Development of a recombinant Lactobacillus casei strain expressing Bovine rotavirus VP4 and VP7 proteins as an oral vaccine candidate against calf enteritis

Authors

  • Emine Atalay Erciyes University, Health Sciences Institute, Veterinary Microbiology
  • İbrahim Sözdutmaz Erciyes University, Faculty of Veterinary Medicine, Department of Virology
  • Serkan Kökkaya Yozgat Bozok University, Faculty of Veterinary Medicine, Department of Microbiology

DOI:

https://doi.org/10.12834/VetIt.3740.34491.2

Keywords:

Lactobacillus casei, Recombinant protein, Rotavirus, Oral recombinant vaccine

Abstract

Rotavirus infection is a leading cause of diarrhea in neonatal calves, resulting in significant economic losses in the livestock industry. Existing commercial vaccines exhibit limitations in inducing effective mucosal immunity and present challenges in field application. In this study, we aimed to develop a probiotic-based oral vaccine candidate by expressing the outer capsid proteins VP4 and VP7 of bovine rotavirus in Lactobacillus casei. Viral RNA was extracted from a previously characterized bovine rotavirus strain, and the VP4 (828 bp) and VP7 (1032 bp) gene segments were amplified by reverse transcription PCR (RT-PCR). The resulting amplicons were cloned into the pNZ2103 expression vector and introduced into L. casei via electroporation. Expression of the recombinant proteins was confirmed by SDS-PAGE and Western blot analyses using in-house polyclonal antibodies. Protein bands of the expected molecular weights (~27 kDa for VP4 and ~37 kDa for VP7) were successfully detected in the engineered L. casei strains. These findings demonstrate that L. casei is a viable host for the expression of rotavirus antigens and may serve as a promising live oral delivery system for mucosal immunization. This recombinant approach offers several advantages over traditional parenteral vaccines, including the potential for cold-chain independence, needle-free administration, and enhanced mucosal immune responses. Future research will focus on in vivo evaluation of immunogenicity and protective efficacy in relevant animal models.

Introduction

Rotavirus infections remain one of the leading causes of acute diarrhea in both humans and animals, particularly affecting young children and neonatal livestock. The genus Rotavirus, belonging to the family Sedoreviridae and the order Reovirales, was recently reclassified by the International Committee on Taxonomy of Viruses (ICTV) into nine distinct species. Among them, bovine rotavirus is now classified as Rotavirus aspergastroenteritidis (formerly Rotavirus A) (ICTV, 2023).

In cattle farming, neonatal calf diarrhea caused by rotavirus results in substantial economic losses due to treatment costs and high mortality associated with severe dehydration (Barua et al., 2019). Of the various etiological agents, Group A bovine rotavirus (BRoV-A) is the most prevalent and clinically significant strain associated with enteric disease in calves (Kostanić et al., 2024). BRoV-A targets the enterocytes of the small intestine, leading to villous atrophy, malabsorption, dehydration, and in severe cases, death.

Although commercial vaccines—including inactivated formulations—are available, their effectiveness is limited by suboptimal mucosal immune responses, the need for multiple dosing regimens, and cold-chain storage requirements, which complicate their use under field conditions (Saif and Fernandez, 1996). These limitations underscore the need for innovative, cost-effective vaccination strategies that elicit robust mucosal immunity.

Recombinant DNA technology has emerged as a promising alternative for vaccine development by enabling the targeted production of viral antigens (Nascimento et al., 2012). In this context, the outer capsid proteins VP4 and VP7 have been identified as ideal immunogens due to their essential roles in viral attachment, entry, and induction of neutralizing antibodies (Estes and Greenberg, 2013). These proteins contain serotype-specific epitopes critical for protective immunity (Li et al., 2018). Genotypic surveillance studies conducted in Türkiye between 1997 and 2008 further support their relevance, having reported the circulation of diverse G (VP7) and P (VP4) genotypes among BRoV-A strains isolated from diarrheic calves (Alkan et al., 2010).

To improve mucosal delivery of such antigens, live bacterial vectors—particularly lactic acid bacteria (LAB)—have been investigated for oral vaccine applications. LAB, including Lactobacillus species, are classified as Generally Recognized As Safe (GRAS), possess inherent probiotic properties, and exhibit robust capacity for heterologous protein expression (Hammes and Vogel, 1995). Among these, Lactobacillus casei has shown particular promise as an oral vaccine platform due to its ability to survive gastrointestinal transit, adhere to intestinal epithelial cells, and induce both mucosal (IgA-mediated) and systemic (IgG-mediated) immune responses (Shida and Nomoto, 2013; Reveneau et al., 2002).

