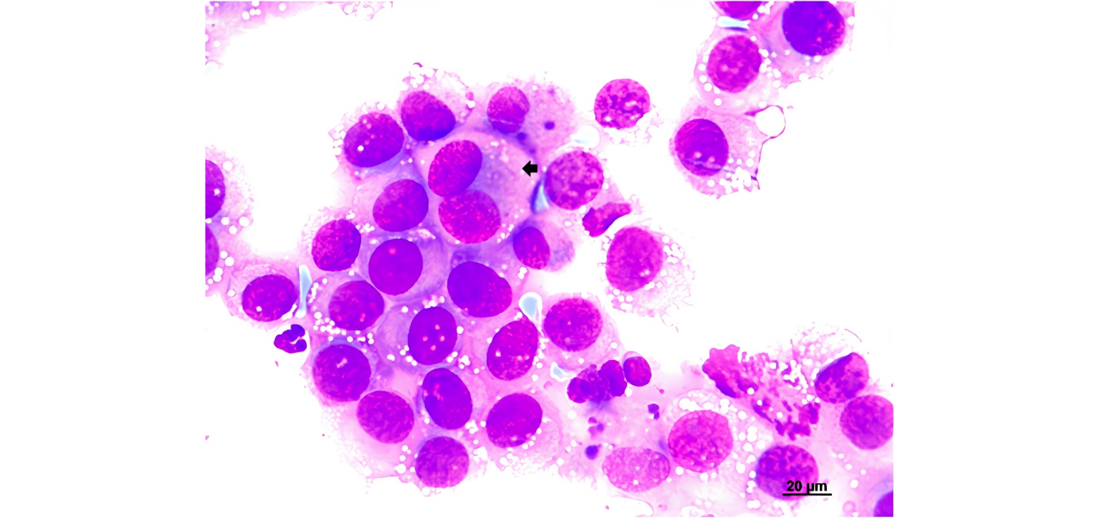
Figure. 1. Canine transmissible venereal tumor. Expression of the malignancy criteria. Note the binucleation (arrow); hyperchromasia; speckled chromatin. Staining by Giemsa, 630x.

Figure. 2. Canine transmissible venereal tumor. Expression of malignancy criteria. Note mature oncocytes (Long arrow) and immature ones (Short arrow); ghost cell; moderate degree of anisocytosis and anisokaryosis; coarse pattern of chromatin; nuclear groove and angular nucleolus. Staining by Papanicolau, 400x.

Declaration of Conflicting Interests

The Authors declared that they have no potential conflicts of interest with respect to the authorship and publication of this article.

References

Amaral AS, Ferreira I, Colodel MM, Salvadore DMF, Rocha NS. 2011. DNA damage in canine transmissible venereal tumour. Rev Lusófona Ciên Med Vet 4:1–5. https://core.ac.uk/download/pdf/233630477.pdf.

Bassani-Silva S, Sforcin JM, Amaral AS, Gaspar LFJ, Rocha NS. 2007. Propolis effect in vitro on canine transmissible venereal tumor cells. Rev Port Ciênc Vet 102:261–265. https://spcv.pt/wp-content/uploads/2023/06/Vol102-n563-564.pdf.

Braz P.H. & Marinho C.P. 2021. Comparison between hematological and biochemical changes caused by conventional and metronomic chemotherapies in the treatment of canine transmissible venereal tumor. Pesqui Vet Bras, 41. https://doi.org/10.1590/1678-5150-PVB-6575.

Chantziantoniou N., Donnelly A.D., Mukherjee M., Boon M.E. & Austin R.M. 2017. Inception and development of the papanicolaou stain method. Acta Cytol, 61, 266–280. https://doi.org/10.1159/000457827.

do Prado Duzanski A., Flórez L.M.M., Fêo H.B., Romagnoli G.G., Kaneno R. & Rocha N.S. 2022. Cell-mediated immunity and expression of MHC class I and class II molecules in dogs naturally infected by canine transmissible venereal tumor: Is there complete spontaneous regression outside the experimental CTVT? Res Vet Sci, 145, 193–204. https://doi.org/10.1016/j.rvsc.2022.02.020.

Duzanski A.P., Fêo H.B., Montoya L.M., Seullner C. V. & Rocha N.S. 2016. Canine Transmissible Venereal Tumor: Is Its Biological Behavior Changing? Anat Rec, 300, 1009–1010. https://doi.org/10.1002/ar.23527.

Eze C.A., Kene R.O.C. & Anyanwu H.C. 2014. Comparative efficacy of surgery, vincristine sulphate and combined therapy of levamisole and Bacille Calmette Guerin vaccine in the treatment of transmissible venereal tumour-infected dogs. Comp Clin Path, 23, 1263–1267. https://doi.org/10.1007/s00580-013-1773-x.