Previous studies have demonstrated that recombinant L. casei strains expressing viral or bacterial antigens can effectively trigger protective immunity following oral administration (Wells and Mercenier, 2008; del Rio et al., 2008). In the present study, we explored the use of L. casei as a live bacterial vector for the expression of VP4 and VP7 proteins from bovine rotavirus. We hypothesized that successful expression of these antigens in L. casei could form the basis for a next-generation oral mucosal vaccine—offering a needle-free, cold chain–independent, and immunologically robust alternative to current commercial vaccines.

Materials and Methods

Viral RNA purification and RT-PCR

For viral RNA extraction, a bovine rotavirus isolate previously confirmed by RT-PCR and ELISA—originally obtained from a diarrheic calf in earlier studies conducted by the Department of Virology—was used (Berber et al., 2021). Viral RNA was extracted using TransZol Up (Transgen Biotech, Beijing, China) following the manufacturer’s instructions. Due to the double-stranded RNA (dsRNA) nature of viruses in the Sedoviridae family, dimethyl sulfoxide (DMSO) was employed during reverse transcription to denature the RNA strands. Specifically, 2 µL of RNA and 1.4 µL of DMSO were added to PCR tubes and gently mixed by pipetting. The mixture was then incubated at 95 °C for 5 minutes in a thermal cycler to facilitate strand separation. Complementary DNA (cDNA) synthesis was performed using the M-MuLV Reverse Transcriptase kit (Invitrogen, Carlsbad, CA, USA), according to the manufacturer’s protocol. Following cDNA synthesis, gene-specific amplification of the VP4 and VP7 segments was carried out using EasyTaq PCR SuperMix (Transgen Biotech, Beijing, China). Primers were designed based on the reference sequences for bovine rotavirus VP4 (GenBank accession: M92986.1) and VP7 (GenBank accession: M63266.1). The resulting amplicons were 828 bp (VP4) and 1032 bp (VP7), respectively, and were generated using the primer pairs listed in Table 1. Following PCR amplification, the products were purified using an Axygen PCR purification kit (Axygen Scientific, Union City, CA, USA) and subsequently used for downstream cloning and transformation procedures.

Table. I. Primer sequences and restriction enzymes used for VP4 and VP7 gene amplification.

Preparation of pNZ2103-VP4 and pNZ2103-VP7

The purified PCR amplicons were cloned into the pNZ2103 plasmid vector. For this purpose, double digestion of the plasmid was performed using HindIII and SnaBI restriction enzymes (Thermo Fisher Scientific, Waltham, MA, USA). The digestion reaction included: 25 µL of pNZ2103 plasmid (250 ng), 0.5 µL of HindIII, 0.5 µL of SnaBI, 5 µL of 10× NEB Buffer, and 19 µL of nuclease-free water to a final volume of 50 µL. The mixture was incubated at 37 °C for 1 hour, followed by enzyme inactivation at 80 °C for 20 minutes.

The VP4 and VP7 gene fragments were ligated into the digested plasmid using T4 DNA ligase. For the ligation reaction, 5 µL of linearized pNZ2103 plasmid (50 ng) was mixed with the VP4 and VP7 inserts at molar ratios of 3:1 and 7:1, respectively. The reaction mixture also contained 1 µL of T4 DNA ligase, 10 µL of T4 ligase buffer, and 2 µL of nuclease-free water, bringing the final volume to 20 µL. The ligation was carried out at 25 °C for 2 hours.

Following ligation, the constructs were transformed into Escherichia coli DH5α competent cells for plasmid propagation.

Figure. 1. Recombinant PNZ2103 VP4 and VP7 schematic illustration (via BioRender.com, Toronto, Canada).

Transformation of PNZ2103-VP4 and PNZ2103-VP7 Plasmids to DH5α Competent Cells

The recombinant plasmids pNZ2103-VP4 and pNZ2103-VP7 were transformed into Escherichia coli DH5α competent cells using the heat-shock transformation method, as described by Chang et al. (2017). Briefly, DH5α competent cells stored at –80 °C were thawed on ice. Plasmid DNA and competent cells were gently mixed in pre-chilled microcentrifuge tubes by tapping, avoiding pipetting to preserve cell integrity.

Following 30 minutes of incubation on ice, the tubes were heat-shocked at 42 °C for 45 seconds and immediately returned to ice for 2 minutes. Subsequently, 950 µL of recovery medium was added to each tube, and the mixtures were incubated at 37 °C with shaking at 210 rpm for 1 hour.

After recovery, transformed cells were plated onto LB agar plates containing 10 µg/mL chloramphenicol and incubated overnight at 37 °C. Colony formation was monitored, and positive colonies were screened by colony PCR to confirm successful plasmid insertion.

Figure. 2. Transformation of PNZ2103-VP4 and PNZ2103-VP7 Plasmids to DH5α Competent Cells. (via Biorender).

Following incubation at 37 °C, approximately 58 colonies were screened by colony PCR to evaluate transformation efficiency. For colony PCR, a simplified cell lysis method was used as described by Looke et al. (2011): each colony was suspended in 20 µL of TE buffer (Tris/EDTA) containing 0.1% Triton X-100 and heated at 97 °C for 10 minutes to lyse the cells and release DNA. Primers were specifically designed within the VP4 and VP7 coding regions rather than using vector-flanking primers. The presence of full-length inserts was confirmed by amplification of products of the expected sizes—828 bp for VP4 and 1032 bp for VP7—as visualized by agarose gel electrophoresis. After the heat lysis step, lysates were centrifuged at 13,000 × g for 5 minutes. A 3 µL aliquot of the supernatant was used as a DNA template in a 50 µL PCR reaction containing 0.5 µL of each primer, 25 µL of EasyTaq PCR SuperMix (Transgen Biotech, Beijing, China), and 21 µL of nuclease-free water. The PCR cycling conditions were as follows: initial denaturation at 95 °C for 5 minutes; 35 cycles of 94 °C for 1 minute, 58 °C for 1 minute, and 72 °C for 1 minute; followed by a final extension at 72 °C for 10 minutes. Colonies confirmed to contain the correct insert size were selected for propagation in liquid culture, and plasmid DNA was purified using the Mini-Prep kit (Transgen Biotech, Beijing, China) according to the manufacturer’s instructions.

Transformation of electrocompetent L. casei by electroporation of PNZ2103-VP4 and PNZ2103-VP7 plasmids

Lactobacillus casei electrocompetent cells were prepared following the protocol described by Chassy et al. (1987). A total of 50 µL of electrocompetent L. casei cells (approximately 3 × 10⁸ CFU) was aliquoted into two separate microcentrifuge tubes. To each tube, 100 ng of either pNZ2103-VP4 or pNZ2103-VP7 plasmid DNA was added, respectively. The mixtures were gently mixed and transferred into pre-chilled electroporation cuvettes, then incubated on ice for 5 minutes. Electroporation was performed using an electroporator set to 1300 V for 5 milliseconds in a single pulse. Immediately after the pulse, 200 µL of MRS broth was added to each cuvette, and the entire volume was transferred to microcentrifuge tubes. The cells were allowed to recover by incubation at 30 °C for 3 hours without shaking. Following recovery, the cultures were plated on MRS agar supplemented with chloramphenicol (10 µg/mL) and incubated anaerobically at 30 °C for up to 72 hours. Colonies that emerged were screened by repeat colony PCR to confirm the presence of the respective recombinant plasmids. Confirmed positive clones were propagated in MRS broth containing chloramphenicol under anaerobic conditions. Expression of the VP4 and VP7 recombinant proteins was then assessed by SDS-PAGE and Western blot analysis.

Figure. 3. Transformation of electrocompetent <em>L. casei</em> by electroporation of PNZ2103-VP4 and PNZ2103-VP7 plasmids (via BioRender.com, Toronto, Canada).

Expression of VP4 and VP7 Proteins in Lactobacillus casei Confirmed by SDS-PAGE and Western Blot Analysis

Recombinant protein isolation was carried out following bacterial cultivation in MRS broth. After incubation, cultures were centrifuged at 4000 × g for 20 minutes. The supernatant was discarded, and the resulting pellet was washed twice by resuspension in 1 mL of ice-cold distilled water (dH₂O), followed by centrifugation under the same conditions. After the final wash, the pellet was resuspended in boiling buffer composed of 0.5 M Tris-HCl (pH 6.8), 0.08% (w/v) SDS, 20% (v/v) glycerol, and 1 mM β-mercaptoethanol. The suspension was incubated at 95 °C for 5 minutes and centrifuged at 10,000 × g for 10 minutes. The supernatant was transferred to sterile tubes, mixed with 3 mL of ice-cold 95% ethanol, and incubated at +4 °C overnight. The following day, samples were centrifuged at 4000 × g for 15 minutes to pellet the proteins, after which the ethanol was discarded and the pellet was resuspended in dH₂O (Yu et al., 2020).

Protein separation by SDS-PAGE and Western blotting was performed according to standard protocols (Harlow and Lane, 1989). Protein samples were prepared by mixing with 4× Laemmli sample buffer (Bio-Rad Laboratories, Hercules, CA, USA) and heating at 97 °C for 10 minutes. Electrophoresis was performed using a 10% resolving gel and a 5% stacking gel at 100 V for 120 minutes. Duplicate gels were prepared: one was stained with Coomassie Brilliant Blue for visualization of total protein (Brunelli and Green, 2014), while the other was used for Western blot analysis.