Flórez M.M., Fêo H.B., da Silva G.N., Yamatogi R.S., Aguiar A.J., Araújo J.P., et al. 2017. Cell cycle kinetics, apoptosis rates and gene expressions of MDR-1, TP53, BCL-2 and BAX in transmissible venereal tumour cells and their association with therapy response. Vet Comp Oncol, 15, 793–807. https://doi.org/10.1111/vco.12220.

Ganguly B., Das U. & Das A.K. 2016. Canine transmissible venereal tumour: a review. Vet Comp Oncol, 14, 1–12. https://doi.org/10.1111/vco.12060.

Gaspar LF, Ferreira I, Colodel MM, Brand~ao CVS, Rocha NS. 2010. Spontaneous canine transmissible venereal tumour: cell morphology and influence on p-glycoprotein expression. Turk J Vet Anim Sci 34:447–454. https://journals.tubitak.gov.tr/veterinary/vol34/iss5/5/.

Krafts K.P. & Pambuccian S.E. 2011. Romanowsky staining in cytopathology: History, advantages and limitations. Biotech Histochem, 86, 82–93. https://doi.org/10.3109/10520295.2010.515492.

McGranahan, N., Burrell, R. A., Endesfelder, D., Novelli, M. R., & Swanton, C. 2012. Cancer chromosomal instability: therapeutic and diagnostic challenges: ‘Exploring aneuploidy: the significance of chromosomal imbalance’review series. EMBO reports, 13(6), 528-538. https://doi.org/10.1038/embor.2012.61.

Santos Do Amaral A., Bassani-Silva S., Ferreira I., Santos Da Fonseca L., Evangelista De Andrade F.H., Gaspar Jantzen L.F., et al. 2007. Cytomorphological characterization of transmissible canine venereal tumor Caracterização citomorfológica do tumor venéreo transmissível canino. Rev Port ciências veterinárias, 103, 563–564. https://citeseerx.ist.psu.edu/document?repid=rep1&type=pdf&doi=c9e0ea8a87f5442de3715b6d905c98d7388f7f4f.

Santos Do Amaral A., Ferreira I., Marcia ;, Colodel M., Dayse ;, Salvadore M.F., et al. 2011. DNA damage in canine transmissible venereal tumor cells. Rev Lusófona Ciência e Med Veterinária, 4, 1–5. https://revistas.ulusofona.pt/index.php/rlcmv/article/view/2388

Sinkar P. & Arakeri S.U. 2017. Utility of modified ultrafast Papanicolaou stain in cytological diagnosis. J Clin Diagnostic Res, 11, EC28–EC31. https://doi.org/10.7860/JCDR/2017/20882.9532.

Sinkar P. & Arakeri S.U. 2017. Utility of modified ultrafast Papanicolaou stain in cytological diagnosis. J Clin Diagnostic Res, 11, EC28–EC31. https://doi.org/10.7860/JCDR/2017/20882.9532.

Sousa J., Saito V., Nardi A.B., Rodaski S., Guérios S.D. & Bacila M. 2000. Características E Incidência Do Tumor Venéreo Transmissível (Tvt) Em Cães E Eficiência Da Quimioterapia E Outros Tratamentos. Arch Vet Sci, 5. https://revistas.ufpr.br/veterinary/article/viewFile/3884/3124.

Strakova A. & Murchison E.P. 2014. The changing global distribution and prevalence of canine transmissible venereal tumour. BMC Vet Res, 10. https://doi.org/10.1186/s12917-014-0168-9.

Sujathan, K., Kannan, S., Mathew, A., Pillai, K. R., Chandralekha, B., & Nair, M. K. 2000. Cyto-diagnosis of serous effusions: A combined approach to morphological features in Papanicolaou and May-Grunwald Giemsa stained smears and a modified cell block technique. Journal of cytology, 17(2), 89-95. https://journals.lww.com/jocy/Abstract/2000/17020/Cyto_Diagnosis_of_Serous_Effusions___a_Combined.3.aspx.

Downloads

Published

2024-07-31

How to Cite

López-Valbuena, F. D. ., Duzanski, A. do P. ., Osorio-Zambrano, W. F. ., Montoya-Florez, L. M. ., & Sousa Rocha, N. (2024). The importance of Papanicolaou staining in assessing cytological subtype classification in canine Transmissible Venereal Tumors. Veterinaria Italiana, 60(2). https://doi.org/10.12834/VetIt.3375.22761.2

Issue

Topics*

Letter