For Western blotting, proteins were transferred from the SDS-PAGE gel to a polyvinylidene difluoride (PVDF) membrane using a conventional wet transfer method. The membrane was blocked with PBST-20 containing 5% bovine serum albumin (BSA) and subsequently washed. Primary antibody incubation was performed using rabbit anti-rotavirus polyclonal antibodies previously developed in our laboratory at a 1:2000 dilution. Following additional washes, a goat anti-rabbit HRP-conjugated secondary antibody (Southern Biotech) was applied at a 1:3000 dilution. Detection was performed using the Pierce™ ECL Western Blotting Substrate (Transgen Biotech, Beijing, China), and chemiluminescent signals were visualized accordingly.

Results

RT-PCR Analysis of VP4 and VP7 Genes

Using primers designed based on reference sequences from GenBank, the VP4 and VP7 gene segments were successfully amplified by RT-PCR. Agarose gel electrophoresis revealed bands of the expected sizes—828 bp for VP4 and 1032 bp for VP7—confirming successful amplification of the target gene fragments (Fig. 4a–b).

Figure. 4. Visualization on agarose gel after RT-PCR results. a) VP4 gene 828bp, b) VP7 gene 1032 bp.

Transformation of PNZ2103-VP4 and PNZ2103-VP7 into L. casei bacteria by Electroporation

Plasmids carrying the VP4 and VP7 genes were successfully introduced into electrocompetent Lactobacillus casei via electroporation. Transformed colonies were selected on MRS agar plates containing chloramphenicol and subsequently verified by colony PCR. Confirmed positive clones were cultured in MRS broth for further analysis of protein expression (Fig. 5a–b).

Figure. 5. Gene inserted plasmid replicated in <em>L. </em><em>casei</em>. a) PNZ2103-VP4 b) PNZ2103-VP7

SDS-PAGE Visualization of Expression of VP4 and VP7 Proteins inL. casei

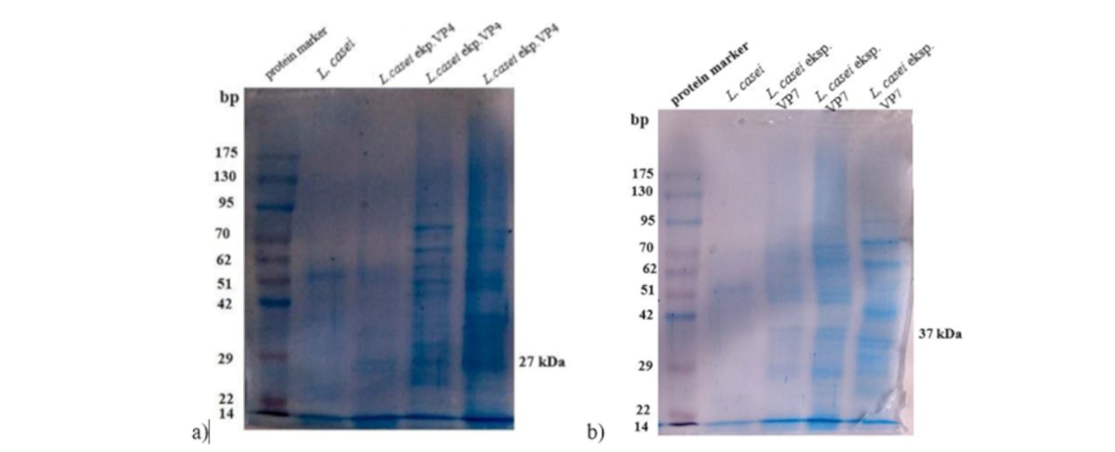
Colonies grown on LB agar were individually cultured in LB broth and subjected to plasmid purification. Protein samples were prepared using 4× Laemmli buffer and loaded onto SDS-PAGE gels composed of stacking and resolving layers. Following electrophoresis, the gels were stained with Coomassie Brilliant Blue and visualized to assess protein expression. Western blot analysis confirmed the expression of VP4 and VP7 proteins in the recombinant L. casei strains. Specific immunoreactive bands were detected at approximately 27 kDa (VP4) and 37 kDa (VP7) using in-house polyclonal anti-rotavirus antibodies, clearly demonstrating the successful expression of both target proteins (Fig. 7a–b).

Figure. 6. Proteins of L. casei and proteins added at different ratios. a) VP4 gene inserted gene regions. b) VP7 inserted gene regions.

Demonstration of VP4 and VP7 Proteins in L. casei by Western Blot

Western blot analysis was conducted using rabbit polyclonal anti-rotavirus antibodies to confirm both the identity and antigenicity of the recombinant VP4 and VP7 proteins expressed in Lactobacillus casei.

Figure. 7. Western blot imaging. a) Visualization of VP4 protein at approximately 27 kDA molecular weight. b) Visualization of VP7 protein at approximately 37 kDA molecular weight.

Discussion

The development of effective vaccines against bovine rotavirus (BRoV) remains a critical priority in veterinary medicine, as neonatal calf enteritis continues to cause substantial economic losses due to treatment costs and mortality. In humans, rotavirus is also a major etiological agent of severe diarrhea in children under five years of age, resulting annually in approximately 111 million cases of home-treated gastroenteritis, 25 million outpatient visits, 2 million hospitalizations, and between 352,000 and 592,000 deaths globally—averaging around 440,000 fatalities (Parashar et al., 2003). In response to this global burden, the World Health Organization (WHO) recommends the inclusion of rotavirus vaccines in national immunization programs (Kanai et al., 2020).

In this context, we developed a recombinant vaccine candidate targeting the two immunodominant outer capsid proteins of BRoV—VP4 and VP7—delivered via Lactobacillus casei, a probiotic vector capable of stimulating mucosal immunity, the primary defense mechanism against enteric infections.

The successful expression of rotavirus VP4 and VP7 proteins in L. casei represents a key milestone. Western blot analysis confirmed the presence of immunoreactive bands at ~27 kDa (VP4) and ~37 kDa (VP7), validating correct expression and antigenicity. This outcome aligns with findings from Marelli et al. (2018), who reported the successful expression of rotavirus antigens in lactic acid bacteria with preserved immunogenic properties. The detection of specific bands using in-house polyclonal antibodies indicates that critical conformational epitopes were preserved—essential for immune recognition and neutralizing antibody induction (Schwartz-Cornil et al., 2022).

L. casei was selected as the expression host based on its demonstrated ability to survive gastrointestinal transit, adhere to intestinal mucosa, and stimulate both mucosal (IgA-mediated) and systemic (IgG-mediated) immune responses (Shida & Nomoto, 2013; Reveneau et al., 2002). Prior studies confirm the utility of recombinant Lactobacillus strains in inducing protective immunity upon oral administration (Wells & Mercenier, 2008; del Rio et al., 2008).

Rotavirus infection primarily targets mature enterocytes in the small intestine, leading to malabsorptive diarrhea (Crawford et al., 2017). By delivering VP4 and VP7 antigens directly to the mucosal surface, recombinant L. casei may stimulate local secretory IgA production, preventing viral attachment and invasion. Oral vaccination has been shown to induce superior mucosal immune responses compared to parenteral routes (Lee et al., 2021; Qiao et al., 2009). These findings support the feasibility of L. casei-based vaccines for targeting enteric pathogens like rotavirus at their primary site of infection.

The cloning strategy employed in this study, which utilized the pNZ2103 vector and electroporation into L. casei, yielded stable recombinant strains expressing the full-length VP4 and VP7 proteins. This bacterial platform offers several logistical and economic advantages over traditional vaccine production systems. Unlike cell culture or egg-based production, bacterial fermentation is simpler, more scalable, and cost-effective (Deshpande et al., 2019). Moreover, lyophilized Lactobacillus strains have shown long-term stability at ambient temperatures, addressing the cold chain dependency of conventional vaccines (Wyszyńska et al., 2019).

An additional advantage is the inherent immunomodulatory potential of Lactobacillus species, which may function as self-adjuvants, further enhancing antigen-specific immune responses (Azegami et al., 2022). The ability to co-express multiple antigens within a single Lactobacillus strain also raises the prospect of developing multivalent vaccines against multiple rotavirus genotypes or even other pathogens (Singh et al., 2018).

Current commercial vaccines against BRoV typically consist of inactivated or modified-live virus preparations, administered to pregnant cows to confer passive immunity to calves via colostrum (Martella et al., 2020). These vaccines, while partially effective, are limited by insufficient mucosal immunity, cold-chain requirements, and the need for repeated dosing. In contrast, recombinant probiotic vaccines like the one presented here can directly target mucosal immunity. Studies by Kaushik et al. (2021) and Chen et al. (2019) demonstrated that oral delivery of rotavirus antigens through recombinant probiotics led to enhanced mucosal IgA responses and improved protection compared to traditional immunization strategies.

Lyophilized probiotic formulations also exhibit exceptional thermal stability, maintaining viability and antigen expression for extended periods without refrigeration (Zhang et al., 2022). This feature is especially beneficial in low-resource or field settings.

VP4 and VP7 are well-established targets for neutralizing antibody responses due to their surface exposure and role in viral entry (Kirkwood et al., 2018). Thus, a mucosal vaccine delivering these proteins directly to the intestinal tract may offer effective frontline protection by blocking early stages of infection.

While the present study confirms the successful expression of VP4 and VP7 in L. casei, several critical steps remain before clinical application. Further in vivo studies are required to evaluate the immunogenicity and protective efficacy of these recombinant strains. Prior work by Ramya et al. (2019) with similar constructs in murine models yielded promising immunological responses, suggesting that this approach is translatable to practical use. Challenge studies will be essential to assess real-world protection and to compare outcomes with established immune correlates of protection (Gonzalez et al., 2018).

Determining the optimal dosage, administration regimen, and formulation will also be crucial. Recent findings by Yeh et al. (2020) emphasize that multiple oral doses may be necessary to achieve protective immunity. Additionally, regulatory considerations surrounding the use of genetically modified organisms (GMOs), particularly in livestock and environmental settings, must be carefully addressed (Nøhr-Meldgaard et al., 2020).

Given the known diversity of BRoV strains circulating in field conditions (Ghosh et al., 2022), broad-spectrum efficacy must be demonstrated. Sequence validation and stability analysis of the expressed constructs in L. casei will also be necessary in future studies to ensure genetic integrity and consistent antigen expression over time.

Conclusions

Our study demonstrates the successful development of recombinant Lactobacillus casei strains expressing the VP4 and VP7 proteins of bovine rotavirus. This platform presents a promising oral vaccination strategy against rotavirus-induced calf enteritis, offering key advantages such as enhanced mucosal immunity, ease of administration, and reduced reliance on cold-chain logistics. The stable expression of antigenic viral proteins within a probiotic carrier represents an innovative approach that combines the immunological benefits of vaccination with the functional properties of probiotic supplementation.

Future research should focus on evaluating in vivo immunogenicity, protective efficacy, and the optimization of dosing regimens to facilitate field application. This recombinant probiotic-based vaccine strategy has the potential to significantly reduce the economic impact of rotavirus infections in the livestock industry while contributing to improved animal health and welfare.

Acknowledgments

This study was derived from Emine Atalay's master's thesis (Thesis No: 685368).

Author Contributions

E.A. (Emine Atalay) conducted all laboratory experiments, data analysis, and manuscript drafting. S.K. (Serkan Kökkaya) supervised the experimental design, interpreted the results, and contributed to manuscript editing. İ.S. (İbrahim Sözdutmaz) contributed to the scientific design of the study, data interpretation, and critical revision of the manuscript.

All authors reviewed and approved the final version of the manuscript and agree to be accountable for its contents.

Funding Statement

The authors received no financial support for the research, authorship, or publication of this article.

Data Availability Statement

The datasets generated and analyzed during this study are available from the corresponding author upon reasonable request.

References

Alkan, F., Özkul, A., Oğuzoğlu, T. C., Timurkan, M. O., Çalışkan, E., Martella, V., & Burgu, İ. (2010). Distribution of G (VP7) and P (VP4) genotypes of group A bovine rotaviruses from Turkish calves with diarrhea, 1997–2008. Veterinary Microbiology, 141(3–4), 231–237.

Azegami, T., Yuki, Y., & Kiyono, H. (2022). Challenges in mucosal vaccines for the control of infectious diseases. International Immunology, 34(5), 257–269.

Barua, S., Rakib, M. T., Rahman, M. M., Selleck, S., Masuduzzaman, M., Siddiki, A., Hossain, M., & Chowdhury, S. (2019). Disease burden and associated factors of rotavirus infection in calves in south-eastern part of Bangladesh. Asian Journal of Medical and Biological Research, 5(1), 107–116.

Berber, E., Çanakoğlu, N., Sözdutmaz, İ., Şimşek, E., Sursal, N., Ekinci, G., Kökkaya, S., Arıkan, E., Ambarcıoğlu, P., Göksu, A. G., & Keleş, İ. (2021). Seasonal and age-associated pathogen distribution in newborn calves with diarrhea admitted to ICU. Veterinary Sciences, 8(6), 128.

Brunelle, J. L., & Green, R. (2014). Coomassie Blue staining. In Methods in Enzymology (Vol. 541, pp. 161–177). Academic Press.

Chang, A. Y., Chau, V. W., Landas, J. A., & Pang, Y. (2017). Preparation of calcium competent Escherichia coli and heat-shock transformation. Journal of Microbiological Methods, 132, 41–43.

Chassy, B. M., & Flickinger, J. L. (1987). Transformation of Lactobacillus casei by electroporation. FEMS Microbiology Letters, 44(2), 173–177.

Chen, L., Zhao, H., Zhang, C., Lu, Y., Zhu, X., & Lu, Z. (2019). Oral delivery of Lactobacillus plantarum N4 expressing immunogenic protein induces specific immune responses. Microbiological Research, 227, 126307.

Crawford, S. E., Ramani, S., Tate, J. E., Parashar, U. D., Svensson, L., Hagbom, M., Franco, M. A., Greenberg, H. B., O’Ryan, M., Kang, G., Desselberger, U., & Estes, M. K. (2017). Rotavirus infection. Nature Reviews Disease Primers, 3, 17083.

del Rio, B., Dattwyler, R. J., Aroso, M., Neves, V., Meirelles, L., Seegers, J. F., & Gomes-Solecki, M. (2008). Oral immunization with recombinant Lactobacillus plantarum induces a protective immune response in mice with Lyme disease. Clinical and Vaccine Immunology, 15(9), 1429–1435.

Deshpande, G., Athalye-Jape, G., & Patole, S. (2019). Para probiotics for preterm neonates—the next frontier. Nutrients, 11(7), 1715.

Estes, M. K., & Greenberg, H. B. (2013). Rotaviruses. In D. M. Knipe & P. M. Howley (Eds.), Fields Virology (6th ed., pp. 1347–1401). Lippincott Williams & Wilkins.

Ghosh, S., Malik, Y. S., Kobayashi, N., & Ghosh, S. (2022). Rotavirus genotype distribution in cattle: A comprehensive global overview. Veterinary Quarterly, 42(1), 80–96.

Gonzalez, A. M., Azevedo, M. S., Jung, K., Vlasova, A., Zhang, W., & Saif, L. J. (2018). Innate immune responses to human rotavirus in the neonatal gnotobiotic piglet disease model. Immunology, 154(3), 563–576.

Hammes, W. P., & Vogel, R. F. (1995). The genus Lactobacillus. In B. J. B. Wood (Ed.), The genera of lactic acid bacteria (Vol. 2, pp. 19–54). Springer.

Harlow, E., & Lane, D. (1989). Antibodies: A Laboratory Manual. Cold Spring Harbor Laboratory Press.

International Committee on Taxonomy of Viruses (ICTV). (2023). Rotavirus taxonomy. Retrieved from https://ictv.global/taxonomy/taxondetails?taxnode_id=202404904&taxon_name=Rotavirus.

Kanai, Y., Onishi, M., Kawagishi, T., Pannacha, P., Nurdin, J. A., Nouda, R., & Kobayashi, T. (2020). Reverse genetics approach for developing rotavirus vaccine candidates carrying VP4 and VP7 genes cloned from clinical isolates of human rotavirus. Journal of Virology, 95(3), e01128 20.

Kaushik, R. S., Begg, A. A., Wilson, H. L., Aich, P., Abrahamsen, M. S., Potter, A., Babiuk, L. A., & Griebel, P. (2021). Mucosal delivery of a veterinary vaccine against enterotoxigenic Escherichia coli, transmissible gastroenteritis virus, and rotavirus. Frontiers in Immunology, 12, 672393.

Kirkwood, C. D., Streitberg, R., & Fleiszig, H. (2018). Rotavirus: Clinical and virological features, pathophysiology, treatment, and prevention. Nature Reviews Gastroenterology & Hepatology, 15(12), 711–721.

Kostanić, V., Kunić, V., Prišlin Šimac, M., Lolić, M., Sukalić, T., & Brnić, D. (2024). Comparative insights into acute gastroenteritis in cattle caused by bovine rotavirus A and bovine coronavirus. Veterinary Sciences, 11(12), 671.

Lee, Y. N., Lee, D. Y., Kim, C. H., & Chang, S. Y. (2021). Recent advances in mucosal vaccines: Lessons from gut microbiome. Vaccines, 9(9), 1018.

Li, Y., Xue, M., Yu, L., Luo, G., Yang, H., Jia, L., Zeng, Y., Li, T., Ge, S., & Xia, N. (2018). Expression and characterization of a novel truncated rotavirus VP4 for the development of a recombinant rotavirus vaccine. Vaccine, 36(15), 2086–2092.

Lõoke, M., Kristjuhan, K., & Kristjuhan, A. (2011). Extraction of genomic DNA from yeasts for PCR-based applications. BioTechniques, 50(5), 325–328.

Marelli, B., Perez, A. R., Banchio, C., de Mendoza, D., & Magni, C. (2018). Oral immunization with live Lactococcus lactis expressing rotavirus VP8* subunit induces specific immune response in mice. Journal of Virological Methods, 237, 202–208.

Martella, V., Decaro, N., & Buonavoglia, C. (2020). Enteric viral infections in calves. Veterinary Clinics of North America: Food Animal Practice, 36(1), 169–194.

Nascimento, I. P., & Leite, L. C. C. (2012). Recombinant vaccines and the development of new vaccine strategies. Brazilian Journal of Medical and Biological Research, 45(12), 1102–1111.

Nøhr Meldgaard, K., Mølgaard, C., Grispoldi, L., & Olsen, J. E. (2020). Regulatory approval of genetically modified organisms: Challenges and opportunities for academia. Trends in Biotechnology, 38(3), 246–250.

Parashar, U. D., Hummelman, E. G., Bresee, J. S., Miller, M. A., & Glass, R. I. (2003). Global illness and deaths caused by rotavirus disease in children. Emerging Infectious Diseases, 9(5), 565–572.

Qiao, X., Li, G., Wang, X., Li, X., Liu, M., & Li, Y. (2009). Recombinant porcine rotavirus VP4 and VP4 LTB expressed in Lactobacillus casei induced mucosal and systemic antibody responses in mice. BMC Microbiology, 9, 1–11.

Ramya, K., Sunitha, K., Sivakumar, N., & Vijaya, B. (2019). Lactobacillus acidophilus expressing recombinant K99 and K88 antigens as an effective oral vaccine against bovine enterotoxigenic Escherichia coli-induced diarrhea. Veterinary Research Communications, 43(2), 77–89.

Reveneau, N., Geoffroy, M. C., Locht, C., Chagnaud, P., & Mercenier, A. (2002). Comparison of the immune responses induced by local immunizations with recombinant Lactobacillus plantarum producing tetanus toxin fragment C in different cellular locations. Vaccine, 20(13–14), 1769–1777.

Saif, L. J., & Fernández, F. M. (1996). Group A rotavirus veterinary vaccines. The Journal of Infectious Diseases, 174(Suppl 1), S98–S106.

Schwartz Cornil, I., Banik, S., Renson, P., & Zientara, S. (2022). Rotavirus vaccines: Successes and challenges in veterinary medicine. Viruses, 14(5), 933.

Shida, K., & Nomoto, K. (2013). Probiotics as efficient immunopotentiators: Translational role in cancer prevention. Indian Journal of Medical Research, 138(6), 808–814.

Singh, B., Maharjan, S., Jiang, T., Kang, S. K., Choi, Y. J., & Cho, C. S. (2018). Lactic acid bacteria-based protein expression systems for vaccine development against infectious diseases. Microbial Cell Factories, 17, 147.

Wang, M., Gao, Z., Zhang, Y., & Pan, L. (2020). Lactic acid bacteria as mucosal delivery vehicles: A realistic therapeutic option. Applied Microbiology and Biotechnology, 104(23), 10079–10095.

Wells, J. M., & Mercenier, A. (2008). Mucosal delivery of therapeutic and prophylactic molecules using lactic acid bacteria. Nature Reviews Microbiology, 6(5), 349–362.

Wyszyńska, A., Kobierecka, P., & Jagusztyn Krynicka, E. K. (2019). Recombinant Lactobacillus spp. as live vaccine delivery vectors. Applied Microbiology and Biotechnology, 103(21–22), 8721–8734.

Yeh, C. Y., Lin, C. N., Chang, C. F., Lin, C. H., Lien, T. F., Chen, J. C., & Hsieh, M. F. (2020). Oral administration of recombinant Lactobacillus casei expressing interleukin 12 enhances antigen specific cellular immune responses. Scientific Reports, 10(1), 5612.

Yu, W., Ma, J., Chen, X., Tan, Y., Chen, P., Zhu, X., & Liu, L. (2020). Expression and purification of recombinant Lactobacillus casei bacteriocin and analysis of its antibacterial activity. CYTA – Journal of Food, 18(1), 301–310.

Zhang, L., Sun, Z., Miao, L., Liu, S., Guo, B., Xu, G., & Wang, C. (2022). Development of a stable Lactobacillus expression system for rotavirus VP6 protein and its immunogenicity evaluation. Microbial Cell Factories, 21(1), 1–14.

Downloads

Published

2025-05-26

How to Cite

Atalay, E., Sözdutmaz, İbrahim, & Kökkaya, S. (2025). Development of a recombinant Lactobacillus casei strain expressing Bovine rotavirus VP4 and VP7 proteins as an oral vaccine candidate against calf enteritis. Veterinaria Italiana, 61(3). https://doi.org/10.12834/VetIt.3740.34491.2

Issue

Topics*

Paper